Skip to main content

BHMT Antibody (9E1-R)

Novus Biologicals, part of Bio-Techne | Catalog # NBP3-32082

Recombinant Monoclonal Antibody
Novus Biologicals, part of Bio-Techne
Catalog #
Availability
Size / Price
Qty
Loading...
NBP3-32082

Key Product Details

Species Reactivity

Human, Mouse, Rat

Applications

Immunohistochemistry, Immunohistochemistry-Paraffin, Western Blot

Label

Unconjugated

Antibody Source

Recombinant Monoclonal Mouse IgG1 Clone # 9E1-R expressed in HEK293

Concentration

1 mg/ml

Product Specifications

Immunogen

Recombinant protein with Human BHMT aa 250-406 / 406. (Uniprot: Q93088)

Localization

Cytoplasm.

Clonality

Monoclonal

Host

Mouse

Isotype

IgG1

Theoretical MW

45 kDa.
Disclaimer note: The observed molecular weight of the protein may vary from the listed predicted molecular weight due to post translational modifications, post translation cleavages, relative charges, and other experimental factors.

Description

Novus Biologicals Mouse BHMT Antibody (9E1-R) (NBP3-32082) is a recombinant monoclonal antibody validated for use in IHC and WB. All Novus Biologicals antibodies are covered by our 100% guarantee.

Scientific Data Images for BHMT Antibody (9E1-R)

BHMT Antibody (9E1-R)

Western Blot: BHMT Antibody (9E1-R) [NBP3-32082]

Western Blot: BHMT Antibody (9E1-R) [NBP3-32082] - Western blot analysis of BHMT on different lysates with Mouse anti-BHMT antibody (NBP3-32082) at 1/1,000 dilution.

Lane 1: Human kidney tissue lysate
Lane 2: Human liver tissue lysate

Lysates/proteins at 40 ug/Lane.

Predicted band size: 45 kDa
Observed band size: 45 kDa

Exposure time: 10 seconds;

4-20% SDS-PAGE gel.

Proteins were transferred to a PVDF membrane and blocked with 5% NFDM/TBST for 1 hour at room temperature. The primary antibody (NBP3-32082) at 1/1,000 dilution was used in 5% NFDM/TBST at 4C overnight. Anti-Mouse IgG for IP Nano-secondary antibody at 1/5,000 dilution was used for 1 hour at room temperature.
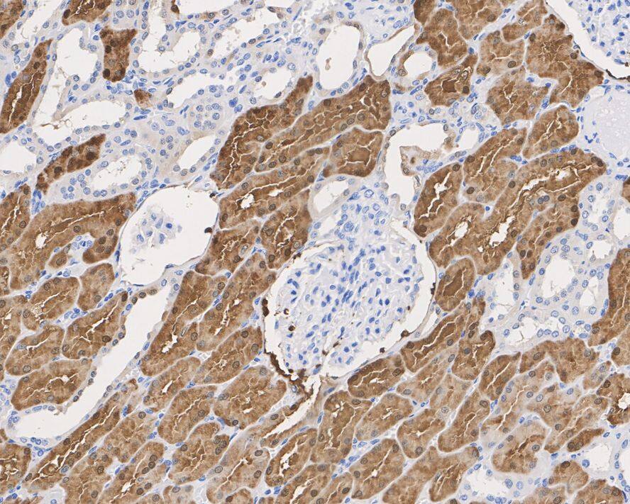
BHMT Antibody (9E1-R)

Immunohistochemistry: BHMT Antibody (9E1-R) [NBP3-32082]

Immunohistochemistry: BHMT Antibody (9E1-R) [NBP3-32082] - Immunohistochemical analysis of paraffin-embedded human kidney tissue with Mouse anti-BHMT antibody (NBP3-32082) at 1/1,000 dilution.

The section was pre-treated using heat mediated antigen retrieval with Tris-EDTA buffer (pH 9.0) for 20 minutes. The tissues were blocked in 1% BSA for 20 minutes at room temperature, washed with ddH2O and PBS, and then probed with the primary antibody (NBP3-32082) at 1/1,000 dilution for 1 hour at room temperature. The detection was performed using an HRP conjugated compact polymer system. DAB was used as the chromogen. Tissues were counterstained with hematoxylin and mounted with DPX.

Applications for BHMT Antibody (9E1-R)

Application
Recommended Usage

Immunohistochemistry-Paraffin

1:1000

Western Blot

1:1000

Formulation, Preparation, and Storage

Purification

Protein A purified

Formulation

PBS (pH7.4), 0.1% BSA and 40% Glycerol

Preservative

0.05% Sodium Azide

Concentration

1 mg/ml

Shipping

The product is shipped with polar packs. Upon receipt, store it immediately at the temperature recommended below.

Stability & Storage

Store at 4C short term. Aliquot and store at -20C long term. Avoid freeze-thaw cycles.

Background: BHMT

BHMT encodes a cytosolic enzyme that catalyzes the conversion of betaine and homocysteine to dimethylglycine and methionine, respectively. Defects in this gene could lead to hyperhomocyst(e)inemia, but such a defect has not yet been observed. [provided by RefSeq]

Alternate Names

betaine homocysteine methyltransferase, betaine-homocysteine methyltransferase, betaine--homocysteine S-methyltransferase, betaine--homocysteine S-methyltransferase 1, BHMT1, EC 2.1.1, EC 2.1.1.5

Gene Symbol

BHMT

Additional BHMT Products

Product Documents for BHMT Antibody (9E1-R)

Certificate of Analysis

To download a Certificate of Analysis, please enter a lot number in the search box below.

Product Specific Notices for BHMT Antibody (9E1-R)

This product is for research use only and is not approved for use in humans or in clinical diagnosis. Primary Antibodies are guaranteed for 1 year from date of receipt.

Loading...
Loading...
Loading...
Loading...