Flow Cytometry: Beclin 1 Antibody - BSA Free [NB500-249]
Flow Cytometry: Beclin 1 Antibody - BSA Free [NB500-249] - An intracellular stain was performed on U-87MG cells with Beclin 1 Antibody NB500-249 (blue) and a matched isotype control NBP2-24891 (orange). Cells were fixed with 4% PFA and then permeabilized with 0.1% saponin. Cells were incubated in an antibody dilution of 2.5 ug/mL for 30 minutes at room temperature, followed by Rabbit IgG (H+L) Cross-Adsorbed Secondary Antibody, Dylight 550 (SA5-10033, Thermo Fisher).
Beclin 1 Antibody - BSA Free-Western Blot-NB500-249-img0025.jpg
Western Blot: Beclin 1 AntibodyBSA Free [NB500-249]
Western Blot: Beclin 1 Antibody - BSA Free [NB500-249] - Analysis of Belclin1. Lane 1: human brain. Lane 2: mouse brain.
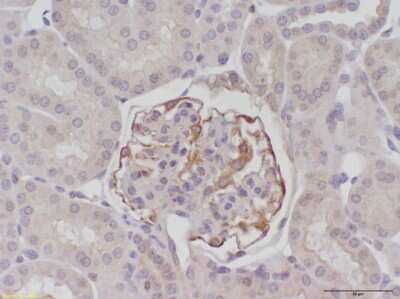
Immunohistochemistry-Paraffin: Beclin 1 Antibody - BSA Free [NB500-249]
Immunohistochemistry-Paraffin: Beclin 1 Antibody - BSA Free [NB500-249] - Beclin 1/ATG6 Antibody [NB500-249] - Analysis of Beclin1 in mouse kidney. Image courtsey of product review submitted by Kelly Hudkins.
Immunohistochemistry-Frozen: Beclin 1 Antibody - BSA Free [NB500-249]
Immunohistochemistry-Frozen: Beclin 1 Antibody - BSA Free [NB500-249] - Merged immunostaining of frozen section of Rat brain tissue. Image from verified customer review.
Flow Cytometry: Beclin 1 Antibody - BSA Free [NB500-249]
Flow Cytometry: Beclin 1 Antibody - BSA Free [NB500-249] - An intracellular stain was performed on HeLa cells with NB500-249AF700 (blue) and a matched isotype control (orange). Cells were fixed with 4% PFA and then permeabilized with 0.1% saponin. Cells were incubated in an antibody dilution of 5 ug/mL for 30 minutes at room temperature. Both antibodies were conjugated to Alexa Fluor 700.
Flow Cytometry: Beclin 1 Antibody - BSA Free [NB500-249]
Flow Cytometry: Beclin 1 Antibody - BSA Free [NB500-249] - An intracellular stain was performed on HepG2 cells with Beclin 1 Antibody NB500-249 (blue) and a matched isotype control NBP2-24891 (orange). Cells were fixed with 4% PFA and then permeabilized with 0.1% saponin. Cells were incubated in an antibody dilution of 1.0 ug/mL for 30 minutes at room temperature, followed by Rabbit IgG (H+L) Cross-Adsorbed Secondary Antibody, Dylight 550 (SA5-10033, Thermo Fisher).
Flow Cytometry: Beclin 1 Antibody - BSA Free [NB500-249]
Flow Cytometry: Beclin 1 Antibody - BSA Free [NB500-249] - An intracellular stain was performed on THP-1 cells with Beclin 1 Antibody NB500-249 (blue) and a matched isotype control NBP2-24891 (orange). Cells were fixed with 4% PFA and then permeabilized with 0.1% saponin. Cells were incubated in an antibody dilution of 1.0 ug/mL for 30 minutes at room temperature, followed by Rabbit IgG (H+L) Cross-Adsorbed Secondary Antibody, Dylight 550 (SA5-10033, Thermo Fisher).
