Skip to main content

Bromodeoxyuridine/BrdU Antibody - BSA Free

Novus Biologicals, part of Bio-Techne | Catalog # NBP2-14890

Novus Biologicals, part of Bio-Techne
Catalog #
Availability
Size / Price
Qty
Loading...
NBP2-14890

Key Product Details

Validated by

Biological Validation

Species Reactivity

Validated:

All Species

Cited:

Mouse, Rat

Applications

Validated:

Immunohistochemistry, Immunohistochemistry-Paraffin, Immunohistochemistry-Frozen, Flow Cytometry, Immunocytochemistry/ Immunofluorescence

Cited:

Immunohistochemistry, Immunohistochemistry-Paraffin, Immunocytochemistry/ Immunofluorescence

Label

Unconjugated

Antibody Source

Polyclonal Rabbit IgG

Format

BSA Free

Concentration

Concentrations vary lot to lot. See vial label for concentration. If unlisted please contact technical services.

Product Specifications

Immunogen

The immunogen used to generate this antibody corresponds to Bromodeoxyuridine/BrdU

Marker

Proliferation Marker

Clonality

Polyclonal

Host

Rabbit

Isotype

IgG

Description

Novus Biologicals Rabbit Bromodeoxyuridine/BrdU Antibody - BSA Free (NBP2-14890) is a polyclonal antibody validated for use in IHC, Flow and ICC/IF. Anti-Bromodeoxyuridine/BrdU Antibody: Cited in 8 publications. All Novus Biologicals antibodies are covered by our 100% guarantee.

Scientific Data Images for Bromodeoxyuridine/BrdU Antibody - BSA Free

Immunocytochemistry/ Immunofluorescence: Bromodeoxyuridine/BrdU Antibody [NBP2-14890]

Immunocytochemistry/ Immunofluorescence: Bromodeoxyuridine/BrdU Antibody [NBP2-14890]

Immunocytochemistry/Immunofluorescence: Bromodeoxyuridine/BrdU Antibody [NBP2-14890] - HeLa cells mock (left) and treated with 50 uM BrdU for 24 hr (right) were fixed in 4% paraformaldehyde at RT for 15 min. Green: BrdU protein stained by BrdU antibody. Blue: Hoechst 33342 staining. Scale bar = 10 um
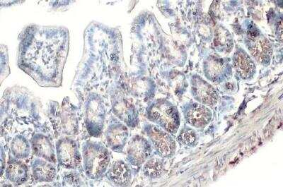
Immunohistochemistry-Paraffin: Bromodeoxyuridine/BrdU Antibody [NBP2-14890]

Immunohistochemistry-Paraffin: Bromodeoxyuridine/BrdU Antibody [NBP2-14890]

Immunohistochemistry-Paraffin: Bromodeoxyuridine/BrdU Antibody [NBP2-14890] - Mouse intestinal tissue pulsed with BrdU. BrdU stained by BrdU antibody diluted at 1:100. Antigen Retrieval: Citrate buffer, pH 6.0, 15 min
Flow Cytometry: Bromodeoxyuridine/BrdU Antibody [NBP2-14890]

Flow Cytometry: Bromodeoxyuridine/BrdU Antibody [NBP2-14890]

Flow Cytometry: Bromodeoxyuridine/BrdU Antibody [NBP2-14890] - BrdU antibody detects BrdU protein from HeLa treated with 10 uM BrdU for 30 minutes and fixed in 4% paraformaldehyde at 4C for 15 minutes by flow cytometry analysis.
Black: Unlabelled sample was used as a control.
Red: BrdU antibody
Acquisition of 20,000 events were collected using a Dylight 488-conjugated secondary antibody for FACS analysis.

Applications for Bromodeoxyuridine/BrdU Antibody - BSA Free

Application
Recommended Usage

Flow Cytometry

1:50-1:200

Immunocytochemistry/ Immunofluorescence

1:100-1:1000

Immunohistochemistry

1:100-1:1000

Immunohistochemistry-Frozen

Assay dependent

Immunohistochemistry-Paraffin

1:100-1:1000

Formulation, Preparation, and Storage

Purification

Antigen Affinity-purified

Formulation

PBS, 20% Glycerol

Format

BSA Free

Preservative

0.025% Proclin 300

Concentration

Concentrations vary lot to lot. See vial label for concentration. If unlisted please contact technical services.

Shipping

The product is shipped with polar packs. Upon receipt, store it immediately at the temperature recommended below.

Stability & Storage

Aliquot and store at -20C or -80C. Avoid freeze-thaw cycles.

Background: Bromodeoxyuridine/BrdU

Bromodeoxyuridine (BrdU) is a synthetic nucleoside analogue of thymidine which can be incorporated into DNA in proliferating cells. During mitosis, BrdU may be incorporated into the newly synthezised DNA of S-phase cells, and can therefore provide an estimate for the fraction of cells in S-phase. Labeling cells with BrdU and then screening with BrdU antibodies has become a powerful tool to study the cytokinetics of normal and neoplastic cells. In vivo, BrdU is considered a potential carcinogen, as its incorporation into DNA may cause mutations.

Alternate Names

5-bromo-2-deoxyuridine, BrdU

Additional Bromodeoxyuridine/BrdU Products

Product Documents for Bromodeoxyuridine/BrdU Antibody - BSA Free

Certificate of Analysis

To download a Certificate of Analysis, please enter a lot number in the search box below.

Product Specific Notices for Bromodeoxyuridine/BrdU Antibody - BSA Free

This product is for research use only and is not approved for use in humans or in clinical diagnosis. Primary Antibodies are guaranteed for 1 year from date of receipt.

Loading...
Loading...
Loading...
Loading...
Loading...
Loading...