Skip to main content

BTF Antibody

Novus Biologicals, part of Bio-Techne | Catalog # NB100-1704

Novus Biologicals, part of Bio-Techne
Catalog #
Availability
Size / Price
Qty
Loading...
NB100-1704

Key Product Details

Validated by

Biological Validation

Species Reactivity

Human, Mouse

Applications

Immunohistochemistry, Immunohistochemistry-Paraffin, Western Blot, Immunoprecipitation

Label

Unconjugated

Antibody Source

Polyclonal Rabbit IgG

Concentration

0.2 mg/ml

Product Specifications

Immunogen

The immunogen recognized by this antibody maps to a region between residues 150 and 200 of human BCL2-Associated Transcription Factor 1 using the numbering given in entry NP_055554.1 (GeneID 9774).

Clonality

Polyclonal

Host

Rabbit

Isotype

IgG

Description

Novus Biologicals Rabbit BTF Antibody (NB100-1704) is a polyclonal antibody validated for use in IHC, WB and IP. Anti-BTF Antibody: Cited in 4 publications. All Novus Biologicals antibodies are covered by our 100% guarantee.

Scientific Data Images for BTF Antibody

Western Blot: BTF Antibody [NB100-1704]

Western Blot: BTF Antibody [NB100-1704]

Western Blot: BTF Antibody [NB100-1704] - Whole cell lysate from HeLa (5, 15, 50 ug loaded) and 293T cells (T; 50 ug) probed with anti-BTF antibody at 0.04 ug/ml.
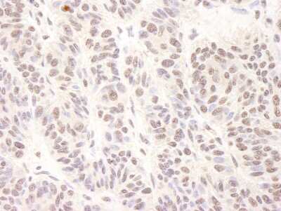
Immunohistochemistry: BTF Antibody [NB100-1704]

Immunohistochemistry: BTF Antibody [NB100-1704]

Immunohistochemistry: BTF Antibody [NB100-1704] - Sample: FFPE section of human skin carcinoma. Antibody: Affinity purified rabbit anti-BTF used at a dilution of 1:1,000 (0.2ug/ml). Detection: DAB staining using Immunohistochemistry Accessory Kit.
Western Blot: BTF Antibody [NB100-1704]

Western Blot: BTF Antibody [NB100-1704]

Western Blot: BTF Antibody [NB100-1704] - : Whole cell lysate (50 ug) from TCMK-1, 4T1, and CT26.WT cells.

Applications for BTF Antibody

Application
Recommended Usage

Immunohistochemistry

1:100 - 1:1000

Immunohistochemistry-Paraffin

1:10-1:500

Immunoprecipitation

1 to 4 ug/mg of lysate

Western Blot

1:2000-1:10000
Application Notes
Epitope retrieval with citrate buffer pH6.0 is recommended for FFPE tissue sections.

Formulation, Preparation, and Storage

Purification

Immunogen affinity purified

Formulation

TBS and 0.1% BSA

Preservative

0.09% Sodium Azide

Concentration

0.2 mg/ml

Shipping

The product is shipped with polar packs. Upon receipt, store it immediately at the temperature recommended below.

Stability & Storage

Store at 4C. Do not freeze.

Background: BTF

BTF is a transcriptional repressor that interacts with Bcl-2 related proteins to promote apoptosis. BTF has also been found to interact with emerin, a nuclear protein implicated in the muscle wasting disease Emery-Dreifuss muscular dystrophy. Alternate designations for BTF include Bcl-2-associated transcription factor 1, BCLAF1, KIAA0164, and bK211L9.1.

Alternate Names

bcl-2-associated transcription factor 1, BCL2-associated transcription factor 1, Btf, BTFKIAA0164bK211L9.1

Entrez Gene IDs

9774 (Human)

Gene Symbol

BCLAF1

Additional BTF Products

Product Documents for BTF Antibody

Certificate of Analysis

To download a Certificate of Analysis, please enter a lot number in the search box below.

Product Specific Notices for BTF Antibody

This product is for research use only and is not approved for use in humans or in clinical diagnosis. Primary Antibodies are guaranteed for 1 year from date of receipt.

Loading...
Loading...
Loading...
Loading...