Flow Cytometry: Beclin 1 Antibody - BSA Free [NB500-249]
Flow Cytometry: Beclin 1 Antibody - BSA Free [NB500-249] - An intracellular stain was performed on Neuro2a cells with Beclin 1 Antibody NB500-249 (blue) and a matched isotype control NBP2-24891 (orange). Cells were fixed with 4% PFA and then permeabilized with 0.1% saponin. Cells were incubated in an antibody dilution of 1.0 ug/mL for 30 minutes at room temperature, followed by Rabbit IgG (H+L) Cross-Adsorbed Secondary Antibody, Dylight 550 (SA5-10033, Thermo Fisher).
Simple Western: Beclin 1 AntibodyBSA Free [NB500-249]
Simple Western: Beclin 1 Antibody - BSA Free [NB500-249] - Image shows a specific band for Beclin1 in 1.0 mg/mL of HeLa lysate. This experiment was performed under reducing conditions using the 12-230 kDa separation system.
Western Blot: Beclin 1 Antibody - BSA Free [NB500-249]
Beclin-1-Antibody---BSA-Free-Knockdown-Validated-NB500-249-img0019.jpg
Western Blot: Beclin 1 Antibody - BSA Free [NB500-249] -
Differences in neuronal autophagy & dendrite varicosity following HIV-1 Tat protein & morphine treatment. (A) Representative images of neurons transfected with a fluorescent reporter plasmid to monitor autophagic flux at 8 h following the indicated treatments. GFP (green) & GFP + mRFP (yellow) fluorescence are observed prior to the fusion of autophagosomes with lysosomes whereas only mRFP (red) fluorescence is present in post-fusion autolysosomes. DIC, differential interference contrast microscopy image. DAPI (blue) staining indicates cell nuclei. (B) Quantification of autolysosomes (red puncta) from (A). F(3,13) = 8.756, p = 0.0019; ∗p < 0.05 when compared to all other groups. (C) Western blotting analysis of the indicated autophagy associated protein levels at 24 h following the indicated treatments. GAPDH was used as a loading control. Blots are representative of three independent experiments. (D) Quantification of dendrite beading from (A). F(3,77) = 6.429, p = 0.0006; ∗p < 0.05 when compared to control cells. Error bars show the SEM. Image collected & cropped by CiteAb from the following publication (http://journal.frontiersin.org/Article/10.3389/fmicb.2015.00653/abstract), licensed under a CC-BY license. Not internally tested by Novus Biologicals.
Western Blot: Beclin 1 Antibody - BSA Free [NB500-249] -
Metabolic profiling & biochemical assay. (A) Relative abundance of the substrates in the glycolytic pathway & TCA cycle in ORP compared to OCL by targeted metabolic profiling. When compared with OCL heart, ORP hearts have significantly lower glucose-6-phosphate & fructose-6-phosphate (both are glycolytic metabolites), & significantly higher a-ketoglutarate, fumarate, malate, & citrate (all are TCA cycle metabolites). *P < 0.05 compared with OCL. See Table S6 for numerical data. (B) A schematic diagram summarizing the changes in metabolism by rapamycin in old heart. (C) Western blots of autophagic markers show no significant change of LC3 II/I, p62, or beclin-1 in cardiac aging. However, OCR has significantly lower p62 than that in OCL. #P < 0.05 compared with OCL. (D) Both CR & RP significantly reduce the age-dependent increase in protein carbonyls (nmol mL−1). #P < 0.05 compared with OCL. (E). Both CR & RP significantly reduce the age-dependent increase in protein ubiquitination.*P < 0.05 compared with YCL & #P < 0.05 compared with OCL. n = 3–8. G6P: glucose 6-phosphate; G1P: glucose 1-phosphate; F6P: fructose 6-phosphate; F1P: fructose 1-phosphate; F16BP: fructose 1,6-bisphosphate; F26BP: fructose 2,6-biphosphate; G3P: glyceraldehyde 3-phosphate; DHAP:dihydroxyacetone phosphate; 2(3)-PGA: 2- or 3-phosphoglycerate; & PEP: phosphoenolpyruvate. Isomers of same molecular weight, that is, G6P versus G1P, F6P versus F1P, & F16BP versus F26BP, were not distinguishable by the LC-MS/MS-based metabolic profiling method. Image collected & cropped by CiteAb from the following publication (https://pubmed.ncbi.nlm.nih.gov/24612461), licensed under a CC-BY license. Not internally tested by Novus Biologicals.
