Skip to main content

c-jun Antibody (OTI2D11) - Azide and BSA Free

Novus Biologicals, part of Bio-Techne | Catalog # NBP2-71058

Novus Biologicals, part of Bio-Techne

Key Product Details

Species Reactivity

Human, Mouse, Rat, Canine

Applications

Immunohistochemistry, Immunohistochemistry-Paraffin, Western Blot

Label

Unconjugated

Antibody Source

Monoclonal Mouse IgG1 Clone # OTI2D11

Format

Azide and BSA Free

Concentration

LYOPH mg/ml

Product Specifications

Immunogen

Full length human recombinant protein of human JUN (NP_002219) produced in E.coli.

Reactivity Notes

Please note that this antibody is reactive to Mouse and derived from the same host, Mouse. Mouse-On-Mouse blocking reagent may be needed for IHC and ICC experiments to reduce high background signal. You can find these reagents under catalog numbers PK-2200-NB and MP-2400-NB. Please contact Technical Support if you have any questions.

Clonality

Monoclonal

Host

Mouse

Isotype

IgG1

Theoretical MW

35.5 kDa.
Disclaimer note: The observed molecular weight of the protein may vary from the listed predicted molecular weight due to post translational modifications, post translation cleavages, relative charges, and other experimental factors.

Description

Novus Biologicals Mouse c-jun Antibody (OTI2D11) - Azide and BSA Free (NBP2-45470) is a monoclonal antibody validated for use in IHC and WB. All Novus Biologicals antibodies are covered by our 100% guarantee.

Scientific Data Images for c-jun Antibody (OTI2D11) - Azide and BSA Free

Western Blot: c-jun Antibody (OTI2D11)Azide and BSA Free [NBP2-71058]

Western Blot: c-jun Antibody (OTI2D11)Azide and BSA Free [NBP2-71058]

Western Blot: c-jun Antibody (OTI2D11) - Azide and BSA Free [NBP2-71058] - Analysis of HEK293T cells were transfected with the pCMV6-ENTRY control (Left lane) or pCMV6-ENTRY c-jun.
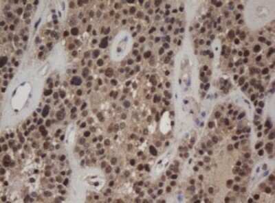
Immunohistochemistry: c-jun Antibody (OTI2D11) - Azide and BSA Free [NBP2-71058]

Immunohistochemistry: c-jun Antibody (OTI2D11) - Azide and BSA Free [NBP2-71058]

Immunohistochemistry: c-jun Antibody (OTI2D11) - Azide and BSA Free [NBP2-71058] - Analysis of Carcinoma of Human pancreas tissue.
Western Blot: c-jun Antibody (OTI2D11)Azide and BSA Free [NBP2-71058]

Western Blot: c-jun Antibody (OTI2D11)Azide and BSA Free [NBP2-71058]

Western Blot: c-jun Antibody (OTI2D11) - Azide and BSA Free [NBP2-71058] - Analysis of extracts (35ug) from 9 different cell lines (HepG2: human; HeLa: human; SVT2: mouse; A549: human; COS7: monkey; Jurkat: human; MDCK: canine; PC12: rat; MCF7: human).

Applications for c-jun Antibody (OTI2D11) - Azide and BSA Free

Application
Recommended Usage

Immunohistochemistry

1:500

Western Blot

1:2000

Formulation, Preparation, and Storage

Purification

Immunogen affinity purified

Reconstitution

we recommend adding 100uL distilled water to a final antibody concentration of about 1 mg/mL. To use this carrier-free antibody for conjugation experiment, we strongly recommend performing another round of desalting process.

Formulation

Lyophilized from PBS (pH 7.3) with 8% Trehalose

Format

Azide and BSA Free

Preservative

No Preservative

Concentration

LYOPH mg/ml

Shipping

The product is shipped with polar packs. Upon receipt, store it immediately at the temperature recommended below.

Stability & Storage

Store at -20C. Avoid freeze-thaw cycles.

Background: c-Jun

The human protooncogene JUN is the putative transforming gene of avian sarcoma virus 17, and it encodes a protein which is highly homologous to the viral protein. cJun (previously known as the Fos binding protein p39) and c Fos form a complex in the nucleus. AP 1 (activating protein 1) is a collective term referring to these dimeric transcription factors composed of Jun, Fos or ATF subunits that bind to a common DNA site, the AP1 binding site. AP 1 proteins, mostly the Jun group, regulate the expression and function of cell cycle regulators such as Cyclin D1, p53, p21 (cip1/waf1), p19 (ARF) and p16. Fos and Jun proto oncogene expression is induced transiently by a variety of extracellular stimuli associated with mitogenesis, differentiation processes or depolarization of neurons. JUN has been mapped to 1p32 to p31, a chromosomal region involved in both translocations and deletions in human malignancies.

Long Name

Cellular Repressor of E1A-stimulated Genes/Transcription Factor AP-1

Alternate Names

cJun, JUN

Gene Symbol

JUN

Additional c-Jun Products

Product Documents for c-jun Antibody (OTI2D11) - Azide and BSA Free

Certificate of Analysis

To download a Certificate of Analysis, please enter a lot number in the search box below.

Product Specific Notices for c-jun Antibody (OTI2D11) - Azide and BSA Free

This product is for research use only and is not approved for use in humans or in clinical diagnosis. Primary Antibodies are guaranteed for 1 year from date of receipt.

Loading...
Loading...
Loading...
Loading...
Loading...