Skip to main content

BMP-3 Antibody (C2) - BSA Free

Novus Biologicals, part of Bio-Techne | Catalog # NBP3-42205

Novus Biologicals, part of Bio-Techne
Catalog #
Availability
Size / Price
Qty
Loading...
NBP3-42205

Key Product Details

Species Reactivity

Bovine

Applications

Immunohistochemistry, Immunohistochemistry-Paraffin

Label

Unconjugated

Antibody Source

Monoclonal Mouse IgG1 kappa Clone # C2

Format

BSA Free

Concentration

1 mg/ml

Product Specifications

Immunogen

Immunized with recombinant Bovine BMP-3 (Uniprot#: P22444; Lys313-Ser471 (Uniprot#: P22444)

Clonality

Monoclonal

Host

Mouse

Isotype

IgG1 kappa

Description

Novus Biologicals Mouse BMP-3 Antibody (C2) - BSA Free (NBP3-42205) is a monoclonal antibody validated for use in IHC. All Novus Biologicals antibodies are covered by our 100% guarantee.

Scientific Data Images for BMP-3 Antibody (C2) - BSA Free

BMP-3 Antibody (C2)

Immunohistochemistry-Paraffin: BMP-3 Antibody (C2) [NBP3-42205] -

Immunohistochemistry-Paraffin: BMP-3 Antibody (C2) [NBP3-42205] - DAB staining on IHC-P; Samples: Bovine Kidney Tissue; Primary Ab: 30ug/ml NBP3-42205; Second Ab: 2ug/mL HRP-Linked Caprine Anti-Mouse IgG Polyclonal Antibody
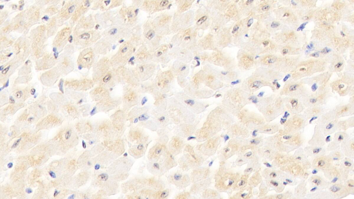
BMP-3 Antibody (C2)

Immunohistochemistry-Paraffin: BMP-3 Antibody (C2) [NBP3-42205] -

Immunohistochemistry-Paraffin: BMP-3 Antibody (C2) [NBP3-42205] - DAB staining on IHC-P; Samples: Bovine Cardiac Muscle Tissue; Primary Ab: 30ug/ml NBP3-42205; Second Ab: 2ug/mL HRP-Linked Caprine Anti-Mouse IgG Polyclonal Antibody

Applications for BMP-3 Antibody (C2) - BSA Free

Application
Recommended Usage

Immunohistochemistry

5-20ug/mL

Immunohistochemistry-Paraffin

5-20ug/mL

Formulation, Preparation, and Storage

Purification

Protein A or G purified

Formulation

0.01M PBS, pH7.4, 50% glycerol

Format

BSA Free

Preservative

0.05% Proclin 300

Concentration

1 mg/ml

Shipping

The product is shipped with polar packs. Upon receipt, store it immediately at the temperature recommended below.

Stability & Storage

Store at 4C short term. Aliquot and store at -20C long term. Avoid freeze-thaw cycles.

Background: BMP-3

Bone morphogenetic protein 3 (BMP3) is a 472 amino acid member of the bone morphogenetic protein (BMP) family. BMP3 negatively regulates bone density and is a member of the TGF beta superfamily. It is highly expressed in fracture tissue, predominantly in osteoblasts, osteoclasts and chondroblasts. It may play a role in otosclerosis, osteosarcoma, osteogenesis imperfecta, osteomalacia and periodontitis.

Long Name

Bone Morphogenetic Protein 3

Alternate Names

BMP3, Osteogenin

Gene Symbol

BMP3

Additional BMP-3 Products

Product Documents for BMP-3 Antibody (C2) - BSA Free

Certificate of Analysis

To download a Certificate of Analysis, please enter a lot number in the search box below.

Product Specific Notices for BMP-3 Antibody (C2) - BSA Free

This product is for research use only and is not approved for use in humans or in clinical diagnosis. Primary Antibodies are guaranteed for 1 year from date of receipt.

Loading...
Loading...
Loading...
Loading...