Immunocytochemistry/ Immunofluorescence: Beclin 1 Antibody - BSA Free [NB500-249] -
Autophagy associated protein immunoreactivity in HIV-infected brain tissue. (A) Representative images from five randomly selected fields of cells each examined in duplicate frontal lobe white matter sections for the indicated subject groups. The indicated proteins were labeled red & microglia with the cell-type-specific marker Iba1 (green). Blue staining indicates cell nuclei. Arrow heads indicate examples of higher Iba1 immunoreactivity whereas arrows indicate more focal (punctal) vs. diffuse (filamentous) patterns of autophagy associated protein expression. Scale bar = 10 μm. (B) Quantification of relative Iba1 immunoreactivity from (A). F(3,20) = 6.450, p = 0.0031; ∗p < 0.05 when compared to all other subject groups. Error bars show the SEM for the average values of 2–6 regions from each subject group across the six autophagy associated proteins examined. (C) Quantification of the indicated autophagy associated protein relative immunoreactivity from (A). Beclin 1: F(3,12) = 11.29, p = 0.0008; LC3B: F(3,12) = 1.994, p = 0.1687; APG7/ATG7: F(3,12) = 84.20, p = < 0.0001; ATG5: F(3,12) = 6.218, p = 0.0086; p62/SQSTM1: F(3,12) = 87.04, p = < 0.0001; LAMP1: F(3,12) = 8.317, p = 0.0029. ∗p < 0.05 when compared to HIV-negative; #p < 0.05 when compared to HIV-positive; & Ωp < 0.05 when compared to HIV-positive/NCI subjects. Error bars show the SEM for four regions from each subject group. Image collected & cropped by CiteAb from the following publication (http://journal.frontiersin.org/Article/10.3389/fmicb.2015.00653/abstract), licensed under a CC-BY license. Not internally tested by Novus Biologicals.
Western Blot: Beclin 1 Antibody - BSA Free [NB500-249] -
Western Blot: Beclin 1 Antibody - BSA Free [NB500-249] - Excessive activation of P62-mediated autophagic degradation by the phosphorylated ER alpha-ERK cascades may lead to the autophagic cell death induced by gemcitabine in ER positive MCF-7 cells. B. MCF-7 cells treated by gemcitabine, gemcitabine+ PD98059 (30 μmol/L, added before gemcitabine treatment for 1 h) or DMSO for 48 h. Then total cell lysates subjected to immunoblot analysis with indicated antibodies. The data represented a typical experiment conducted 3times with similar results. Image collected & cropped by CiteAb from the following publication (https://www.oncotarget.com/lookup/doi/10.18632/oncotarget.10363), licensed under a CC-BY license. Not internally tested by Novus Biologicals.
Western Blot: Beclin 1 Antibody - BSA Free [NB500-249] -
Western Blot: Beclin 1 Antibody - BSA Free [NB500-249] - Fucoxanthin failed to suppress oxidative stress & activate autophagy in Nrf2−/− mice following TBI.Fucoxanthin treatment had no effect on change the level of MDA & the activity of GPx (A) & the expression of Beclin-1, LC3 & p62 (B) in Nrf2−/− mice compared to the vehicle-treated group. n = 6 per group. @p > 0.05 versus TBI + vehicle group. beta-actin was used as a loading control. Image collected & cropped by CiteAb from the following publication (https://pubmed.ncbi.nlm.nih.gov/28429775), licensed under a CC-BY license. Not internally tested by Novus Biologicals.
