Skip to main content

BRD1 Antibody - BSA Free

Novus Biologicals, part of Bio-Techne | Catalog # NBP2-15611

Novus Biologicals, part of Bio-Techne
Catalog #
Availability
Size / Price
Qty
Loading...
NBP2-15611

Key Product Details

Species Reactivity

Validated:

Human

Predicted:

Mouse (96%), Rat (97%). Backed by our 100% Guarantee.

Applications

Immunohistochemistry, Immunohistochemistry-Paraffin, Western Blot

Label

Unconjugated

Antibody Source

Polyclonal Rabbit IgG

Format

BSA Free

Concentration

Concentrations vary lot to lot. See vial label for concentration. If unlisted please contact technical services.

Product Specifications

Immunogen

Recombinant protein encompassing a sequence within the center region of human BRD1. The exact sequence is proprietary.

Reactivity Notes

Chicken (86%).

Clonality

Polyclonal

Host

Rabbit

Isotype

IgG

Theoretical MW

120 kDa.
Disclaimer note: The observed molecular weight of the protein may vary from the listed predicted molecular weight due to post translational modifications, post translation cleavages, relative charges, and other experimental factors.

Description

Novus Biologicals Rabbit BRD1 Antibody - BSA Free (NBP2-15611) is a polyclonal antibody validated for use in IHC and WB. All Novus Biologicals antibodies are covered by our 100% guarantee.

Scientific Data Images for BRD1 Antibody - BSA Free

Western Blot: BRD1 Antibody [NBP2-15611]

Western Blot: BRD1 Antibody [NBP2-15611]

Western Blot: BRD1 Antibody [NBP2-15611] - Sample (30 ug of whole cell lysate) A: 293T 5% SDS PAGE gel, diluted at 1:500.
BRD1 Antibody

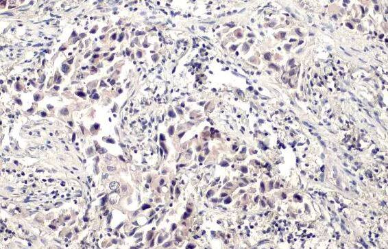
Immunohistochemistry-Paraffin-BRD1 Antibody [NBP2-15611] -

Immunohistochemistry-Paraffin-BRD1 Antibody [NBP2-15611] - Human lung cancer.BRD1 stained by BRD1 antibody [N2C1], Internal diluted at 1:500.Antigen Retrieval: Citrate buffer, pH 6.0, 15 min

Applications for BRD1 Antibody - BSA Free

Application
Recommended Usage

Immunohistochemistry

Assay dependent

Immunohistochemistry-Paraffin

Assay dependent

Western Blot

1:500-1:3000

Formulation, Preparation, and Storage

Purification

Antigen Affinity-purified

Formulation

0.1M Tris, 0.1M Glycine, 20% Glycerol

Format

BSA Free

Preservative

0.01% Thimerosal

Concentration

Concentrations vary lot to lot. See vial label for concentration. If unlisted please contact technical services.

Shipping

The product is shipped with polar packs. Upon receipt, store it immediately at the temperature recommended below.

Stability & Storage

Aliquot and store at -20C or -80C. Avoid freeze-thaw cycles.

Background: BRD1

This gene encodes a protein of unknown function. The protein contains a bromodomain, a sequence motif often found in transcriptional coactivators, and localizes to the nucleus in testis and several other cell types. [provided by RefSeq]

Long Name

Bromodomain-containing protein 1

Alternate Names

BR140-like protein, BRL, BRPF2

Gene Symbol

BRD1

UniProt

Additional BRD1 Products

Product Documents for BRD1 Antibody - BSA Free

Certificate of Analysis

To download a Certificate of Analysis, please enter a lot number in the search box below.

Product Specific Notices for BRD1 Antibody - BSA Free

This product is for research use only and is not approved for use in humans or in clinical diagnosis. Primary Antibodies are guaranteed for 1 year from date of receipt.

Loading...
Loading...
Loading...
Loading...

⚠ WARNING: This product can expose you to chemicals including mercury, which is known to the State of California to cause reproductive toxicity with developmental effects.  For more information go to www.P65Warnings.ca.gov.