CADPS2 Antibody - BSA Free
Novus Biologicals, part of Bio-Techne | Catalog # NBP3-21500
Conjugate
Catalog #
Key Product Details
Species Reactivity
Human, Mouse, Rat
Applications
Immunohistochemistry, Immunohistochemistry-Paraffin, Western Blot, ELISA, Immunocytochemistry/ Immunofluorescence
Label
Unconjugated
Antibody Source
Polyclonal Rabbit IgG
Format
BSA Free
Concentration
1 mg/ml
Product Specifications
Immunogen
Antibody was raised against a 19 amino acid synthetic peptide near the center of the human CADPS2. The immunogen is located within amino acids 510 - 560 of CADPS2. Amino Acid Squence: CSYREKKSEPQELMQLEGY
Specificity
Multiple isoforms of CADPS2 are known to exist. This CADPS2 antibody is predicted to be specific to CADPS2 and not recognize CAPS1.
Clonality
Polyclonal
Host
Rabbit
Isotype
IgG
Theoretical MW
150 kDa.
Disclaimer note: The observed molecular weight of the protein may vary from the listed predicted molecular weight due to post translational modifications, post translation cleavages, relative charges, and other experimental factors.
Disclaimer note: The observed molecular weight of the protein may vary from the listed predicted molecular weight due to post translational modifications, post translation cleavages, relative charges, and other experimental factors.
Description
Novus Biologicals Rabbit CADPS2 Antibody - BSA Free (NBP3-21500) is a polyclonal antibody validated for use in IHC, WB, ELISA and ICC/IF. All Novus Biologicals antibodies are covered by our 100% guarantee.
Scientific Data Images for CADPS2 Antibody - BSA Free
Western Blot: CADPS2 Antibody - BSA Free [NBP3-21500] -
Western Blot: CADPS2 Antibody - BSA Free [NBP3-21500] - Western blot analysis of CADPS2 in human brain tissue lysate with CADPS2 antibody at (A) 0.5 and (B) 1 ug/mL.Immunohistochemistry: CADPS2 Antibody - BSA Free [NBP3-21500] -
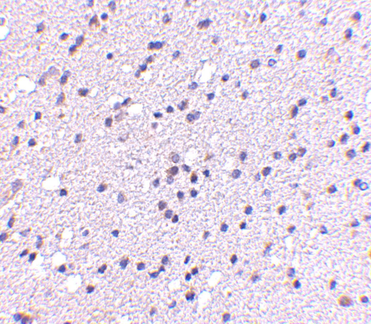
Immunohistochemistry: CADPS2 Antibody - BSA Free [NBP3-21500] - Immunohistochemistry of CADPS2 in human brain with CADPS2 antibody at 5 ug/mL.Immunocytochemistry/ Immunofluorescence: CADPS2 Antibody - BSA Free [NBP3-21500] -
Immunocytochemistry/ Immunofluorescence: CADPS2 Antibody - BSA Free [NBP3-21500] - Immunofluorescence of CADPS2 in Human Brain tissue with CADPS2 antibody at 20 ug/mL.Applications for CADPS2 Antibody - BSA Free
Application
Recommended Usage
ELISA
1:100-1:2000
Immunocytochemistry/ Immunofluorescence
20 ug/ml
Immunohistochemistry
5 ug/ml
Immunohistochemistry-Paraffin
5 ug/ml
Western Blot
0.5-1 ug/ml
Formulation, Preparation, and Storage
Purification
Peptide affinity purified
Formulation
PBS
Format
BSA Free
Preservative
0.02% Sodium Azide
Concentration
1 mg/ml
Shipping
The product is shipped with polar packs. Upon receipt, store it immediately at the temperature recommended below.
Stability & Storage
Store at 4C short term. Aliquot and store at -20C long term. Avoid freeze-thaw cycles.
Background: CADPS2
Alternate Names
CAPS2
Gene Symbol
CADPS2
Additional CADPS2 Products
Product Documents for CADPS2 Antibody - BSA Free
Product Specific Notices for CADPS2 Antibody - BSA Free
This product is for research use only and is not approved for use in humans or in clinical diagnosis. Primary Antibodies are guaranteed for 1 year from date of receipt.
Loading...
Loading...
Loading...
Loading...