Skip to main content

beta I Tubulin Antibody (2A1A9) - BSA Free

Novus Biologicals, part of Bio-Techne | Catalog # NBP2-52577

Novus Biologicals, part of Bio-Techne
Catalog #
Availability
Size / Price
Qty
Loading...
NBP2-52577
NBP2-52577-0.025mg

Key Product Details

Species Reactivity

Human, Mouse, Rat, Monkey

Applications

Immunohistochemistry, Immunohistochemistry-Paraffin, Western Blot, ELISA, Flow Cytometry, Immunocytochemistry/ Immunofluorescence, CyTOF-ready

Label

Unconjugated

Antibody Source

Monoclonal Mouse IgG1 Clone # 2A1A9

Format

BSA Free

Concentration

1 mg/ml

Product Specifications

Immunogen

Purified recombinant fragment of human beta I Tubulin (AA: 33-166) expressed in E. Coli.

Clonality

Monoclonal

Host

Mouse

Isotype

IgG1

Theoretical MW

50.3 kDa.
Disclaimer note: The observed molecular weight of the protein may vary from the listed predicted molecular weight due to post translational modifications, post translation cleavages, relative charges, and other experimental factors.

Description

Novus Biologicals Mouse beta I Tubulin Antibody (2A1A9) - BSA Free (NBP2-52577) is a monoclonal antibody validated for use in IHC, WB, ELISA, Flow and ICC/IF. All Novus Biologicals antibodies are covered by our 100% guarantee.

Scientific Data Images for beta I Tubulin Antibody (2A1A9) - BSA Free

Western Blot: beta I Tubulin Antibody (2A1A9)BSA Free [NBP2-52577]

Western Blot: beta I Tubulin Antibody (2A1A9)BSA Free [NBP2-52577]

Western Blot: beta I Tubulin Antibody (2A1A9) [NBP2-52577] - Analysis using beta I Tubulin mouse mAb against K562 (1), HepG2 (2), A431 (3), Jurkat (4), Hela (5), NIH/3T3 (6), Cos7 (7) and PC12 (8) cell lysate.
Immunocytochemistry/ Immunofluorescence: beta I Tubulin Antibody (2A1A9) - BSA Free [NBP2-52577]

Immunocytochemistry/ Immunofluorescence: beta I Tubulin Antibody (2A1A9) - BSA Free [NBP2-52577]

Immunocytochemistry/Immunofluorescence: beta I Tubulin Antibody (2A1A9) [NBP2-52577] - Analysis of Hela cells using TUBB1 mouse mAb (green). Blue: DRAQ5 fluorescent DNA dye. Red: Actin filaments have been labeled with Alexa Fluor- 555 phalloidin.
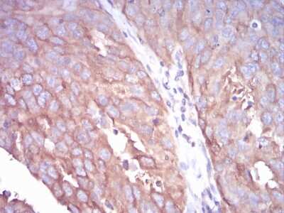
Immunohistochemistry-Paraffin: beta I Tubulin Antibody (2A1A9) - BSA Free [NBP2-52577]

Immunohistochemistry-Paraffin: beta I Tubulin Antibody (2A1A9) - BSA Free [NBP2-52577]

Immunohistochemistry-Paraffin: beta I Tubulin Antibody (2A1A9) [NBP2-52577] - Analysis of paraffin-embedded ovarian cancer tissues using TUBB1 mouse mAb with DAB staining.

Applications for beta I Tubulin Antibody (2A1A9) - BSA Free

Application
Recommended Usage

ELISA

1:10000

Flow Cytometry

1:200-1:400

Immunocytochemistry/ Immunofluorescence

1:200-1:1000

Immunohistochemistry

1:200-1:1000

Immunohistochemistry-Paraffin

1:200-1:1000

Western Blot

1:500-1:2000
Application Notes
This antibody is Cytof ready.

Formulation, Preparation, and Storage

Purification

Protein G purified

Formulation

PBS

Format

BSA Free

Preservative

0.05% Sodium Azide

Concentration

1 mg/ml

Shipping

The product is shipped with polar packs. Upon receipt, store it immediately at the temperature recommended below.

Stability & Storage

Store at 4C short term. Aliquot and store at -20C long term. Avoid freeze-thaw cycles.

Background: beta-I Tubulin

Microtubules are involved in a wide variety of cellular processes, including mitosis, morphogenesis, plateletformation, and mobility of cilia and flagella. Circulating platelets carry a single marginal microtubule coil that iswound in 8 to 12 turns and is responsible for platelet shape. TUBB1 is the major beta-tubulin expressed in plateletsand megakaryocytes and is required for optimal platelet assembly (Wang et al., 1986 (PubMed 3782288); Schulze et al.,2004 (PubMed 15315966)).(supplied by OMIM)

Long Name

Tubulin, Beta 1 Class VI

Alternate Names

betaI Tubulin, TUBB1

Gene Symbol

TUBB1

Additional beta-I Tubulin Products

Product Documents for beta I Tubulin Antibody (2A1A9) - BSA Free

Certificate of Analysis

To download a Certificate of Analysis, please enter a lot number in the search box below.

Product Specific Notices for beta I Tubulin Antibody (2A1A9) - BSA Free

This product is for research use only and is not approved for use in humans or in clinical diagnosis. Primary Antibodies are guaranteed for 1 year from date of receipt.

Loading...
Loading...
Loading...
Loading...
Loading...