BOD1L Antibody - BSA Free
Novus Biologicals, part of Bio-Techne | Catalog # NBP2-34069
Key Product Details
Species Reactivity
Human
Applications
Immunohistochemistry, Immunohistochemistry-Paraffin, Immunocytochemistry/ Immunofluorescence
Label
Unconjugated
Antibody Source
Polyclonal Rabbit IgG
Format
BSA Free
Concentration
Concentrations vary lot to lot. See vial label for concentration. If unlisted please contact technical services.
Product Specifications
Immunogen
This antibody was developed against a recombinant protein corresponding to amino acids: KSEDTQKVKDEKQAKEKEVESLKLPSEKNSNKAKTVEGTKEDFSLIDSDVDGLTDITVSSVHTSDLSSFEEDTEEEVVT
Reactivity Notes
Immunogen displays the following percentage of sequence identity for non-tested species: Mouse (81%), Rat (80%)
Clonality
Polyclonal
Host
Rabbit
Isotype
IgG
Description
Novus Biologicals Rabbit BOD1L Antibody - BSA Free (NBP2-34069) is a polyclonal antibody validated for use in IHC and ICC/IF. All Novus Biologicals antibodies are covered by our 100% guarantee.
Scientific Data Images for BOD1L Antibody - BSA Free
Immunocytochemistry/ Immunofluorescence: BOD1L Antibody [NBP2-34069]
Immunocytochemistry/Immunofluorescence: BOD1L Antibody [NBP2-34069] - Immunofluorescent staining of human cell line U-2 OS shows localization to nucleoplasm.Immunohistochemistry: BOD1L Antibody [NBP2-34069]
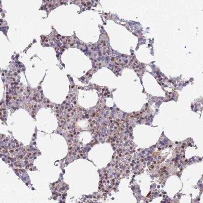
Immunohistochemistry: BOD1L Antibody [NBP2-34069] - Immunohistochemical staining of human bone marrow shows nuclear positivity in hematopoietic cells.Applications for BOD1L Antibody - BSA Free
Application
Recommended Usage
Immunocytochemistry/ Immunofluorescence
0.25-2 ug/ml
Immunohistochemistry
1:20 - 1:50
Immunohistochemistry-Paraffin
1:20 - 1:50
Application Notes
For IHC-Paraffin, HIER pH 6 retrieval is recommended. Immunocytochemistry/Immunofluorescence Fixation Permeabilization: Use PFA/Triton X-100.
Formulation, Preparation, and Storage
Purification
Affinity purified
Formulation
PBS (pH 7.2) and 40% Glycerol
Format
BSA Free
Preservative
0.02% Sodium Azide
Concentration
Concentrations vary lot to lot. See vial label for concentration. If unlisted please contact technical services.
Shipping
The product is shipped with polar packs. Upon receipt, store it immediately at the temperature recommended below.
Stability & Storage
Store at 4C short term. Aliquot and store at -20C long term. Avoid freeze-thaw cycles.
Background: BOD1L
Alternate Names
biorientation of chromosomes in cell division 1-like, FAM44A, family with sequence similarity 44, member A, FLJ33215, KIAA1327biorientation of chromosomes in cell division protein 1-like, Protein FAM44A
Gene Symbol
BOD1L1
UniProt
Additional BOD1L Products
Product Documents for BOD1L Antibody - BSA Free
Product Specific Notices for BOD1L Antibody - BSA Free
This product is for research use only and is not approved for use in humans or in clinical diagnosis. Primary Antibodies are guaranteed for 1 year from date of receipt.
Loading...
Loading...
Loading...
Loading...