Skip to main content

CACYBP Antibody - BSA Free

Novus Biologicals, part of Bio-Techne | Catalog # NBP2-15660

Novus Biologicals, part of Bio-Techne
Catalog #
Availability
Size / Price
Qty
Loading...
NBP2-15660

Key Product Details

Species Reactivity

Human

Applications

Immunohistochemistry, Immunohistochemistry-Paraffin, Western Blot, Immunocytochemistry/ Immunofluorescence

Label

Unconjugated

Antibody Source

Polyclonal Rabbit IgG

Format

BSA Free

Concentration

Concentrations vary lot to lot. See vial label for concentration. If unlisted please contact technical services.

Product Specifications

Immunogen

Carrier-protein conjugated synthetic peptide encompassing a sequence within the C-terminus region of human CACYBP. The exact sequence is proprietary.

Clonality

Polyclonal

Host

Rabbit

Isotype

IgG

Theoretical MW

26 kDa.
Disclaimer note: The observed molecular weight of the protein may vary from the listed predicted molecular weight due to post translational modifications, post translation cleavages, relative charges, and other experimental factors.

Description

Novus Biologicals Rabbit CACYBP Antibody - BSA Free (NBP2-15660) is a polyclonal antibody validated for use in IHC, WB and ICC/IF. All Novus Biologicals antibodies are covered by our 100% guarantee.

Scientific Data Images for CACYBP Antibody - BSA Free

Western Blot: CACYBP Antibody [NBP2-15660]

Western Blot: CACYBP Antibody [NBP2-15660]

Western Blot: CACYBP Antibody [NBP2-15660] - Sample (30 ug of whole cell lysate) A: A431 B: H1299 12% SDS PAGE gel, diluted at 1:1000.
Immunocytochemistry/ Immunofluorescence: CACYBP Antibody [NBP2-15660]

Immunocytochemistry/ Immunofluorescence: CACYBP Antibody [NBP2-15660]

Immunocytochemistry/Immunofluorescence: CACYBP Antibody [NBP2-15660] - Immunofluorescence analysis of paraformaldehyde-fixed HeLa, using antibody at 1:200 dilution.
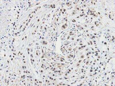
Immunohistochemistry-Paraffin: CACYBP Antibody [NBP2-15660]

Immunohistochemistry-Paraffin: CACYBP Antibody [NBP2-15660]

Immunohistochemistry-Paraffin: CACYBP Antibody [NBP2-15660] - Analysis of paraffin-embedded A549 xenograft, using antibody at 1:100 dilution.

Applications for CACYBP Antibody - BSA Free

Application
Recommended Usage

Immunocytochemistry/ Immunofluorescence

1:100-1:1000

Immunohistochemistry

10 - 1:500

Immunohistochemistry-Paraffin

1:100-1:1000

Western Blot

1:500-1:3000

Formulation, Preparation, and Storage

Purification

Protein A purified

Formulation

PBS, 40% Glycerol

Format

BSA Free

Preservative

0.01% Thimerosal

Concentration

Concentrations vary lot to lot. See vial label for concentration. If unlisted please contact technical services.

Shipping

The product is shipped with polar packs. Upon receipt, store it immediately at the temperature recommended below.

Stability & Storage

Aliquot and store at -20C or -80C. Avoid freeze-thaw cycles.

Background: CACYBP

The protein encoded by this gene is a calcyclin binding protein. It may be involved in calcium-dependent ubiquitination and subsequent proteosomal degradation of target proteins. It probably serves as a molecular bridge in ubiquitin E3 complexes and participates in the ubiquitin-mediated degradation of beta-catenin. Two alternatively spliced transcript variants encoding different isoforms have been found for this gene. [provided by RefSeq]

Alternate Names

CacyBP, calcyclin binding protein, GIG5, hCacyBP, MGC87971, RP1-102G20.6, S100A6-binding protein, S100A6BPgrowth-inhibiting gene 5 protein, Siah-interacting protein, Siah-interacting protein (SIP), SIPcalcyclin-binding protein

Gene Symbol

CACYBP

UniProt

Additional CACYBP Products

Product Documents for CACYBP Antibody - BSA Free

Certificate of Analysis

To download a Certificate of Analysis, please enter a lot number in the search box below.

Product Specific Notices for CACYBP Antibody - BSA Free

This product is for research use only and is not approved for use in humans or in clinical diagnosis. Primary Antibodies are guaranteed for 1 year from date of receipt.

Loading...
Loading...
Loading...
Loading...

⚠ WARNING: This product can expose you to chemicals including mercury, which is known to the State of California to cause reproductive toxicity with developmental effects.  For more information go to www.P65Warnings.ca.gov.