Western Blot: Beclin 1 Antibody - BSA Free [NB500-249] -
Western Blot: Beclin 1 Antibody - BSA Free [NB500-249] - AMPK knockout interrupts & decreases apoptosis in cochlea. (C) WB results show changes in autophagy-related proteins in cochleae of aging mice. There is a remarkable decline of mTOR signaling (Tg-B1 vs. AMPK+/−/Tg-B1, p<0.0001; Tg-B1 vs. WT, p=0.0001) & more Beclin-1 (Tg-B1 vs. AMPK+/−/Tg-B1, p<0.0001, one-way ANOVA followed by Bonferroni post-test) expressed in cochleae of Tg-B1 mice. (D) The histograms of WB analyses show knockouts of AMPK relieve the ROS-induced autophagic stress in Tg-B1 mice. Analysis performed by using Image J software & one-way ANOVA followed by Bonferroni post-test. * P<0.05, ** P<0.01, ***P<0.001, **** P<0.0001; n=3 per group. Image collected & cropped by CiteAb from the following publication (https://pubmed.ncbi.nlm.nih.gov/32240104), licensed under a CC-BY license. Not internally tested by Novus Biologicals.
Western Blot: Beclin 1 Antibody - BSA Free [NB500-249] -
Western Blot: Beclin 1 Antibody - BSA Free [NB500-249] - Baclofen reversed the changes of protein markers characteristic for autophagy in hippocampal CA1 area under chronic cerebral hypoperfusion.(a–c) Five weeks after induction of hypoperfusion, p-mTOR was significantly decreased, & LC3-II, Beclin 1, atg5 & atg7 were significantly increased, & baclofen could reverse the changes of these proteins expression. Treatment with baclofen at 12.5 mg/kg & 25 mg/kg in sham-operated rats did not change the expression of LC3-II, mTOR, p-mTOR, Beclin 1, atg5 & atg7 compared with sham-operated rats (n = 4 in each group). Blots shown have been cropped to fit space requirements & run under the same experimental conditions. *P < 0.05 & **P < 0.01 vs sham-operated rats; ##P < 0.01 vs 2VO rats. Image collected & cropped by CiteAb from the following publication (https://www.nature.com/articles/srep14474), licensed under a CC-BY license. Not internally tested by Novus Biologicals.
Western Blot: Beclin 1 Antibody - BSA Free [NB500-249] -
Western Blot: Beclin 1 Antibody - BSA Free [NB500-249] - Fucoxanthin protected primary cultured neurons from TBI.(A) Primary cortical neurons were subjected to scratch injury & then treated with 5, 10 or 20 μM fucoxanthin or DMSO for 1 day. The LDH release assay was used to evaluate cell viability. The percentage of survival cells significantly decreased after TBI compared to the control group. Fucoxanthin treatment significantly increased survival cells after TBI. (B) Fucoxanthin repressed the production of ROS in primary cultured cells after TBI. Cells were subjected to scratch injury & subsequently treated with 100 μM edaravone or 5, 10 or 20 μM fucoxanthin or DMSO for 1 day. Then cells were incubated with DCFH-DA & subjected to fluorescence spectrophotometer analysis. The intracellular ROS was significantly increased after TBI compared to the sham group, & administration of edaravone or fucoxanthin significantly repressed ROS production as compared to the TBI + DMSO group. (C) Fucoxanthin inhibited apoptosis & activated autophagy in primary cultured neurons. Primary cortical neurons were subjected to scratch injury & then treated with 5, 10 or 20 μM fucoxanthin or DMSO for 1 day, the expression of cleaved caspase-3, Beclin-1, LC3 & p62 was measured by western blot. Fucoxanthin significantly decreased the expression of cleaved caspase-3 & p62 while increased the expression of Beclin-1 & LC3-II. Data are presented as mean ± SEM, n = 6 per group; *p < 0.05, **p < 0.01, ***p < 0.001 versus control group; #p < 0.05, ##p < 0.01, ###p < 0.001 versus TBI + DMSO group; @p > 0.05 versus TBI + DMSO group. beta-actin was used as a loading control. Image collected & cropped by CiteAb from the following publication (https://pubmed.ncbi.nlm.nih.gov/28429775), licensed under a CC-BY license. Not internally tested by Novus Biologicals.
