Skip to main content

CA125/MUC16 Antibody (CL2782) - Azide and BSA Free

Novus Biologicals, part of Bio-Techne | Catalog # NBP3-44100

Novus Biologicals, part of Bio-Techne

Key Product Details

Validated by

Orthogonal Validation

Species Reactivity

Human

Applications

Immunohistochemistry-Paraffin, Immunocytochemistry/ Immunofluorescence

Label

Unconjugated

Antibody Source

Monoclonal Mouse IgG1 Clone # CL2782

Format

Azide and BSA Free

Concentration

LYOPH mg/ml

Product Specifications

Immunogen

This antibody was generated using a recombinant protein sequence of Q8WXI7, with the exact immunogen sequence remaining proprietary.

Clonality

Monoclonal

Host

Mouse

Isotype

IgG1

Description

Novus Biologicals Mouse CA125/MUC16 Antibody (CL2782) - Azide and BSA Free (NBP2-59023) is a monoclonal antibody validated for use in IHC and ICC/IF. All Novus Biologicals antibodies are covered by our 100% guarantee.

Scientific Data Images for CA125/MUC16 Antibody (CL2782) - Azide and BSA Free

CA125/MUC16 Antibody (CL2782) - Azide and BSA Free Immunocytochemistry/ Immunofluorescence: CA125/MUC16 Antibody [NBP3-44100]

Immunocytochemistry/ Immunofluorescence: CA125/MUC16 Antibody [NBP3-44100]

Staining of HeLa cells using the Anti-CA125/MUC16 monoclonal antibody) .
CA125/MUC16 Antibody (CL2782) - Azide and BSA Free Immunohistochemistry-Paraffin: CA125/MUC16 Antibody [NBP3-44100]

Immunohistochemistry-Paraffin: CA125/MUC16 Antibody [NBP3-44100]

Analysis in human cervix, uterine and liver tissues using NBP3-44100 antibody. Corresponding CA125/MUC16 RNA-seq data are presented for the same tissues.
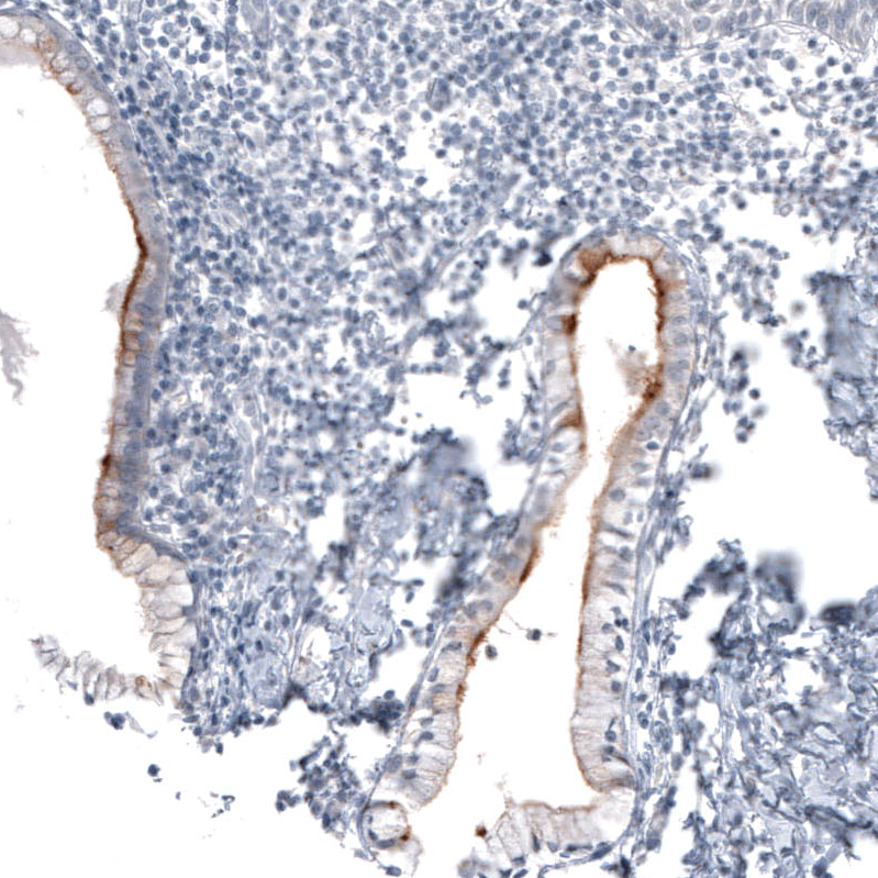
CA125/MUC16 Antibody (CL2782) - Azide and BSA Free Immunohistochemistry-Paraffin: CA125/MUC16 Antibody [NBP3-44100]

Immunohistochemistry-Paraffin: CA125/MUC16 Antibody [NBP3-44100]

Staining of human fallopian tube shows moderate positivity in cilia in glandular cells.

Applications for CA125/MUC16 Antibody (CL2782) - Azide and BSA Free

Application
Recommended Usage

Immunocytochemistry/ Immunofluorescence

2-10 ug/ml

Immunohistochemistry-Paraffin

1:200 - 1:500
Application Notes
For IHC-Paraffin, HIER pH 6 retrieval is recommended. For Immunocytochemistry/ Immunofluorescence/IF, PFA/Triton X-100 is recommended for fixation/permeabilization.

Formulation, Preparation, and Storage

Purification

Protein A purified

Reconstitution

Centrifuge the vial of lyophilized antibody at 12,000 x g for 20 seconds. Reconstitute by adding sterile, distilled water to achieve a final antibody concentration of 1mg/ml.

Formulation

Lyophilized from a 0.2 um filtered solution in PBS with Trehalose

Format

Azide and BSA Free

Preservative

No Preservative

Concentration

LYOPH mg/ml

Shipping

The product is shipped at ambient temperature. Upon receipt, store it immediately at the temperature recommended below.

Stability & Storage

Store at 4C short term. Aliquot and store at -20C long term. Avoid freeze-thaw cycles.

Background: CA125/MUC16

MUC16 (CA125) is a serum marker that is used routinely in gynecologic practice to monitor patients with ovarian cancer. It is a mullerian duct differentiation antigen that is over expressed in epithelial ovarian cancer cells and secreted into the blood, although its expression is not entirely confined to ovarian cancer. Most biochemical studies have concluded that MUC16 is a high molecular mass glycoprotein, although estimates of its size range from 200 to 2000 kDa with smaller "subunits" being described by some investigators.

Long Name

Ovarian Cancer Antigen CA125

Alternate Names

MUC16

Gene Symbol

MUC16

Additional CA125/MUC16 Products

Product Documents for CA125/MUC16 Antibody (CL2782) - Azide and BSA Free

Certificate of Analysis

To download a Certificate of Analysis, please enter a lot number in the search box below.

Product Specific Notices for CA125/MUC16 Antibody (CL2782) - Azide and BSA Free

This product is for research use only and is not approved for use in humans or in clinical diagnosis. Primary Antibodies are guaranteed for 1 year from date of receipt.

Loading...
Loading...
Loading...
Loading...
Loading...