Skip to main content

Borealin Antibody (OTI4G3) - Azide and BSA Free

Novus Biologicals, part of Bio-Techne | Catalog # NBP2-71988

Novus Biologicals, part of Bio-Techne

Key Product Details

Species Reactivity

Human

Applications

Immunohistochemistry, Immunohistochemistry-Paraffin, Western Blot

Label

Unconjugated

Antibody Source

Monoclonal Mouse IgG1 Clone # OTI4G3

Format

Azide and BSA Free

Concentration

LYOPH mg/ml

Product Specifications

Immunogen

Full length human recombinant protein of human CDCA8 (NP_060571) produced in E.coli.

Clonality

Monoclonal

Host

Mouse

Isotype

IgG1

Description

Novus Biologicals Mouse Borealin Antibody (OTI4G3) - Azide and BSA Free (NBP2-46199) is a monoclonal antibody validated for use in IHC and WB. All Novus Biologicals antibodies are covered by our 100% guarantee.

Scientific Data Images for Borealin Antibody (OTI4G3) - Azide and BSA Free

Western Blot: Borealin Antibody (OTI4G3)Azide and BSA Free [NBP2-71988]

Western Blot: Borealin Antibody (OTI4G3)Azide and BSA Free [NBP2-71988]

Western Blot: Borealin Antibody (OTI4G3) - Azide and BSA Free [NBP2-71988] - Analysis of HEK293T cells were transfected with the pCMV6-ENTRY control (Left lane) or pCMV6-ENTRY Borealin.
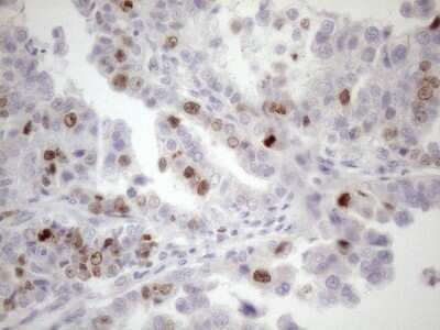
Immunohistochemistry: Borealin Antibody (OTI4G3) - Azide and BSA Free [NBP2-71988]

Immunohistochemistry: Borealin Antibody (OTI4G3) - Azide and BSA Free [NBP2-71988]

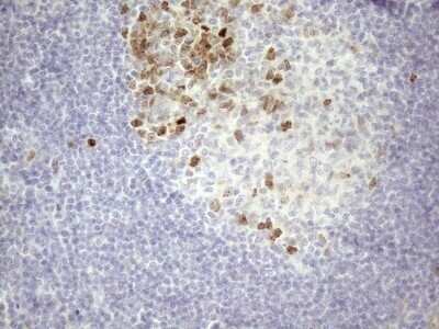
Immunohistochemistry: Borealin Antibody (OTI4G3) - Azide and BSA Free [NBP2-71988] - Analysis of Human lymphoma tissue. (Heat-induced epitope retrieval by 1mM EDTA in 10mM Tris buffer (pH8.5) at 120C for 3 min)
Immunohistochemistry: Borealin Antibody (OTI4G3) - Azide and BSA Free [NBP2-71988]

Immunohistochemistry: Borealin Antibody (OTI4G3) - Azide and BSA Free [NBP2-71988]

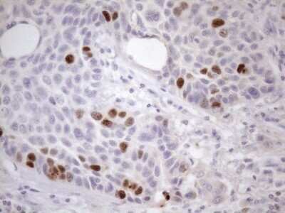
Immunohistochemistry: Borealin Antibody (OTI4G3) - Azide and BSA Free [NBP2-71988] - Analysis of Adenocarcinoma of Human colon tissue. (Heat-induced epitope retrieval by 1mM EDTA in 10mM Tris buffer (pH8.5) at 120C for 3 min)

Applications for Borealin Antibody (OTI4G3) - Azide and BSA Free

Application
Recommended Usage

Immunohistochemistry

1:150

Western Blot

1:2000

Formulation, Preparation, and Storage

Purification

Immunogen affinity purified

Reconstitution

we recommend adding 100uL distilled water to a final antibody concentration of about 1 mg/mL. To use this carrier-free antibody for conjugation experiment, we strongly recommend performing another round of desalting process.

Formulation

Lyophilized from PBS (pH 7.3) with 8% Trehalose

Format

Azide and BSA Free

Preservative

No Preservative

Concentration

LYOPH mg/ml

Shipping

The product is shipped with polar packs. Upon receipt, store it immediately at the temperature recommended below.

Stability & Storage

Store at -20C. Avoid freeze-thaw cycles.

Background: Borealin

Borealin (CDCA8) is a component of the chromosomal passenger complex (CPC), which is required for stability of the bipolar mitotic spindle and acts as a key regulator of mitosis. The CPC complex has essential functions at the centromere in ensuring correct chromosome alignment and segregation and is required for chromatin-induced microtubule stabilization and spindle assembly. In the complex, it may be required to direct the CPC to centromeric DNA.

Borealin has been shown to interact with Aurora B and survivin (BIRC5). Knockdown of Borealin by small interfering RNA resulted in severe chromosome misalignment at metaphase and accumulation of multiple interphase nuclei. Borealin is also related to the proliferation of human embryonic stem (hES) cells and is highly expressed in mouse undifferentiated ES cells.
Borealin antibodies are useful tools for stem cell studies and cell division research.

Alternate Names

BOR, BOREALIN, cell division cycle associated 8, Cell division cycle-associated protein 8, Dasra B, DasraB, dasra-B, FLJ10468, FLJ12042, hDasra-B, MESRGP, PESCRG3, Pluripotent embryonic stem cell-related gene 3 protein

Gene Symbol

CDCA8

Additional Borealin Products

Product Documents for Borealin Antibody (OTI4G3) - Azide and BSA Free

Certificate of Analysis

To download a Certificate of Analysis, please enter a lot number in the search box below.

Product Specific Notices for Borealin Antibody (OTI4G3) - Azide and BSA Free

This product is for research use only and is not approved for use in humans or in clinical diagnosis. Primary Antibodies are guaranteed for 1 year from date of receipt.

Loading...
Loading...
Loading...
Loading...
Loading...