BubR1 Antibody (OTI6E5) - Azide and BSA Free
Novus Biologicals, part of Bio-Techne | Catalog # NBP2-70314
Conjugate
Catalog #
Key Product Details
Species Reactivity
Human
Applications
Immunohistochemistry, Immunohistochemistry-Paraffin, Western Blot, Flow Cytometry, Immunocytochemistry/ Immunofluorescence, CyTOF-ready
Label
Unconjugated
Antibody Source
Monoclonal Mouse IgG1 Clone # OTI6E5
Format
Azide and BSA Free
Concentration
LYOPH mg/ml
Product Specifications
Immunogen
Full-length protein expressed in 293T cell transfected with human BUB1B expression vector
Clonality
Monoclonal
Host
Mouse
Isotype
IgG1
Theoretical MW
119.5 kDa.
Disclaimer note: The observed molecular weight of the protein may vary from the listed predicted molecular weight due to post translational modifications, post translation cleavages, relative charges, and other experimental factors.
Disclaimer note: The observed molecular weight of the protein may vary from the listed predicted molecular weight due to post translational modifications, post translation cleavages, relative charges, and other experimental factors.
Description
Novus Biologicals Mouse BubR1 Antibody (OTI6E5) - Azide and BSA Free (NBP1-47680) is a monoclonal antibody validated for use in IHC, WB, Flow and ICC/IF. All Novus Biologicals antibodies are covered by our 100% guarantee.
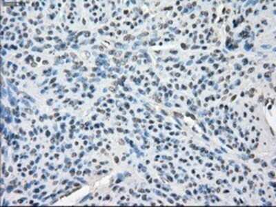
Scientific Data Images for BubR1 Antibody (OTI6E5) - Azide and BSA Free
Western Blot: BubR1 Antibody (OTI6E5)Azide and BSA Free [NBP2-70314]
Western Blot: BubR1 Antibody (OTI6E5) - Azide and BSA Free [NBP2-70314] - HEK293T cells were transfected with the pCMV6-ENTRY control (Left lane) or pCMV6-ENTRY BubR1 (Right lane) cDNA for 48 hrs and lysed. Equivalent amounts of cell lysates (5 ug per lane) were separated by SDS-PAGE and immunoblotted with anti-BubR1.Immunocytochemistry/ Immunofluorescence: BubR1 Antibody (OTI6E5) - Azide and BSA Free [NBP2-70314]
Immunocytochemistry/Immunofluorescence: BubR1 Antibody (OTI6E5) - Azide and BSA Free [NBP2-70314] - Staining of COS7 cells transiently transfected by pCMV6-ENTRY BubR1.Immunohistochemistry: BubR1 Antibody (OTI6E5) - Azide and BSA Free [NBP2-70314]
Immunohistochemistry: BubR1 Antibody (OTI6E5) - Azide and BSA Free [NBP2-70314] - Staining of paraffin-embedded pancreas tissue using anti-BubR1 mouse monoclonal antibody.Applications for BubR1 Antibody (OTI6E5) - Azide and BSA Free
Application
Recommended Usage
Flow Cytometry
1:100
Immunocytochemistry/ Immunofluorescence
1:100
Immunohistochemistry
1:50
Western Blot
1:200 - 1:1000
Formulation, Preparation, and Storage
Purification
Immunogen affinity purified
Reconstitution
we recommend adding 100uL distilled water to a final antibody concentration of about 1 mg/mL. To use this carrier-free antibody for conjugation experiment, we strongly recommend performing another round of desalting process.
Formulation
Lyophilized from PBS (pH 7.3) with 8% Trehalose
Format
Azide and BSA Free
Preservative
No Preservative
Concentration
LYOPH mg/ml
Shipping
The product is shipped with polar packs. Upon receipt, store it immediately at the temperature recommended below.
Stability & Storage
Store at -20C. Avoid freeze-thaw cycles.
Background: BubR1
BubR1 antibodies are useful tools for cancer research and cell division studies.
Alternate Names
Bub1A, BUBR1budding uninhibited by benzimidazoles 1 (yeast homolog), beta, budding uninhibited by benzimidazoles 1 homolog beta (yeast), EC 2.7.11.1, hBUBR1, MAD3/BUB1-related protein kinase, MAD3LBUB1beta, Mitotic checkpoint kinase MAD3L, Protein SSK1, SSK1mitotic checkpoint serine/threonine-protein kinase BUB1 beta
Gene Symbol
BUB1B
Additional BubR1 Products
Product Documents for BubR1 Antibody (OTI6E5) - Azide and BSA Free
Product Specific Notices for BubR1 Antibody (OTI6E5) - Azide and BSA Free
This product is for research use only and is not approved for use in humans or in clinical diagnosis. Primary Antibodies are guaranteed for 1 year from date of receipt.
Loading...
Loading...
Loading...
Loading...
Loading...
Loading...