Skip to main content

C1qR1/CD93 Antibody - BSA Free

Novus Biologicals, part of Bio-Techne | Catalog # NBP1-88317

Novus Biologicals, part of Bio-Techne
Catalog #
Availability
Size / Price
Qty
Loading...
NBP1-88317-25ul
NBP1-88317

Key Product Details

Validated by

Orthogonal Validation, Independent Antibodies

Species Reactivity

Validated:

Human

Cited:

Human

Applications

Validated:

Immunohistochemistry, Immunohistochemistry-Paraffin

Cited:

IF/IHC

Label

Unconjugated

Antibody Source

Polyclonal Rabbit IgG

Format

BSA Free

Concentration

Concentrations vary lot to lot. See vial label for concentration. If unlisted please contact technical services.

Product Specifications

Immunogen

This antibody was developed against Recombinant Protein corresponding to amino acids: FNTQGSFHCGCLPGWVLAPNGVSCTMGPVSLGPPSGPPDEEDKGEKEGSTVPRAATASPTRGPEGTPKATPTTSRPSLSSDAPITSAPLKMLAPSGSSGVWREPSIHHATAASGPQEPAGGDSSVATQNNDGTDGQKL

Clonality

Polyclonal

Host

Rabbit

Isotype

IgG

Description

Novus Biologicals Rabbit C1qR1/CD93 Antibody - BSA Free (NBP1-88317) is a polyclonal antibody validated for use in IHC. Anti-C1qR1/CD93 Antibody: Cited in 1 publication. All Novus Biologicals antibodies are covered by our 100% guarantee.

Scientific Data Images for C1qR1/CD93 Antibody - BSA Free

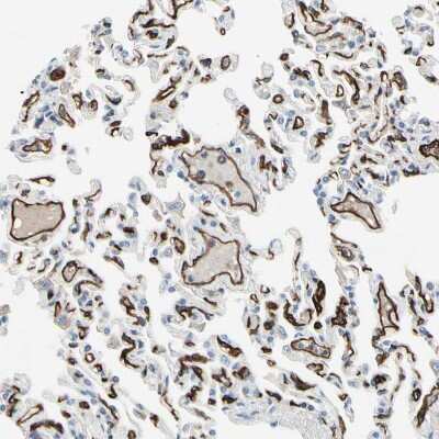
Immunohistochemistry-Paraffin: C1qR1/CD93 Antibody [NBP1-88317]

Immunohistochemistry-Paraffin: C1qR1/CD93 Antibody [NBP1-88317]

Immunohistochemistry-Paraffin: C1qR1/CD93 Antibody [NBP1-88317] - Analysis in human lung and skeletal muscle tissues. Corresponding CD93 RNA-seq data are presented for the same tissues.
Immunohistochemistry-Paraffin: C1qR1/CD93 Antibody [NBP1-88317]

Immunohistochemistry-Paraffin: C1qR1/CD93 Antibody [NBP1-88317]

Immunohistochemistry-Paraffin: C1qR1/CD93 Antibody [NBP1-88317] - Staining of human colon, kidney, lung and skeletal muscle using Anti-CD93 antibody NBP1-88317 (A) shows similar protein distribution across tissues to independent antibody NBP1-88316 (B).
Immunohistochemistry-Paraffin: C1qR1/CD93 Antibody [NBP1-88317]

Immunohistochemistry-Paraffin: C1qR1/CD93 Antibody [NBP1-88317]

Immunohistochemistry-Paraffin: C1qR1/CD93 Antibody [NBP1-88317] - Staining of human colon shows strong membranous positivity in endothelial cells.

Applications for C1qR1/CD93 Antibody - BSA Free

Application
Recommended Usage

Immunohistochemistry

1:50 - 1:200

Immunohistochemistry-Paraffin

1:50-1:200
Application Notes
For IHC-Paraffin, HIER pH 6 retrieval is recommended.

Formulation, Preparation, and Storage

Purification

Affinity purified

Formulation

PBS (pH 7.2) and 40% Glycerol

Format

BSA Free

Preservative

0.02% Sodium Azide

Concentration

Concentrations vary lot to lot. See vial label for concentration. If unlisted please contact technical services.

Shipping

The product is shipped with polar packs. Upon receipt, store it immediately at the temperature recommended below.

Stability & Storage

Store at 4C short term. Aliquot and store at -20C long term. Avoid freeze-thaw cycles.

Background: C1qR1/CD93

C1QR1 - complement component 1, q subcomponent, receptor 1

Long Name

Complement Component C1q Receptor

Alternate Names

AA4 Antigen, C1q R1, C1q Rp, C1qRp, CD93, Collectin Receptor, Ly68

Gene Symbol

CD93

Additional C1qR1/CD93 Products

Product Documents for C1qR1/CD93 Antibody - BSA Free

Certificate of Analysis

To download a Certificate of Analysis, please enter a lot number in the search box below.

Product Specific Notices for C1qR1/CD93 Antibody - BSA Free

This product is for research use only and is not approved for use in humans or in clinical diagnosis. Primary Antibodies are guaranteed for 1 year from date of receipt.

Loading...
Loading...
Loading...
Loading...