Skip to main content

beta-III Tubulin Antibody (SP06-00)

Novus Biologicals, part of Bio-Techne | Catalog # NBP2-67374

Recombinant Monoclonal Antibody.
Novus Biologicals, part of Bio-Techne
Catalog #
Availability
Size / Price
Qty
Loading...
NBP2-67374

Key Product Details

Species Reactivity

Human, Mouse, Rat

Applications

Immunohistochemistry, Immunohistochemistry-Paraffin, Immunohistochemistry-Frozen, Western Blot, Flow Cytometry, Immunocytochemistry/ Immunofluorescence, Immunoprecipitation

Label

Unconjugated

Antibody Source

Recombinant Monoclonal Rabbit IgG Clone # SP06-00 expressed in HEK293

Concentration

1 mg/ml

Product Specifications

Immunogen

Synthetic peptide within Human beta-III Tubulin aa 392-441 / 450. (SwissProt: Q13509 Human; SwissProt: Q9ERD7 Mouse; SwissProt: Q4QRB4 Rat)

Localization

Cytoplasm.

Clonality

Monoclonal

Host

Rabbit

Isotype

IgG

Description

Novus Biologicals Rabbit beta-III Tubulin Antibody (SP06-00) (NBP2-67374) is a recombinant monoclonal antibody validated for use in IHC, WB, Flow, ICC/IF and IP. All Novus Biologicals antibodies are covered by our 100% guarantee.

Scientific Data Images for beta-III Tubulin Antibody (SP06-00)

Western Blot: beta-III Tubulin Antibody (SP06-00) [NBP2-67374]

Western Blot: beta-III Tubulin Antibody (SP06-00) [NBP2-67374]

Western Blot: beta-III Tubulin Antibody (SP06-00) [NBP2-67374] - Analysis of Beta III Tubulin on different lysates with Rabbit anti-Beta III Tubulin antibody at 1/500 dilution. Lane 1: PC-12 cell lysate, Lane 2: Hela cell lysateLane 3: NIH/3T3 cell lysate, Lane 4: SH-SY5Y cell lysate. Lysates/proteins at 10 ug/Lane. Predicted band size: 50 kDa, Observed band size: 50 kDa. Exposure time: 30 seconds; 8% SDS-PAGE gel. Proteins were transferred to a PVDF membrane and blocked with 5% NFDM/TBST for 1 hour at room temperature. The primary antibody at 1/500 dilution was used in 5% NFDM/TBST at room temperature for 2 hours. Goat Anti-Rabbit IgG - HRP Secondary Antibody at 1:300,000 dilution was used for 1 hour at room temperature.
Immunocytochemistry/ Immunofluorescence: beta-III Tubulin Antibody (SP06-00) [NBP2-67374]

Immunocytochemistry/ Immunofluorescence: beta-III Tubulin Antibody (SP06-00) [NBP2-67374]

Immunocytochemistry/Immunofluorescence: beta-III Tubulin Antibody (SP06-00) [NBP2-67374] - Staining Tubulin beta-III in SH-SY-5Y cells (green). The nuclear counter stain is DAPI (blue). Cells were fixed in paraformaldehyde, permeabilised with 0.25% Triton X100/PBS.
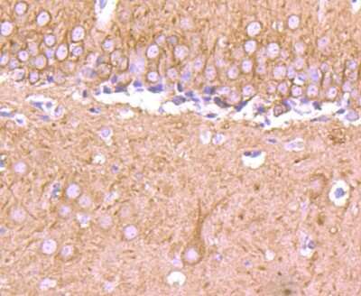
Immunohistochemistry-Paraffin: beta-III Tubulin Antibody (SP06-00) [NBP2-67374]

Immunohistochemistry-Paraffin: beta-III Tubulin Antibody (SP06-00) [NBP2-67374]

Immunohistochemistry-Paraffin: beta-III Tubulin Antibody (SP06-00) [NBP2-67374] - Analysis of paraffin-embedded mouse brain tissue using anti-Tubulin beta-III antibody. Counter stained with hematoxylin.

Applications for beta-III Tubulin Antibody (SP06-00)

Application
Recommended Usage

Flow Cytometry

1:50-1:100

Immunocytochemistry/ Immunofluorescence

1:50-1:200

Immunohistochemistry-Frozen

1:100

Immunohistochemistry-Paraffin

1:50-1:200

Western Blot

1:500-1:2000

Formulation, Preparation, and Storage

Purification

Protein A purified

Formulation

TBS (pH7.4), 0.05% BSA, 40% Glycerol

Preservative

0.05% Sodium Azide

Concentration

1 mg/ml

Shipping

The product is shipped with polar packs. Upon receipt, store it immediately at the temperature recommended below.

Stability & Storage

Store at 4C short term. Aliquot and store at -20C long term. Avoid freeze-thaw cycles.

Background: beta-III Tubulin

Beta-III Tubulin is abundant in the central and peripheral nervous systems where it is prominently expressed during fetal and postnatal development. Beta III Tubulin is often referred to as TUJ1 because Tuj-1 is the clone name of the original monoclonal antibody. The Tuj1 clone is such a popular neuronal marker that Tuj-1 is now used as a synonym for beta III tubulin. The distribution of Tubulin Beta 3 is neuron-associated, exhibiting distinct temporospatial gradients according to the regional neuroepithelia of origin. However, transient expression of the Tubulin Beta 3 protein is also present in the subventricular zones of the CNS comprising putative neuronal- and/or glial precursor cells, as well as in Kulchitsky neuroendocrine cells of the fetal respiratory epithelium. This temporally restricted, potentially non-neuronal expression may have implications in the identification of presumptive neurons derived from embryonic stem cells. Mutation on beta-tubulin has been linked to anti-cancer drug resistance in lung cancers.

Alternate Names

beta-Tubulin III, Beta3-tubulin, betaIII Tubulin, Class III beta-tubulin, TUBB3, Tubulin Beta 3, Tubulin beta-4, Tubulin beta-III

Gene Symbol

TUBB3

Additional beta-III Tubulin Products

Product Documents for beta-III Tubulin Antibody (SP06-00)

Certificate of Analysis

To download a Certificate of Analysis, please enter a lot number in the search box below.

Product Specific Notices for beta-III Tubulin Antibody (SP06-00)

This product is for research use only and is not approved for use in humans or in clinical diagnosis. Primary Antibodies are guaranteed for 1 year from date of receipt.

Loading...
Loading...
Loading...
Loading...
Loading...