Skip to main content

BTBD16 Antibody - BSA Free

Novus Biologicals, part of Bio-Techne | Catalog # NBP3-47848

Novus Biologicals, part of Bio-Techne
Catalog #
Availability
Size / Price
Qty
Loading...
NBP3-47848

Key Product Details

Species Reactivity

Human, Mouse

Applications

ELISA, Immunohistochemistry, Western Blot

Label

Unconjugated

Antibody Source

Polyclonal Rabbit IgG

Format

BSA Free

Concentration

Please see the vial label for concentration. If unlisted please contact technical services.

Product Specifications

Immunogen

BTB(POZ) domain containing 16. (Uniprot# Q32M84)

Clonality

Polyclonal

Host

Rabbit

Isotype

IgG

Theoretical MW

60 kDa.
Disclaimer note: The observed molecular weight of the protein may vary from the listed predicted molecular weight due to post translational modifications, post translation cleavages, relative charges, and other experimental factors.

Description

Novus Biologicals Rabbit BTBD16 Antibody - BSA Free (NBP3-47848) is a polyclonal antibody validated for use in IHC, WB and ELISA. All Novus Biologicals antibodies are covered by our 100% guarantee.

Scientific Data Images for BTBD16 Antibody - BSA Free

BTBD16 Antibody - BSA Free

Western Blot: BTBD16 Antibody - BSA Free [NBP3-47848] -

Western Blot: BTBD16 Antibody - BSA Free [NBP3-47848] - Mouse testis tissue were subjected to SDS PAGE followed by western blot with (BTBD16 Antibody) at dilution of 1:300
BTBD16 Antibody - BSA Free

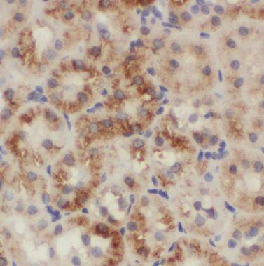
Immunohistochemistry: BTBD16 Antibody - BSA Free [NBP3-47848] -

Immunohistochemistry: BTBD16 Antibody - BSA Free [NBP3-47848] - Immunohistochemistry of paraffin-embedded human kidney tissue slide using (BTBD16 Antibody) at dilution of 1:50

Applications for BTBD16 Antibody - BSA Free

Application
Recommended Usage

Immunohistochemistry

1:20-1:200

Western Blot

1:500-1:2000

Formulation, Preparation, and Storage

Purification

Immunogen affinity purified

Formulation

PBS, 50% Glycerol, pH (7.3)

Format

BSA Free

Preservative

0.02% Sodium Azide

Concentration

Please see the vial label for concentration. If unlisted please contact technical services.

Shipping

The product is shipped with polar packs. Upon receipt, store it immediately at the temperature recommended below.

Stability & Storage

Store at -20C. Avoid freeze-thaw cycles.

Background: BTBD16

Alternate Names

BTBD16 BTB (POZ) domain containing 16, C10orf87

Gene Symbol

BTBD16

Additional BTBD16 Products

Product Documents for BTBD16 Antibody - BSA Free

Certificate of Analysis

To download a Certificate of Analysis, please enter a lot number in the search box below.

Product Specific Notices for BTBD16 Antibody - BSA Free

This product is for research use only and is not approved for use in humans or in clinical diagnosis. Primary Antibodies are guaranteed for 1 year from date of receipt.

Loading...
Loading...
Loading...
Loading...