Skip to main content

BEX2 Antibody - BSA Free

Novus Biologicals, part of Bio-Techne | Catalog # NBP3-47861

Novus Biologicals, part of Bio-Techne
Catalog #
Availability
Size / Price
Qty
Loading...
NBP3-47861

Key Product Details

Species Reactivity

Human, Mouse, Rat

Applications

ELISA, Immunohistochemistry, Western Blot

Label

Unconjugated

Antibody Source

Polyclonal Rabbit IgG

Format

BSA Free

Concentration

Please see the vial label for concentration. If unlisted please contact technical services.

Product Specifications

Immunogen

brain expressed X-linked 2. (Uniprot# Q9BXY8)

Clonality

Polyclonal

Host

Rabbit

Isotype

IgG

Description

Novus Biologicals Rabbit BEX2 Antibody - BSA Free (NBP3-47861) is a polyclonal antibody validated for use in IHC, WB and ELISA. All Novus Biologicals antibodies are covered by our 100% guarantee.

Scientific Data Images for BEX2 Antibody - BSA Free

BEX2 Antibody - BSA Free

Western Blot: BEX2 Antibody - BSA Free [NBP3-47861] -

Western Blot: BEX2 Antibody - BSA Free [NBP3-47861] - Human brain tissue were subjected to SDS PAGE followed by western blot with (BEX2 antibody) at dilution of 1:500
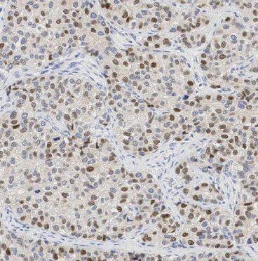
BEX2 Antibody - BSA Free

Immunohistochemistry: BEX2 Antibody - BSA Free [NBP3-47861] -

Immunohistochemistry: BEX2 Antibody - BSA Free [NBP3-47861] - Immunohistochemistry of paraffin-embedded human breast cancer using (BEX2 antibody) at dilution of 1:100

Applications for BEX2 Antibody - BSA Free

Application
Recommended Usage

Immunohistochemistry

1:20-1:200

Western Blot

1:500-1:1000
Application Notes
Theoretical Molecular Weight is 10-15 kDa

Formulation, Preparation, and Storage

Purification

Immunogen affinity purified

Formulation

PBS, 50% Glycerol, pH (7.3)

Format

BSA Free

Preservative

0.02% Sodium Azide

Concentration

Please see the vial label for concentration. If unlisted please contact technical services.

Shipping

The product is shipped with polar packs. Upon receipt, store it immediately at the temperature recommended below.

Stability & Storage

Store at -20C. Avoid freeze-thaw cycles.

Background: BEX2

The BEX2 gene belongs to the brain expressed X-linked gene family. The encoded protein interacts with the transcriptionfactor LIM domain only 2 in a DNA-binding complex that recognizes the E-box element and promotes transcription. Thisgene has been found to b

Alternate Names

BEX1, brain expressed X-linked 2, Brain-expressed X-linked protein 2, DJ79P11.1, hBex2, protein BEX2

Gene Symbol

BEX2

Additional BEX2 Products

Product Documents for BEX2 Antibody - BSA Free

Certificate of Analysis

To download a Certificate of Analysis, please enter a lot number in the search box below.

Product Specific Notices for BEX2 Antibody - BSA Free

This product is for research use only and is not approved for use in humans or in clinical diagnosis. Primary Antibodies are guaranteed for 1 year from date of receipt.

Loading...
Loading...
Loading...
Loading...