Skip to main content

Bim Antibody

Novus Biologicals, part of Bio-Techne | Catalog # NBP2-53088

Novus Biologicals, part of Bio-Techne
Catalog #
Availability
Size / Price
Qty
Loading...
NBP2-53088SS
NBP2-53088

Key Product Details

Species Reactivity

Human, Mouse

Applications

Immunohistochemistry, Immunohistochemistry-Paraffin, Western Blot, Immunocytochemistry/ Immunofluorescence

Label

Unconjugated

Antibody Source

Polyclonal Rabbit IgG

Concentration

0.6 mg/ml

Product Specifications

Immunogen

Partial recombinant human Bim protein (amino acids 2-120) UniProt O43521]

Clonality

Polyclonal

Host

Rabbit

Isotype

IgG

Description

Novus Biologicals Rabbit Bim Antibody (NBP2-53088) is a polyclonal antibody validated for use in IHC, WB and ICC/IF. All Novus Biologicals antibodies are covered by our 100% guarantee.

Scientific Data Images for Bim Antibody

Western Blot: Bim Antibody [NBP2-53088]

Western Blot: Bim Antibody [NBP2-53088]

Western Blot: Bim Antibody [NBP2-53088] - Total protein from human K562, HeLa, A549, HepG2 cells and mouse Raw264.7 cells was separated on a 12% gel by SDS-PAGE, transferred to PVDF membrane and blocked in 5% non-fat milk in TBST. The membrane was probed with 2.0 ug/ml anti-Bim/BCL2L11 in 1% non-fat milk in TBST and detected with an anti-rabbit HRP secondary antibody using chemiluminescence.
Immunocytochemistry/ Immunofluorescence: Bim Antibody [NBP2-53088]

Immunocytochemistry/ Immunofluorescence: Bim Antibody [NBP2-53088]

Immunocytochemistry/Immunofluorescence: Bim Antibody [NBP2-53088] - HepG2 cells were fixed for 10 minutes using 10% formalin and then permeabilized for 5 minutes using 1X TBS + 0.5% Triton-X100. The cells were incubated with anti-Bim at a 1:50 dilution overnight at 4C and detected with an anti-rabbit Dylight 488 (Green) at a 1:500 dilution. Alpha tubulin (DM1A) [NB100-690] was used as a co-stain at a 1:1000 dilution and detected with an anti-mouse Dylight 550 (Red) at a 1:500 dilution. Nuclei were counterstained with DAPI (Blue). Cells were imaged using a 40X objective.
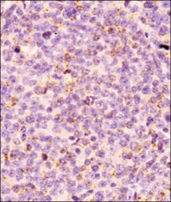
Immunohistochemistry-Paraffin: Bim Antibody [NBP2-53088]

Immunohistochemistry-Paraffin: Bim Antibody [NBP2-53088]

Immunohistochemistry-Paraffin: Bim Antibody [NBP2-53088] - IHC analysis of a formalin fixed and paraffin embedded tissue section of human endometrial cancer xenograft using Bim antibody at 1:50 dilution. The signal was detected using HRP labeled secondary antibody and DAB staining method which followed counter-staining with hematoxylin. The antibody generated a specific cytoplasmic staining with punctate appearance, signifying Bim/Bcl2L11 presence on mitochondria.

Applications for Bim Antibody

Application
Recommended Usage

Immunocytochemistry/ Immunofluorescence

10-20 ug/ml

Immunohistochemistry

1:50 - 1:100

Immunohistochemistry-Paraffin

1:50 - 1:100

Western Blot

2.0 ug/ml

Formulation, Preparation, and Storage

Purification

Immunogen affinity purified

Formulation

PBS with 1% BSA

Preservative

0.02% Sodium Azide

Concentration

0.6 mg/ml

Shipping

The product is shipped with polar packs. Upon receipt, store it immediately at the temperature recommended below.

Stability & Storage

Store at 4C short term. Aliquot and store at -20C long term. Avoid freeze-thaw cycles.

Background: Bim

Bim (bcl-2-interacting mediator of cell death) is a proapoptotic member of the Bcl-2 family that shares only the BH3 domain with this family. There are three isoforms of Bim: BimEL, BimL, and BimS. Bim is involved in regulating the intrinsic mitochondrial apoptotic pathway by inducing cytochrome c release, which in turn, activates caspase-9 and then caspase-3. Bim also plays a critical role in central and peripheral deletion of T lymphocytes and in controlling B cell homeostasis and activation. BimEL, the long isoform of Bim, is a ~28 kDa protein that is predominantly expressed in T and B cells and is activated by ERK1/2 pathway. The activation of BimEL by ERK1/2 promotes its phosphorylation on serine 65 (serine 69 in human), targeting it for degradation via the proteasome.

Alternate Names

BAM, bcl-2 interacting mediator of cell death, bcl-2 interacting protein Bim, Bcl2-interacting mediator of cell death, Bcl2-L-11, BCL2-like 11 (apoptosis facilitator), bcl-2-like protein 11, bcl-2-related ovarian death agonist, BIM-alpha6, BIM-beta6, BIM-beta7, BIMBOD, BimEL, BimL

Gene Symbol

BCL2L11

UniProt

Additional Bim Products

Product Documents for Bim Antibody

Certificate of Analysis

To download a Certificate of Analysis, please enter a lot number in the search box below.

Product Specific Notices for Bim Antibody

This product is for research use only and is not approved for use in humans or in clinical diagnosis. Primary Antibodies are guaranteed for 1 year from date of receipt.

Loading...
Loading...
Loading...
Loading...
Loading...