Western Blot: Beclin 1 Antibody - BSA Free [NB500-249] -
Western Blot: Beclin 1 Antibody - BSA Free [NB500-249] - Inhibition of lysosomes leads to G1 arrest by inactivating cyclin E/CDK2 complex. (A) CQ treatment (10, 50, or 100 μM, 24 h) leads to cell cycle G1 arrest. Quantitation of different cell cycle stages in TM3 cells in the presence or absence of CQ. (B–D) EdU incorporation & mitotic index are reduced in CQ-treated TM3 cells. (B) Immunostaining of EdU (red) & DAPI (blue) in scramble control (CTL) or CQ treated TM3 cells. Quantitation of EdU incorporation (C) or mitotic index (D) in scramble control (CTL) or CQ-treated TM3 cells. These results are mean +/− SD from three independent experiments; more than 1000 cells were counted in each individual group. (E–G) CQ inhibited cyclin E1 expression & CDK2 activation. (E,F) Whole cell extracts of CQ-treated TM3 cells at the concentration of 10, 50, or 100 μM are analyzed by immunoblot with antibodies against Beclin1, cyclin D, cyclin A, cyclin E1, CDK2, phosphorylated CDK2 at Thr160 (pCDK2) & alpha-tubulin. (G) Quantitation of relative intensity of cyclin E & pCDK2 in (F). *P < 0.05; **P < 0.01; ***P < 0.001. Image collected & cropped by CiteAb from the following publication (https://www.nature.com/articles/s41598-017-00393-4), licensed under a CC-BY license. Not internally tested by Novus Biologicals.
Western Blot: Beclin 1 Antibody - BSA Free [NB500-249] -
Western Blot: Beclin 1 Antibody - BSA Free [NB500-249] - 8-Cl-Ado-induces autophagic cell killing. (A) Western blot analysis of beclin1 & ATG7 levels in MCF-7 cells transfected with either a pool of control siRNA (siCONT), siRNA targeting the expression of the beclin1 gene (siBECN1), or targeting the expression of the ATG7 gene (siATG7). Immunoblot analysis of LC3B lipidation & PARP cleavage were assessed as markers of autophagosome formation & apoptosis, respectively. GAPDH was used as loading control. Flow cytometric analysis of cells transfected with siCONT, solid bars, siBECN1, hatched bars, or siATG7, checkered bars, treated with 10 μM 8-Cl-Ado & stained with (B) annexin V & PI, as well as (C) acridine orange. Effect of autophagy on 8-Cl-Ado-inhibiton of clonogenic survival. Cells transfected with (D) siCONT, ○, or siBECN1, ●, & with (E) siCONT, ○, or siATG7, ●, were treated with the indicated doses of 8-Cl-Ado for 3 days, washed with PBS, & cultured in fresh medium for 10 days. Colonies of >50 cells were counted under a dissecting microscope. Image collected & cropped by CiteAb from the following publication (https://jhoonline.biomedcentral.com/articles/10.1186/1756-8722-7-23), licensed under a CC-BY license. Not internally tested by Novus Biologicals.
