Skip to main content

BIRC6 Antibody

Novus Biologicals, part of Bio-Techne | Catalog # NB110-40730

Novus Biologicals, part of Bio-Techne
Catalog #
Availability
Size / Price
Qty
Loading...
NB110-40730

Key Product Details

Validated by

Biological Validation

Species Reactivity

Validated:

Human

Cited:

Human

Predicted:

Chimpanzee (100%), Monkey (100%), Orangutan (100%). Backed by our 100% Guarantee.

Applications

Validated:

Immunohistochemistry, Immunohistochemistry-Paraffin, Western Blot

Cited:

Immunohistochemistry-Paraffin, Western Blot, IF/IHC

Label

Unconjugated

Antibody Source

Polyclonal Rabbit IgG

Concentration

0.05 mg/ml

Product Specifications

Immunogen

The immunogen recognized by this antibody maps to a region between residues 4775 and the C-terminus (residue 4829) of human Baculoviral IAP repeat-containing protein 6 using the numbering given in Swiss-Prot entry Q9NR09 (GeneID 57448).

Reactivity Notes

Crab-eating macaque and White-tufted-ear marmoset (100%).

Clonality

Polyclonal

Host

Rabbit

Isotype

IgG

Description

Novus Biologicals Rabbit BIRC6 Antibody (NB110-40730) is a polyclonal antibody validated for use in IHC and WB. Anti-BIRC6 Antibody: Cited in 5 publications. All Novus Biologicals antibodies are covered by our 100% guarantee.

Scientific Data Images for BIRC6 Antibody

Western Blot: BIRC6 Antibody [NB110-40730]

Western Blot: BIRC6 Antibody [NB110-40730]

BIRC6-Antibody-Western-Blot-NB110-40730-img0006.jpg
Immunohistochemistry: BIRC6 Antibody [NB110-40730]

Immunohistochemistry: BIRC6 Antibody [NB110-40730]

BIRC6-Antibody-Immunohistochemistry-NB110-40730-img0005.jpg
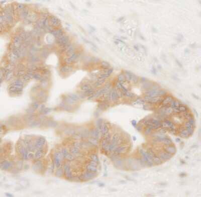
Immunohistochemistry-Paraffin: BIRC6 Antibody [NB110-40730]

Immunohistochemistry-Paraffin: BIRC6 Antibody [NB110-40730]

Immunohistochemistry-Paraffin: BIRC6 Antibody [NB110-40730] - FFPE section of human metastatic lymph node. Antibody: Affinity purified rabbitanti-BIRC6/Apollon used at a dilution of 1:250. Detection: DAB

Applications for BIRC6 Antibody

Application
Recommended Usage

Immunohistochemistry

1:100-1:500

Immunohistochemistry-Paraffin

1:100-1:500

Western Blot

1:100-1:2000
Application Notes
Western Blot was reported in scientific literature (PMID: 25071009). Epitope exposure with citrate buffer will enhance staining. Likely to work with frozen sections.

Formulation, Preparation, and Storage

Purification

Immunogen affinity purified

Formulation

TBS and 0.1% BSA

Preservative

0.09% Sodium Azide

Concentration

0.05 mg/ml

Shipping

The product is shipped with polar packs. Upon receipt, store it immediately at the temperature recommended below.

Stability & Storage

Store at 4C. Do not freeze.

Background: BIRC6

BIRC6 is a member of a family of proteins that inhibit apoptosis, likely through interference with activation of ICE-like proteases. BIRC6 which contains a single BIR domain and a ubiquitin-conjugating enzyme domain, is expressed in multiple cancer cell lines. Brain cancer cell lines that overexpress BIRC6 demonstrate multi-drug resistanceimplying that BIRC6 may protect cancer cells from undergoing apoptosis and participate in tumorigenesis and drug resistance.

Long Name

Baculoviral IAP repeat-containing protein 6

Alternate Names

APOLLON, BRUCE, EC 2.3.2.27, KIAA1289

Entrez Gene IDs

57448 (Human)

Gene Symbol

BIRC6

UniProt

Additional BIRC6 Products

Product Documents for BIRC6 Antibody

Certificate of Analysis

To download a Certificate of Analysis, please enter a lot number in the search box below.

Product Specific Notices for BIRC6 Antibody

This product is for research use only and is not approved for use in humans or in clinical diagnosis. Primary Antibodies are guaranteed for 1 year from date of receipt.

Loading...
Loading...
Loading...
Loading...