Skip to main content

BP1 Antibody (OTI8A1)

Novus Biologicals, part of Bio-Techne | Catalog # NBP2-46463

Novus Biologicals, part of Bio-Techne
Catalog #
Availability
Size / Price
Qty
Loading...
NBP2-46463

Key Product Details

Species Reactivity

Human

Applications

Immunohistochemistry, Immunohistochemistry-Paraffin, Western Blot

Label

Unconjugated

Antibody Source

Monoclonal Mouse IgG1 Clone # OTI8A1

Concentration

1 mg/ml

Product Specifications

Immunogen

Full length human recombinant protein of human DLX4(NP_612138) produced in E.coli.

Clonality

Monoclonal

Host

Mouse

Isotype

IgG1

Theoretical MW

26.1 kDa.
Disclaimer note: The observed molecular weight of the protein may vary from the listed predicted molecular weight due to post translational modifications, post translation cleavages, relative charges, and other experimental factors.

Description

Novus Biologicals Mouse BP1 Antibody (OTI8A1) (NBP2-46463) is a monoclonal antibody validated for use in IHC and WB. All Novus Biologicals antibodies are covered by our 100% guarantee.

Scientific Data Images for BP1 Antibody (OTI8A1)

Western Blot: BP1 Antibody (OTI8A1) [NBP2-46463]

Western Blot: BP1 Antibody (OTI8A1) [NBP2-46463]

Western Blot: BP1 Antibody (8A1) [NBP2-46463] - Analysis of HEK293T cells were transfected with the pCMV6-ENTRY control (Left lane) or pCMV6-ENTRY BP1.
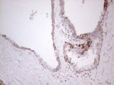
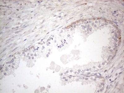
Immunohistochemistry: BP1 Antibody (OTI8A1) [NBP2-46463]

Immunohistochemistry: BP1 Antibody (OTI8A1) [NBP2-46463]

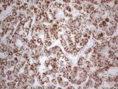
Immunohistochemistry: BP1 Antibody (8A1) [NBP2-46463] - Analysis of Carcinoma of Human prostate tissue. (Heat-induced epitope retrieval by 1mM EDTA in 10mM Tris buffer (pH8.5) at 120C for 3 min)
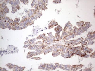
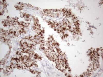
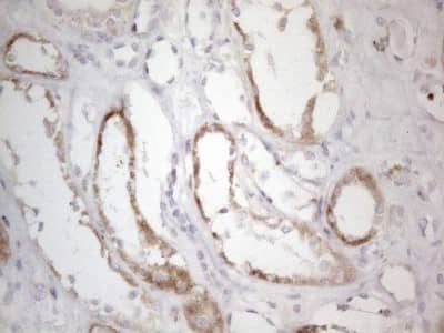
Immunohistochemistry: BP1 Antibody (OTI8A1) [NBP2-46463]

Immunohistochemistry: BP1 Antibody (OTI8A1) [NBP2-46463]

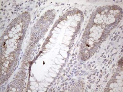
Immunohistochemistry: BP1 Antibody (8A1) [NBP2-46463] - Analysis of Human colon tissue. (Heat-induced epitope retrieval by 1mM EDTA in 10mM Tris buffer (pH8.5) at 120C for 3 min)

Applications for BP1 Antibody (OTI8A1)

Application
Recommended Usage

Immunohistochemistry

1:150

Western Blot

1:2000

Formulation, Preparation, and Storage

Purification

Immunogen affinity purified

Formulation

PBS (pH 7.3), 1.0% BSA and 50% Glycerol

Preservative

0.02% Sodium Azide

Concentration

1 mg/ml

Shipping

The product is shipped with polar packs. Upon receipt, store it immediately at the temperature recommended below.

Stability & Storage

Store at -20C. Avoid freeze-thaw cycles.

Background: BP1

BP1 (beta protein 1) is a homeodomain-containing isoform of DLX4. Strong BP1 expression is seen in placenta and kidney tissue, with no expression found in any other tissue.

BP1 has been shown to be activated in 80% of invasive ductal breast tumors and is associated with breast cancer progression. BP1 is also expressed in the bone marrows of 63% of acute myeloid leukemia (AML) patients. In addition, BP1 plays a role in globin gene regulation by repressing the beta-globin gene. Therefore, BP1 antibodies are useful tools for various cancer studies.

Alternate Names

Beta protein 1, BP1distal-less homeo box 7, distal-less homeobox 4, DLX7distal-less homeo box 9, DLX8DLX9, homeobox protein DLX-4, Homeobox protein DLX-7, Homeobox protein DLX-8

Gene Symbol

DLX4

Additional BP1 Products

Product Documents for BP1 Antibody (OTI8A1)

Certificate of Analysis

To download a Certificate of Analysis, please enter a lot number in the search box below.

Product Specific Notices for BP1 Antibody (OTI8A1)

This product is for research use only and is not approved for use in humans or in clinical diagnosis. Primary Antibodies are guaranteed for 1 year from date of receipt.

Loading...
Loading...
Loading...
Loading...