Skip to main content

BIN2 Antibody - BSA Free

Novus Biologicals, part of Bio-Techne | Catalog # NBP3-47858

Novus Biologicals, part of Bio-Techne
Catalog #
Availability
Size / Price
Qty
Loading...
NBP3-47858

Key Product Details

Species Reactivity

Human

Applications

Immunohistochemistry, Western Blot, ELISA

Label

Unconjugated

Antibody Source

Polyclonal Rabbit IgG

Format

BSA Free

Concentration

Please see the vial label for concentration. If unlisted please contact technical services.

Product Specifications

Immunogen

bridging integrator 2. (Uniprot# Q9UBW5)

Clonality

Polyclonal

Host

Rabbit

Isotype

IgG

Description

Novus Biologicals Rabbit BIN2 Antibody - BSA Free (NBP3-47858) is a polyclonal antibody validated for use in IHC, WB and ELISA. All Novus Biologicals antibodies are covered by our 100% guarantee.

Scientific Data Images for BIN2 Antibody - BSA Free

BIN2 Antibody - BSA Free

Western Blot: BIN2 Antibody - BSA Free [NBP3-47858] -

Western Blot: BIN2 Antibody - BSA Free [NBP3-47858] - U-937 cells were subjected to SDS PAGE followed by western blot with (BIN2 Antibody) at dilution of 1:600
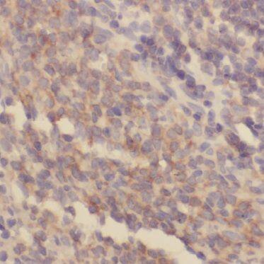
BIN2 Antibody - BSA Free

Immunohistochemistry: BIN2 Antibody - BSA Free [NBP3-47858] -

Immunohistochemistry: BIN2 Antibody - BSA Free [NBP3-47858] - Immunohistochemistry of paraffin-embedded human spleen using (BIN2 antibody) at dilution of 1:100

Applications for BIN2 Antibody - BSA Free

Application
Recommended Usage

Immunohistochemistry

1:20-1:200

Western Blot

1:500-1:2000
Application Notes
Theoretical Molecular Weight is 80-90 kDa

Formulation, Preparation, and Storage

Purification

Immunogen affinity purified

Formulation

PBS, 50% Glycerol, pH (7.3)

Format

BSA Free

Preservative

0.02% Sodium Azide

Concentration

Please see the vial label for concentration. If unlisted please contact technical services.

Shipping

The product is shipped with polar packs. Upon receipt, store it immediately at the temperature recommended below.

Stability & Storage

Store at -20C. Avoid freeze-thaw cycles.

Background: BIN2

Alternate Names

BRAP1, BRAP-1, breast cancer associated protein BRAP1, Breast cancer-associated protein 1, bridging integrator 2, bridging integrator-2

Gene Symbol

BIN2

Additional BIN2 Products

Product Documents for BIN2 Antibody - BSA Free

Certificate of Analysis

To download a Certificate of Analysis, please enter a lot number in the search box below.

Product Specific Notices for BIN2 Antibody - BSA Free

This product is for research use only and is not approved for use in humans or in clinical diagnosis. Primary Antibodies are guaranteed for 1 year from date of receipt.

Loading...
Loading...
Loading...
Loading...