Skip to main content

BRIC Antibody - BSA Free

Novus Biologicals, part of Bio-Techne | Catalog # NBP1-90068

Novus Biologicals, part of Bio-Techne
Catalog #
Availability
Size / Price
Qty
Loading...
NBP1-90068
NBP1-90068-25ul

Key Product Details

Validated by

Orthogonal Validation, Independent Antibodies

Species Reactivity

Human

Applications

Immunohistochemistry, Immunohistochemistry-Paraffin

Label

Unconjugated

Antibody Source

Polyclonal Rabbit IgG

Format

BSA Free

Concentration

Concentrations vary lot to lot. See vial label for concentration. If unlisted please contact technical services.

Product Specifications

Immunogen

This antibody was developed against Recombinant Protein corresponding to amino acids: TTFDEDSQPNDEVVPYSDDETEDELDDQGSAVEPEQNRVNREAEENREPFRKECTWQVKANDRKYHEQPHFMNTKFLCIKESKYANNAIKTYKYNAFTFIPMNLFEQF

Reactivity Notes

Immunogen displays the following percentage of sequence identity for non-tested species: Mouse (89%), Rat (88%)

Clonality

Polyclonal

Host

Rabbit

Isotype

IgG

Description

Novus Biologicals Rabbit BRIC Antibody - BSA Free (NBP1-90068) is a polyclonal antibody validated for use in IHC. All Novus Biologicals antibodies are covered by our 100% guarantee.

Scientific Data Images for BRIC Antibody - BSA Free

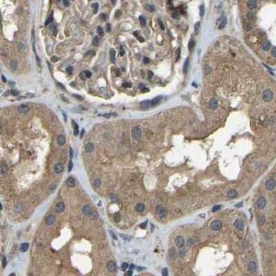
Immunohistochemistry-Paraffin: BRIC Antibody [NBP1-90068]

Immunohistochemistry-Paraffin: BRIC Antibody [NBP1-90068]

Immunohistochemistry-Paraffin: BRIC Antibody [NBP1-90068] - Staining of human cerebral cortex, kidney, liver and lymph node using Anti-ATP8B1 antibody NBP1-90068 (A) shows similar protein distribution across tissues to independent antibody NBP1-90067 (B).
BRIC Antibody - BSA Free Immunohistochemistry: BRIC Antibody - BSA Free [NBP1-90068]

Immunohistochemistry: BRIC Antibody - BSA Free [NBP1-90068]

Analysis in human rectum and lymph node tissues using Anti-ATP8B1 antibody. Corresponding ATP8B1 RNA-seq data are presented for the same tissues.
Immunohistochemistry-Paraffin: BRIC Antibody [NBP1-90068]

Immunohistochemistry-Paraffin: BRIC Antibody [NBP1-90068]

Immunohistochemistry-Paraffin: BRIC Antibody [NBP1-90068] - Staining of human rectum shows high expression.

Applications for BRIC Antibody - BSA Free

Application
Recommended Usage

Immunohistochemistry

1:20 - 1:50

Immunohistochemistry-Paraffin

1:20 - 1:50
Application Notes
For IHC-Paraffin, HIER pH 6 retrieval is recommended.

Formulation, Preparation, and Storage

Purification

Immunogen affinity purified

Formulation

PBS (pH 7.2) and 40% Glycerol

Format

BSA Free

Preservative

0.02% Sodium Azide

Concentration

Concentrations vary lot to lot. See vial label for concentration. If unlisted please contact technical services.

Shipping

The product is shipped with polar packs. Upon receipt, store it immediately at the temperature recommended below.

Stability & Storage

Store at 4C short term. Aliquot and store at -20C long term. Avoid freeze-thaw cycles.

Background: BRIC

BRIC encodes a member of the P-type cation transport ATPase family, which belongs to the subfamily of aminophospholipid-transporting ATPases. The aminophospholipid translocases transport phosphatidylserine and phosphatidylethanolamine from one side of a bilayer to another. Mutations in this gene may result in progressive familial intrahepatic cholestasis type 1 and in benign recurrent intrahepatic cholestasis. [provided by RefSeq]

Alternate Names

ATPase class I type 8B member 1, ATPase, aminophospholipid transporter, class I, type 8B, member 1, ATPase, class I, type 8B, member 1, ATPICPFIC1, BRIC, EC 3.6.3, EC 3.6.3.1, Familial intrahepatic cholestasis type 1, FIC1phospholipid-transporting ATPase IC, PFICE1-E2 ATPase, probable phospholipid-transporting ATPase IC

Gene Symbol

ATP8B1

Additional BRIC Products

Product Documents for BRIC Antibody - BSA Free

Certificate of Analysis

To download a Certificate of Analysis, please enter a lot number in the search box below.

Product Specific Notices for BRIC Antibody - BSA Free

This product is for research use only and is not approved for use in humans or in clinical diagnosis. Primary Antibodies are guaranteed for 1 year from date of receipt.

Loading...
Loading...
Loading...
Loading...