c-Rel Antibody (1E7)
Novus Biologicals, part of Bio-Techne | Catalog # NBP2-37593
Key Product Details
Species Reactivity
Validated:
Human, Mouse
Cited:
Human
Applications
Validated:
Immunohistochemistry, Immunohistochemistry-Paraffin, Western Blot, ELISA, Immunocytochemistry/ Immunofluorescence
Cited:
Immunocytochemistry/ Immunofluorescence
Label
Unconjugated
Antibody Source
Monoclonal Mouse IgG1 Clone # 1E7
Concentration
This product is unpurified. The exact concentration of antibody is not quantifiable.
Product Specifications
Immunogen
Purified recombinant fragment of human c-Rel expressed in E. Coli.;
Reactivity Notes
Mouse blocking reagent may be needed for IHC and ICC experiments to reduce high background signal. You can find these reagents under catalog numbers PK-2200-NB and MP-2400-NB. Please contact Technical Support if you have any Please note that this antibody is reactive to Mouse and derived from the same host, Mouse. Mouse-On-questions.
Clonality
Monoclonal
Host
Mouse
Isotype
IgG1
Theoretical MW
68.5 kDa.
Disclaimer note: The observed molecular weight of the protein may vary from the listed predicted molecular weight due to post translational modifications, post translation cleavages, relative charges, and other experimental factors.
Disclaimer note: The observed molecular weight of the protein may vary from the listed predicted molecular weight due to post translational modifications, post translation cleavages, relative charges, and other experimental factors.
Description
Novus Biologicals Mouse c-Rel Antibody (1E7) (NBP2-37593) is a monoclonal antibody validated for use in IHC, WB, ELISA and ICC/IF. Anti-c-Rel Antibody: Cited in 1 publication. All Novus Biologicals antibodies are covered by our 100% guarantee.
Scientific Data Images for c-Rel Antibody (1E7)
Western Blot: c-Rel Antibody (1E7)BSA Free [NBP2-37593]
Western Blot: c-Rel Antibody (1E7) [NBP2-37593] - Analysis using c-Rel mouse mAb against Jurkat (1), NIH/3T3 (2), Hela (3), HEK293 (4) and RAJI (5) cell lysate.Immunocytochemistry/ Immunofluorescence: c-Rel Antibody (1E7) - BSA Free [NBP2-37593]
Immunocytochemistry/Immunofluorescence: c-Rel Antibody (1E7) [NBP2-37593] - Analysis of U251 cells using c-Rel mouse mAb (green). Blue: DRAQ5 fluorescent DNA dye. Red: Actin filaments have been labeled with Alexa Fluor-555 phalloidin.Immunohistochemistry-Paraffin: c-Rel Antibody (1E7) - BSA Free [NBP2-37593]
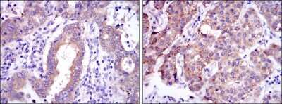
Immunohistochemistry-Paraffin: c-Rel Antibody (1E7) [NBP2-37593] - Analysis of endometrial cancer tissues (left) and liver cancer tissues (right) using c-Rel mouse mAb with DAB staining.Applications for c-Rel Antibody (1E7)
Application
Recommended Usage
ELISA
1:10000
Immunocytochemistry/ Immunofluorescence
1:200 - 1:1000
Immunohistochemistry
1:200 - 1:1000
Immunohistochemistry-Paraffin
1:200 - 1:1000
Western Blot
1:500 - 1:2000
Formulation, Preparation, and Storage
Purification
Unpurified
Formulation
Ascites
Preservative
0.03% Sodium Azide
Concentration
This product is unpurified. The exact concentration of antibody is not quantifiable.
Shipping
The product is shipped with polar packs. Upon receipt, store it immediately at the temperature recommended below.
Stability & Storage
Store at 4C short term. Aliquot and store at -20C long term. Avoid freeze-thaw cycles.
Background: c-Rel
Long Name
Cellular Repressor of E1A-stimulated Genes
Alternate Names
cRel, REL
Gene Symbol
REL
Additional c-Rel Products
Product Documents for c-Rel Antibody (1E7)
Product Specific Notices for c-Rel Antibody (1E7)
This product is for research use only and is not approved for use in humans or in clinical diagnosis. Primary Antibodies are guaranteed for 1 year from date of receipt.
Loading...
Loading...
Loading...
Loading...