Skip to main content

C1qTNF3/CORS26/CTRP3 Antibody - BSA Free

Novus Biologicals, part of Bio-Techne | Catalog # NBP1-76628

Novus Biologicals, part of Bio-Techne

Key Product Details

Validated by

Tagged Protein Expression

Species Reactivity

Human, Mouse, Rat

Applications

Immunohistochemistry, Immunohistochemistry-Paraffin, Western Blot, ELISA, Immunocytochemistry/ Immunofluorescence

Label

Unconjugated

Antibody Source

Polyclonal Rabbit IgG

Format

BSA Free

Concentration

1 mg/ml

Product Specifications

Immunogen

Antibody was raised against a peptide corresponding to 16 amino acids near the center of human C1qTNF3/CORS26/CTRP3. The immunogen is located within amino acids 90-140 of C1qTNF3/CORS26/CTRP3. Amino Acid Sequence: PRGERGQHGPKGEKGY

Specificity

Multiple isoforms of C1qTNF3/CORS26/CTRP3 are known to exist. C1qTNF3/CORS26/CTRP3 antibody is predicted to not recognize other members of the CTRP protein family. Human C1qTNF3/CORS26/CTRP3 has 3 isoforms, including isoform 1 (246aa, 27kD), isoform 2 (198aa, 22kD) and isoform 3 (319aa, 35kD). Mouse C1qTNF3/CORS26/CTRP3 has one isoform (246aa, 27kD) and Rat C1qTNF3/CORS26/CTRP3 also has one isoform (319aa, 35kD). NBP1-76628 can detect human, mouse and rat.

Clonality

Polyclonal

Host

Rabbit

Isotype

IgG

Theoretical MW

27 kDa.
Disclaimer note: The observed molecular weight of the protein may vary from the listed predicted molecular weight due to post translational modifications, post translation cleavages, relative charges, and other experimental factors.

Scientific Data Images for C1qTNF3/CORS26/CTRP3 Antibody - BSA Free

Western Blot: C1qTNF3/CORS26/CTRP3 AntibodyBSA Free [NBP1-76628]

Western Blot: C1qTNF3/CORS26/CTRP3 AntibodyBSA Free [NBP1-76628]

Western Blot: C1qTNF3/CORS26/CTRP3 Antibody [NBP1-76628] - Western Blot Validation in Mouse and Rat Tissue Lysates. Loading: 15 ug of lysates per lane. Antibodies: C1qTNF3/CORS26/CTRP3, NBP1-76628 (1 ug/mL), 1h incubation at RT in 5% NFDM/TBST. Secondary: Goat anti-rabbit IgG HRP conjugate at 1:10000 dilution.
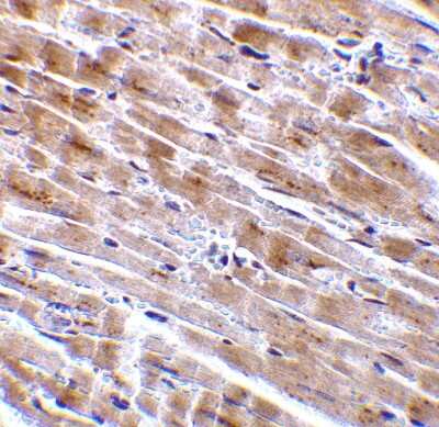
Immunohistochemistry-Paraffin: C1qTNF3/CORS26/CTRP3 Antibody - BSA Free [NBP1-76628]

Immunohistochemistry-Paraffin: C1qTNF3/CORS26/CTRP3 Antibody - BSA Free [NBP1-76628]

Immunohistochemistry-Paraffin: C1qTNF3/CORS26/CTRP3 Antibody [NBP1-76628] - Immunohistochemical analysis of paraffin-embedded mouse heart tissue using anti-C1qTNF3/CORS26/CTRP3 antibody (NBP1-76628) at 2 ug/ml. Tissue was fixed with formaldehyde and blocked with 10% serum for 1 h at RT; antigen retrieval was by heat mediation with a citrate buffer (pH6). Samples were incubated with primary antibody overnight at 4C. A goat anti-rabbit IgG H&L (HRP) at 1/250 was used as secondary. Counter stained with Hematoxylin.
Western Blot: C1qTNF3/CORS26/CTRP3 AntibodyBSA Free [NBP1-76628]

Western Blot: C1qTNF3/CORS26/CTRP3 AntibodyBSA Free [NBP1-76628]

Western Blot: C1qTNF3/CORS26/CTRP3 Antibody [NBP1-76628] - Western Blot Validation in Mouse Heart Tissue Lysate in the (A) absence and (B) presence of blocking peptide. Loading: 15 ug of lysates per lane. Antibodies: C1qTNF3/CORS26/CTRP3, NBP1-76628 (1 ug/mL), 1h incubation at RT in 5% NFDM/TBST. Secondary: Goat anti-rabbit IgG HRP conjugate at 1:10000dilution.

Applications for C1qTNF3/CORS26/CTRP3 Antibody - BSA Free

Application
Recommended Usage

ELISA

1:100-1:2000

Immunocytochemistry/ Immunofluorescence

10 ug/ml

Immunohistochemistry

2 ug/mL

Immunohistochemistry-Paraffin

2 ug/ml

Western Blot

1 ug/mL

Formulation, Preparation, and Storage

Purification

Peptide affinity purified

Formulation

PBS

Format

BSA Free

Preservative

0.02% Sodium Azide

Concentration

1 mg/ml

Shipping

The product is shipped with polar packs. Upon receipt, store it immediately at the temperature recommended below.

Stability & Storage

Store at 4C short term. Aliquot and store at -20C long term. Avoid freeze-thaw cycles.

Background: CTRP3/C1qTNF3/CORS26

Adipose tissue of an organism plays a major role in regulating physiologic and pathologic processes such as metabolism and immunity by producing and secreting a variety of bioactive molecules termed adipokines. One highly conserved family of adipokines is adiponectin/ACRP30 and its structural and functional paralogs, the C1q/tumor necrosis factor-alpha-related proteins (CTRPs) 1-7. Unlike adiponectin, which is expressed exclusively by differentiated adipocytes, the CTRPs are expressed in a wide variety of tissues. An analysis of the crystal structure of adiponectin revealed a structural and evolutionary link between TNF and C1q-containing proteins, suggesting that these proteins arose from a common ancestral innate immunity gene. Multiple isoforms of human CTRP3 have been reported. It has been suggested that CTRP3 may play a role in skeletal development.

Long Name

C1q and Tumor Necrosis Factor-related Protein 3

Alternate Names

C1qTNF3, Cartducin, CORS26

Gene Symbol

C1QTNF3

UniProt

Additional CTRP3/C1qTNF3/CORS26 Products

Product Documents for C1qTNF3/CORS26/CTRP3 Antibody - BSA Free

Certificate of Analysis

To download a Certificate of Analysis, please enter a lot number in the search box below.

Product Specific Notices for C1qTNF3/CORS26/CTRP3 Antibody - BSA Free

This product is for research use only and is not approved for use in humans or in clinical diagnosis. Primary Antibodies are guaranteed for 1 year from date of receipt.

Loading...
Loading...
Loading...
Loading...