Skip to main content

BPIL2 Antibody - BSA Free

Novus Biologicals, part of Bio-Techne | Catalog # NBP1-90753

Novus Biologicals, part of Bio-Techne
Catalog #
Availability
Size / Price
Qty
Loading...
NBP1-90753-25ul
NBP1-90753

Key Product Details

Species Reactivity

Human

Applications

Immunohistochemistry, Immunohistochemistry-Paraffin

Label

Unconjugated

Antibody Source

Polyclonal Rabbit IgG

Format

BSA Free

Concentration

Concentrations vary lot to lot. See vial label for concentration. If unlisted please contact technical services.

Product Specifications

Immunogen

This antibody was developed against Recombinant Protein corresponding to amino acids: NVLSRIAEIYILSQPFMVRIMATEPPIINLQPGNFTLDIPASIMMLTQPKNSTVETIVSMDFVASTSVGLVILGQRLVCSLSLNRFR

Clonality

Polyclonal

Host

Rabbit

Isotype

IgG

Scientific Data Images for BPIL2 Antibody - BSA Free

Immunohistochemistry-Paraffin: BPIL2 Antibody [NBP1-90753]

Immunohistochemistry-Paraffin: BPIL2 Antibody [NBP1-90753]

Immunohistochemistry-Paraffin: BPIL2 Antibody [NBP1-90753] - Staining of human pancreas shows strong cytoplasmic positivity in exocrine glandular cells.
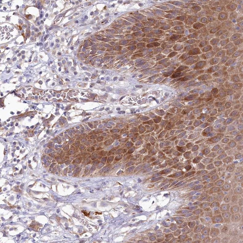
BPIL2 Antibody - BSA Free Immunohistochemistry: BPIL2 Antibody - BSA Free [NBP1-90753]

Immunohistochemistry: BPIL2 Antibody - BSA Free [NBP1-90753]

Staining of human skin shows cytoplasmic positivity in epidermal cells.

Applications for BPIL2 Antibody - BSA Free

Application
Recommended Usage

Immunohistochemistry

1:20 - 1:50

Immunohistochemistry-Paraffin

1:20 - 1:50
Application Notes
For IHC-Paraffin, HIER pH 6 retrieval is recommended. Immunocytochemistry/Immunofluorescence Fixation Permeabilization: Use PFA/Triton X-100.

Formulation, Preparation, and Storage

Purification

Affinity purified

Formulation

PBS (pH 7.2) and 40% Glycerol

Format

BSA Free

Preservative

0.02% Sodium Azide

Concentration

Concentrations vary lot to lot. See vial label for concentration. If unlisted please contact technical services.

Shipping

The product is shipped with polar packs. Upon receipt, store it immediately at the temperature recommended below.

Stability & Storage

Store at 4C short term. Aliquot and store at -20C long term. Avoid freeze-thaw cycles.

Background: BPIL2

Alternate Names

bactericidal/permeability-increasing protein-like 2, BPI fold containing family C, BPI fold-containing family C protein, BPI-like 2

Gene Symbol

BPIFC

Additional BPIL2 Products

Product Documents for BPIL2 Antibody - BSA Free

Certificate of Analysis

To download a Certificate of Analysis, please enter a lot number in the search box below.

Product Specific Notices for BPIL2 Antibody - BSA Free

This product is for research use only and is not approved for use in humans or in clinical diagnosis. Primary Antibodies are guaranteed for 1 year from date of receipt.

Loading...
Loading...
Loading...
Loading...