Beta 2 Adaptin Antibody - BSA Free
Novus Biologicals, part of Bio-Techne | Catalog # NBP3-35911
Key Product Details
Species Reactivity
Human, Mouse, Rat
Applications
Immunohistochemistry, Immunohistochemistry-Paraffin, Western Blot, ELISA
Label
Unconjugated
Antibody Source
Polyclonal Rabbit IgG
Format
BSA Free
Concentration
Please see the vial label for concentration. If unlisted please contact technical services.
Product Specifications
Immunogen
Recombinant fusion protein containing a sequence corresponding to amino acids 752-951 of human Beta 2 Adaptin (NP_001025177.1).
Sequence:
MEMNFTNKALQHMTDFAIQFNKNSFGVIPSTPLAIHTPLMPNQSIDVSLPLNTLGPVMKMEPLNNLQVAVKNNIDVFYFSCLIPLNVLFVEDGKMERQVFLATWKDIPNENELQFQIKECHLNADTVSSKLQNNNVYTIAKRNVEGQDMLYQSLKLTNGIWILAELRIQPGNPNYTLSLKCRAPEVSQYIYQVYDSILKN
Sequence:
MEMNFTNKALQHMTDFAIQFNKNSFGVIPSTPLAIHTPLMPNQSIDVSLPLNTLGPVMKMEPLNNLQVAVKNNIDVFYFSCLIPLNVLFVEDGKMERQVFLATWKDIPNENELQFQIKECHLNADTVSSKLQNNNVYTIAKRNVEGQDMLYQSLKLTNGIWILAELRIQPGNPNYTLSLKCRAPEVSQYIYQVYDSILKN
Clonality
Polyclonal
Host
Rabbit
Isotype
IgG
Theoretical MW
105 kDa.
Disclaimer note: The observed molecular weight of the protein may vary from the listed predicted molecular weight due to post translational modifications, post translation cleavages, relative charges, and other experimental factors.
Disclaimer note: The observed molecular weight of the protein may vary from the listed predicted molecular weight due to post translational modifications, post translation cleavages, relative charges, and other experimental factors.
Scientific Data Images for Beta 2 Adaptin Antibody - BSA Free
Western Blot: Beta 2 Adaptin Antibody [NBP3-35911] -
Western Blot: Beta 2 Adaptin Antibody [NBP3-35911] - Western blot analysis of various lysates using Beta 2 Adaptin Rabbit pAb at 1:500 dilution.Secondary antibody: HRP-conjugated Goat anti-Rabbit IgG (H+L) at 1:10000 dilution.
Lysates/proteins: 25ug per lane.
Blocking buffer: 3% nonfat dry milk in TBST.
Detection: ECL Basic Kit.
Exposure time: 10s.
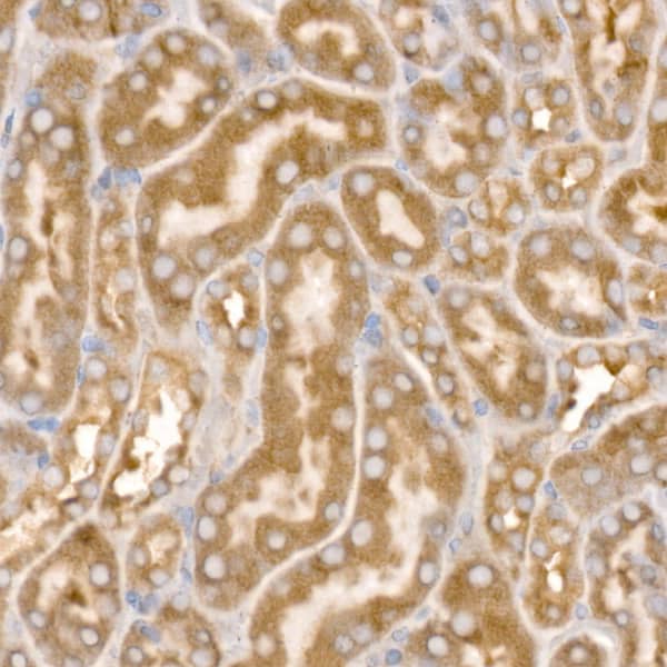
Immunohistochemistry: Beta 2 Adaptin Antibody [NBP3-35911] -
Immunohistochemistry: Beta 2 Adaptin Antibody [NBP3-35911] - Immunohistochemistry analysis of paraffin-embedded Mouse kidney using Beta 2 Adaptin Rabbit pAb at dilution of 1:20 (40x lens). High pressure antigen retrieval performed with 0.01M Citrate Bufferr (pH 6.0) prior to IHC staining.Immunohistochemistry: Beta 2 Adaptin Antibody [NBP3-35911] -
Immunohistochemistry: Beta 2 Adaptin Antibody [NBP3-35911] - Immunohistochemistry analysis of paraffin-embedded Rat brain using Beta 2 Adaptin Rabbit pAb at dilution of 1:20 (40x lens). High pressure antigen retrieval performed with 0.01M Citrate Bufferr (pH 6.0) prior to IHC staining.Applications for Beta 2 Adaptin Antibody - BSA Free
Application
Recommended Usage
Immunohistochemistry-Paraffin
1:50 - 1:200
Western Blot
1:100 - 1:500
Formulation, Preparation, and Storage
Purification
Affinity purified
Formulation
PBS (pH 7.3), 50% glycerol
Format
BSA Free
Preservative
0.02% Sodium Azide
Concentration
Please see the vial label for concentration. If unlisted please contact technical services.
Shipping
The product is shipped with polar packs. Upon receipt, store it immediately at the temperature recommended below.
Stability & Storage
Store at -20C. Avoid freeze-thaw cycles.
Background: Beta 2 Adaptin
Alternate Names
Adapter-related protein complex 2 beta subunit, Adaptor protein complex AP-2 subunit beta, adaptor-related protein complex 2, beta 1 subunit, ADTB2adaptin, beta 2 (beta), AP105B, AP2-BETA, beta-2-adaptin, beta-adaptin, CLAPB1AP-2 complex subunit beta, Clathrin assembly protein complex 2 beta large chain, clathrin-associated/assembly/adaptor protein, large, beta 1, DKFZp781K0743, Plasma membrane adaptor HA2/AP2 adaptin beta subunit
Gene Symbol
AP2B1
Additional Beta 2 Adaptin Products
Product Documents for Beta 2 Adaptin Antibody - BSA Free
Product Specific Notices for Beta 2 Adaptin Antibody - BSA Free
This product is for research use only and is not approved for use in humans or in clinical diagnosis. Primary Antibodies are guaranteed for 1 year from date of receipt.
Loading...
Loading...
Loading...
Loading...