Skip to main content

C1qR1/CD93 Antibody (2F7D11) - BSA Free

Novus Biologicals, part of Bio-Techne | Catalog # NBP2-37310

Novus Biologicals, part of Bio-Techne
Catalog #
Availability
Size / Price
Qty
Loading...
NBP2-37310
NBP2-37310-0.025ml

Key Product Details

Species Reactivity

Human

Applications

ELISA, Immunohistochemistry, Immunohistochemistry-Paraffin, Western Blot

Label

Unconjugated

Antibody Source

Monoclonal Mouse IgG1 Clone # 2F7D11

Format

BSA Free

Concentration

1 mg/ml

Product Specifications

Immunogen

Purified recombinant fragment of human C1qR1/CD93 (AA: 474-535) expressed in E. Coli.

Clonality

Monoclonal

Host

Mouse

Isotype

IgG1

Theoretical MW

68.6 kDa.
Disclaimer note: The observed molecular weight of the protein may vary from the listed predicted molecular weight due to post translational modifications, post translation cleavages, relative charges, and other experimental factors.

Description

Novus Biologicals Mouse C1qR1/CD93 Antibody (2F7D11) - BSA Free (NBP2-37310) is a monoclonal antibody validated for use in IHC, WB and ELISA. All Novus Biologicals antibodies are covered by our 100% guarantee.

Scientific Data Images for C1qR1/CD93 Antibody (2F7D11) - BSA Free

Western Blot: C1qR1/CD93 Antibody (2F7D11)BSA Free [NBP2-37310]

Western Blot: C1qR1/CD93 Antibody (2F7D11)BSA Free [NBP2-37310]

Western Blot: C1qR1/CD93 Antibody (2F7D11) [NBP2-37310] - Analysis using CD93 mAb against HEK293 (1) and CD93 (AA: 474-535)-hIgGFc transfected HEK293 (2) cell lysate.
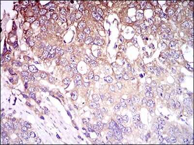
Immunohistochemistry-Paraffin: C1qR1/CD93 Antibody (2F7D11) - BSA Free [NBP2-37310]

Immunohistochemistry-Paraffin: C1qR1/CD93 Antibody (2F7D11) - BSA Free [NBP2-37310]

Immunohistochemistry-Paraffin: C1qR1/CD93 Antibody (2F7D11) [NBP2-37310] - Analysis of paraffin-embedded esophageal cancer tissues using CD93 mouse mAb with DAB staining.
Western Blot: C1qR1/CD93 Antibody (2F7D11)BSA Free [NBP2-37310]

Western Blot: C1qR1/CD93 Antibody (2F7D11)BSA Free [NBP2-37310]

Western Blot: C1qR1/CD93 Antibody (2F7D11) [NBP2-37310] - Analysis using CD93 mAb against human CD93 recombinant protein. (Expected MW is 31.7 kDa)

Applications for C1qR1/CD93 Antibody (2F7D11) - BSA Free

Application
Recommended Usage

ELISA

1:10000

Immunohistochemistry

1:200 - 1:1000

Immunohistochemistry-Paraffin

1:200 - 1:1000

Western Blot

1:500 - 1:2000

Formulation, Preparation, and Storage

Purification

Protein G purified

Formulation

PBS

Format

BSA Free

Preservative

0.05% Sodium Azide

Concentration

1 mg/ml

Shipping

The product is shipped with polar packs. Upon receipt, store it immediately at the temperature recommended below.

Stability & Storage

Store at 4C short term. Aliquot and store at -20C long term. Avoid freeze-thaw cycles.

Background: C1qR1/CD93

C1QR1 - complement component 1, q subcomponent, receptor 1

Long Name

Complement Component C1q Receptor

Alternate Names

AA4 Antigen, C1q R1, C1q Rp, C1qRp, CD93, Collectin Receptor, Ly68

Gene Symbol

CD93

Additional C1qR1/CD93 Products

Product Documents for C1qR1/CD93 Antibody (2F7D11) - BSA Free

Certificate of Analysis

To download a Certificate of Analysis, please enter a lot number in the search box below.

Product Specific Notices for C1qR1/CD93 Antibody (2F7D11) - BSA Free

This product is for research use only and is not approved for use in humans or in clinical diagnosis. Primary Antibodies are guaranteed for 1 year from date of receipt.

Loading...
Loading...
Loading...
Loading...