Skip to main content

beta-Actin Antibody (CL3868) - Azide and BSA Free

Novus Biologicals, part of Bio-Techne | Catalog # NBP3-44487

Novus Biologicals, part of Bio-Techne
Catalog #
Availability
Size / Price
Qty
Loading...
NBP3-44487

Key Product Details

Species Reactivity

Human, Mouse, Rat

Applications

Immunohistochemistry-Paraffin, Western Blot, Immunocytochemistry/ Immunofluorescence

Label

Unconjugated

Antibody Source

Monoclonal Mouse IgG1 Clone # CL3868

Format

Azide and BSA Free

Concentration

LYOPH mg/ml

Product Specifications

Immunogen

This antibody was generated using a synthetic peptide of P60709, with the exact immunogen sequence remaining proprietary.

Clonality

Monoclonal

Host

Mouse

Isotype

IgG1

Description

Novus Biologicals Mouse beta-Actin Antibody (CL3868) - Azide and BSA Free (NBP2-76481) is a monoclonal antibody validated for use in IHC, WB and ICC/IF. All Novus Biologicals antibodies are covered by our 100% guarantee.

Scientific Data Images for beta-Actin Antibody (CL3868) - Azide and BSA Free

beta-Actin Antibody (CL3868) - Azide and BSA Free Western Blot: beta-Actin Antibody [NBP3-44487]

Western Blot: beta-Actin Antibody [NBP3-44487]

Lane 1: Marker [kDa] 250, 130, 100, 70, 55, 35, 25, 15, 10
Lane 2: Human cell line HeLa
Lane 3: Human cell line HEK 293
Lane 4: Human cell line A-431
Lane 5: Human cell line HepG2
Lane 6: Mouse cell line NIH-3T3
Lane 7: Rat cell line NBT-II
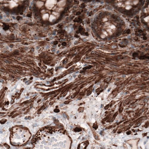
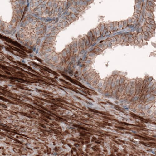
beta-Actin Antibody (CL3868) - Azide and BSA Free Immunohistochemistry-Paraffin: beta-Actin Antibody [NBP3-44487]

Immunohistochemistry-Paraffin: beta-Actin Antibody [NBP3-44487]

Staining of human colon shows positivity in smooth muscle, lymphoid and glandular cells.
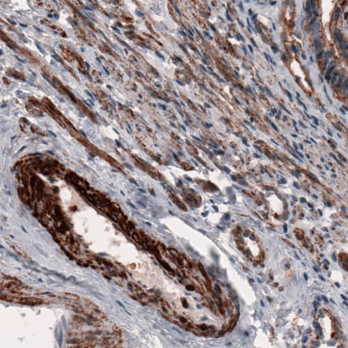
beta-Actin Antibody (CL3868) - Azide and BSA Free Immunohistochemistry-Paraffin: beta-Actin Antibody [NBP3-44487]

Immunohistochemistry-Paraffin: beta-Actin Antibody [NBP3-44487]

Staining of human fallopian tube shows immunoreactivity in smooth muscle cells of blood vessels and connective tissue.

Applications for beta-Actin Antibody (CL3868) - Azide and BSA Free

Application
Recommended Usage

Immunocytochemistry/ Immunofluorescence

1-4 ug/ml

Immunohistochemistry-Paraffin

1:5000 - 1:10000

Western Blot

1 ug/ml
Application Notes
For IHC-Paraffin, HIER pH 6 retrieval is recommended. For Immunocytochemistry/ Immunofluorescence/IF, PFA/Triton X-100 is recommended for fixation/permeabilization.

Formulation, Preparation, and Storage

Purification

Protein A purified

Reconstitution

Centrifuge the vial of lyophilized antibody at 12,000 x g for 20 seconds. Reconstitute by adding sterile, distilled water to achieve a final antibody concentration of 1mg/ml.

Formulation

Lyophilized from a 0.2 um filtered solution in PBS with Trehalose

Format

Azide and BSA Free

Preservative

No Preservative

Concentration

LYOPH mg/ml

Shipping

The product is shipped at ambient temperature. Upon receipt, store it immediately at the temperature recommended below.

Stability & Storage

Store at 4C short term. Aliquot and store at -20C long term. Avoid freeze-thaw cycles.

Background: beta-Actin

Actin is a highly conserved protein involved in cell motility, structure, and integrity. Six functional actin isoforms exist and were named based on their electrophoretic mobility and distribution including alpha-cardiac muscle actin (aCAA), alpha-skeletal muscle actin (aSKA), alpha-smooth muscle actin (aSMA), beta-cytoplasmic actin (bCYA), gamma-cytoplasmic actin (gCYA) and gamma-smooth muscle actin (gSMA) (1). The cytoplasmic isoforms, beta-actin and gamma-actin, are nearly identical, differing by only 4 amino acids at the N-terminus with a theoretical molecular weight of 42 kDa (2). Beta-actin is ubiquitously expressed in eukaryotic cells and considered a housekeeping gene which is frequently used as a loading control for assays involving protein detection, such as Western blotting (3,4).

References

1. Vandekerckhove J, Weber K. 1978. At least six different actins are expressed in a higher mammal: an analysis based on the amino acid sequence of the amino-terminal tryptic peptide. J Mol Biol. 126(4):783-802. PMID: 745245

2. Gimona M, Vandekerckhove J, Goethals M, Herzog M, Lando Z, Small JV. (1994) Beta-actin specific monoclonal antibody. Cell Motil Cytoskeleton. 27(2):108-16. PMID: 8162619

3. Holden VI, Lenio S, Kuick R, Ramakrishnan SK, Shah YM, Bachman MA. (2014) Bacterial siderophores that evade or overwhelm Lipocalin 2 induce HIF-1a and pro-inflammatory cytokine secretion in cultured respiratory epithelial cells Infect Immun. 82(9):3826-36 PMID: 24980968

4. Tsai WL, Yeh PH, Tsai CY, Ting CT, Chiu YH, Tao MH, Li WC, Hung SC. (2016) Efficient Programming of Human Mesenchymal Stem Cell Derived Hepatocytes by Epigenetic Regulations. J. Gastroenterol. Hepatol. 32(1):261-269. PMID: 27218433

Alternate Names

ACTB, betaActin

Gene Symbol

ACTB

Additional beta-Actin Products

Product Documents for beta-Actin Antibody (CL3868) - Azide and BSA Free

Certificate of Analysis

To download a Certificate of Analysis, please enter a lot number in the search box below.

Product Specific Notices for beta-Actin Antibody (CL3868) - Azide and BSA Free

This product is for research use only and is not approved for use in humans or in clinical diagnosis. Primary Antibodies are guaranteed for 1 year from date of receipt.

Loading...
Loading...
Loading...
Loading...
Loading...
Loading...