Skip to main content

BTBD17 Antibody - BSA Free

Novus Biologicals, part of Bio-Techne | Catalog # NBP1-90749

Novus Biologicals, part of Bio-Techne
Catalog #
Availability
Size / Price
Qty
Loading...
NBP1-90749-25ul
NBP1-90749

Key Product Details

Species Reactivity

Validated:

Human

Predicted:

Mouse (98%), Rat (97%). Backed by our 100% Guarantee.

Applications

Immunohistochemistry, Immunohistochemistry-Paraffin

Label

Unconjugated

Antibody Source

Polyclonal Rabbit IgG

Format

BSA Free

Concentration

Concentrations vary lot to lot. See vial label for concentration. If unlisted please contact technical services.

Product Specifications

Immunogen

This antibody was developed against Recombinant Protein corresponding to amino acids: VADLLLQAYQFHAASPLHYAKFFDVNGSAFLPRNYLAPAWGAPWVINNPARDDRSTSFQTQLGPSGHDAGRRVTWNVLFSPRWLPVSLRPV

Clonality

Polyclonal

Host

Rabbit

Isotype

IgG

Description

Novus Biologicals Rabbit BTBD17 Antibody - BSA Free (NBP1-90749) is a polyclonal antibody validated for use in IHC. All Novus Biologicals antibodies are covered by our 100% guarantee.

Scientific Data Images for BTBD17 Antibody - BSA Free

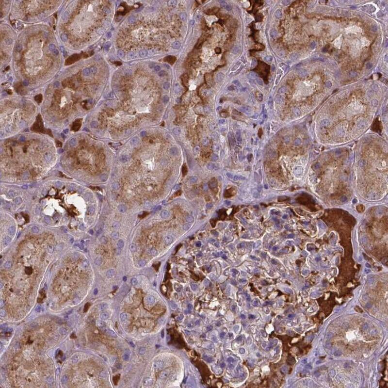
BTBD17 Antibody - BSA Free Immunohistochemistry: BTBD17 Antibody - BSA Free [NBP1-90749]

Immunohistochemistry: BTBD17 Antibody - BSA Free [NBP1-90749]

Staining of human kidney shows moderate cytoplasmic positivity in cells in tubules along with distinctly stained extracellular material.

Applications for BTBD17 Antibody - BSA Free

Application
Recommended Usage

Immunohistochemistry

1:500 - 1:1000

Immunohistochemistry-Paraffin

1:500 - 1:1000
Application Notes
For IHC-Paraffin, HIER pH 6 retrieval is recommended.

Formulation, Preparation, and Storage

Purification

Immunogen affinity purified

Formulation

PBS (pH 7.2) and 40% Glycerol

Format

BSA Free

Preservative

0.02% Sodium Azide

Concentration

Concentrations vary lot to lot. See vial label for concentration. If unlisted please contact technical services.

Shipping

The product is shipped with polar packs. Upon receipt, store it immediately at the temperature recommended below.

Stability & Storage

Store at 4C short term. Aliquot and store at -20C long term. Avoid freeze-thaw cycles.

Background: BTBD17

Alternate Names

BTB (POZ) domain containing 17, BTB/POZ and BACK domain-containing protein LOC388419, BTB/POZ domain-containing protein 17, BTBD17A, LGALS3BPL

Gene Symbol

BTBD17

Additional BTBD17 Products

Product Documents for BTBD17 Antibody - BSA Free

Certificate of Analysis

To download a Certificate of Analysis, please enter a lot number in the search box below.

Product Specific Notices for BTBD17 Antibody - BSA Free

This product is for research use only and is not approved for use in humans or in clinical diagnosis. Primary Antibodies are guaranteed for 1 year from date of receipt.

Loading...
Loading...
Loading...
Loading...