Skip to main content

BOB1 Antibody (4A5) - BSA Free

Novus Biologicals, part of Bio-Techne | Catalog # NBP3-26373

Recombinant monoclonal antibody expressed in HEK293F cells
Novus Biologicals, part of Bio-Techne
Catalog #
Availability
Size / Price
Qty
Loading...
NBP3-26373-100ul
NBP3-26373-50ul

Key Product Details

Species Reactivity

Human

Applications

ELISA, Immunohistochemistry, Multiplex Immunofluorescence, Western Blot

Label

Unconjugated

Antibody Source

Recombinant Monoclonal Rabbit IgG Clone # 4A5 expressed in HEK293

Format

BSA Free

Concentration

Please see the vial label for concentration. If unlisted please contact technical services.

Product Specifications

Immunogen

A synthesized peptide derived from Human BOB1 [UniProt Q16633]

Clonality

Monoclonal

Host

Rabbit

Isotype

IgG

Description

Novus Biologicals Rabbit BOB1 Antibody (4A5) - BSA Free (NBP3-26373) is a recombinant monoclonal antibody validated for use in Multiplex Immunofluorescence, IHC, WB and ELISA. All Novus Biologicals antibodies are covered by our 100% guarantee.

Scientific Data Images for BOB1 Antibody (4A5) - BSA Free

Detection of BOB1/POU2AF1 in Human Tonsil via seqIF™ staining on COMET™

Detection of BOB1/POU2AF1 in Human Tonsil via seqIF™ staining on COMET™

BOB1/POU2AF1 was detected in immersion fixed paraffin-embedded sections of human Tonsil using Rabbit Anti-Human , Monoclonal Antibody (Catalog # NBP3-26373) at 1:100 dilution at 37 ° Celsius for 4 minutes. Before incubation with the primary antibody, tissue underwent an all-in-one dewaxing and antigen retrieval preprocessing using PreTreatment Module (PT Module) and Dewax and HIER Buffer H (pH 9; Epredia Catalog # TA-999-DHBH). Tissue was stained using the Alexa Fluor™ Plus 647 Goat anti-Rabbit IgG Secondary Antibody at 1:200 at 37 ° Celsius for 2 minutes. (Yellow; Lunaphore Catalog # DR647RB) and counterstained with DAPI (blue; Lunaphore Catalog # DR100). Specific staining was localized to the cell membrane. Protocol available in COMET™ Panel Builder.
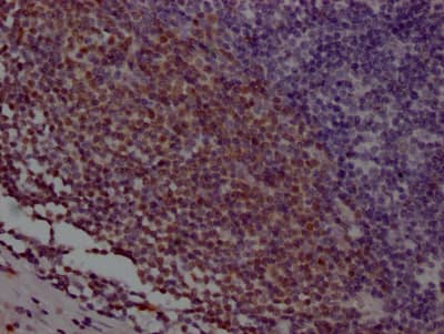
BOB1 Antibody (4A5)

Immunohistochemistry: BOB1 Antibody (4A5) [NBP3-26373] -

Immunohistochemistry: BOB1 Antibody (4A5) [NBP3-26373] - Image of BOB1 Antibody (4A5) diluted at 1:100 and staining in paraffin-embedded human tonsil tissue performed. After dewaxing and hydration, antigen retrieval was mediated by high pressure in a citrate buffer (pH 6.0). Section was blocked with 10% normal goat serum 30min at RT. Then primary antibody (1% BSA) was incubated at 4C overnight. The primary is detected by a Goat anti-rabbit IgG polymer labeled by HRP and visualized using 0.05% DAB.
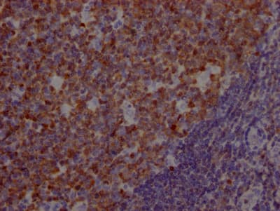
BOB1 Antibody (4A5)

Immunohistochemistry: BOB1 Antibody (4A5) [NBP3-26373] -

Immunohistochemistry: BOB1 Antibody (4A5) [NBP3-26373] - Image of BOB1 Antibody (4A5) diluted at 1:100 and staining in paraffin-embedded human tonsil tissue performed. After dewaxing and hydration, antigen retrieval was mediated by high pressure in a citrate buffer (pH 6.0). Section was blocked with 10% normal goat serum 30min at RT. Then primary antibody (1% BSA) was incubated at 4C overnight. The primary is detected by a Goat anti-rabbit IgG polymer labeled by HRP and visualized using 0.05% DAB.

Applications for BOB1 Antibody (4A5) - BSA Free

Application
Recommended Usage

Immunohistochemistry

1:50-1:200

Multiplex Immunofluorescence

1:100

Western Blot

1:500-1:5000

Formulation, Preparation, and Storage

Purification

Affinity purified

Formulation

PBS, pH 7.4, 150mM NaCl, and 50% glycerol

Format

BSA Free

Preservative

0.02% Sodium Azide

Concentration

Please see the vial label for concentration. If unlisted please contact technical services.

Shipping

The product is shipped with polar packs. Upon receipt, store it immediately at the temperature recommended below.

Stability & Storage

Store at -20 to -70C. Avoid freeze-thaw cycles.

Background: BOB1

BOB1 is a novel 35kDa protein designated Bob1 (B cell Oct binding protein 1) is a lymphocyte specific transcription co activator protein. B cell specific transcription is mediated by octamer motifs found in immunoglobulin heavy and light chain gene promoters and in some immunoglobulin enhancers. These sites are bound by the B cell specific Oct1 and Oct2 transcription factors, and the B cell restricted co activator BOB.1/OBF.1. This protein interacts only with the Oct1/2 proteins through sub domains in the POU domain of the Oct1/2 proteins, enhancing their transcriptional efficacy. Although having no intrinsic capacity for DNA binding, Bob1 associates tightly with the octomer motif in the presence of Oct1 and Oct2. Bob1 is expressed at highest levels in spleen and peripheral blood leukocytes.

Alternate Names

B-cell-specific coactivator OBF-1, BOB-1, OBF-1, OBF1BOB1, OCAB, OCA-B, OCT-binding factor 1, POU class 2 associating factor 1, POU domain class 2, associating factor 1, POU domain class 2-associating factor 1, POU domain, class 2, associating factor 1

Gene Symbol

POU2AF1

Additional BOB1 Products

Product Documents for BOB1 Antibody (4A5) - BSA Free

Certificate of Analysis

To download a Certificate of Analysis, please enter a lot number in the search box below.

Product Specific Notices for BOB1 Antibody (4A5) - BSA Free

This product is for research use only and is not approved for use in humans or in clinical diagnosis. Primary Antibodies are guaranteed for 1 year from date of receipt.

Loading...
Loading...
Loading...
Loading...