Western Blot: Beclin 1 Antibody - BSA Free [NB500-249] -
Western Blot: Beclin 1 Antibody - BSA Free [NB500-249] - Fucoxanthin activated autophagy after TBI.(A) Representative images of immunofluorescence for LC3 surrounding the injured cortex. LC3 punctate dots were observed in the cytoplasm by immunofluorescent staining of LC3 (red). Neuron cells & nuclei are labeled with NeuN (green) & DAPI (blue), respectively. Magnification: 40 x. Scale bar: 50 mm. (B) Mice brain tissues were collected 1 day after TBI in different groups, & the expression of LC3, Beclin-1 & p62 was measured by western blot. Fucoxanthin treatment significantly increased the level of LC3-II & Beclin-1 while decreasing the level of p62 after TBI. (C) 3-MA (400 nM) was injected i.c.v. 30 min before TBI. Mice were then subjected to TBI & treatment of fucoxanthin 30 min after TBI. Pretreatment with 3-MA significantly attenuated fucoxanthin-induced activation of autophagy & suppression of apoptosis & oxidative stress in the ipsilateral cortex. Data are presented as mean ± SEM, n = 6 per group; **p < 0.01, ***p < 0.001 versus sham group; #p < 0.05, ##p < 0.01 versus TBI + vehicle group; &&p < 0.01, &&&p < 0.001 versus TBI + fucoxanthin group. beta-actin was used as a loading control. Image collected & cropped by CiteAb from the following publication (https://pubmed.ncbi.nlm.nih.gov/28429775), licensed under a CC-BY license. Not internally tested by Novus Biologicals.
Western Blot: Beclin 1 Antibody - BSA Free [NB500-249] -
Western Blot: Beclin 1 Antibody - BSA Free [NB500-249] - GABARAP interacts with AC3 via LIRs of AC3 in a ciliary expression‐dependent manner. A‐E) WB (A) & densitometric quantification of the expression of GABARAP (B), ATG5 (C), VPS34 (D), & Beclin1(E) in the hypothalami of AC3+/+, AC3−/−, & hAC3 mice (n = 3 mice per group). Actin served as the loading control. F) Representative IF co‐staining with AC3 & GABARAP antibodies in the VMHs of WT mice. F′) A higher magnification of the boxed region. Scale bars: F) 20 µm; F′) 5 µm. G) Representative images showing the expression levels of GABARAP & AC3 in the VMHs of VMH pIFT88‐AC3 KD mice & the controls. Scale bars: 20 µm. H) Schematic representation of GABARAP binding LIRs at aa488‐aa493 & aa958‐aa963 of AC3. I) Co‐IP analysis of GABARAP & AC3 (WT), AC3 (LIR1 Mut), or AC3 (LIR2 Mut). LgG served as the negative control. J) Pull‐down analysis of GABARAP & AC3. K) Co‐IP analysis of GABARAP & AC3 (WT), AC3 (296 Mut), or AC3 (465 Mut). LgG served as the negative control. L) Schematic representation of AC3 regulating GABARAP. Data represent the mean ± SEM; *p < 0.05 & **p < 0.01; one‐way ANOVA & Bonferroni pairwise comparisons. Image collected & cropped by CiteAb from the following publication (https://pubmed.ncbi.nlm.nih.gov/34783461), licensed under a CC-BY license. Not internally tested by Novus Biologicals.
Western Blot: Beclin 1 Antibody - BSA Free [NB500-249] -
Western Blot: Beclin 1 Antibody - BSA Free [NB500-249] - EMPA treatment enhanced autophagy in failing hearts. (A) Transmission electron microscopy (TEM) showed autophagosomes in the hearts. Red arrows point to autophagosomes. (B) EMPA activated autophagy pathway by inhibiting mTOR pathway. (C) RT-PCR results showed that the mRNA expression of Beclin1, Atg7 & LC3 were increased by EMPA treatment after TAC. Results are expressed as mean ± SEM, n = 5–7, *p < 0.05 vs. corresponding sham group, †p < 0.05 vs. corresponding TAC vehicle group. One-way ANOVA & Tukey post hoc test. EMPA, empagliflozin; SEM, standard error of the mean; TAC, transverse aortic constriction; AMPK, AMP-activated protein kinase; mTOR, mammalian target of rapamycin; Ulk, Unc-51 like autophagy activating kinase; Atg7, autophagy related 7; LC3, light chain 3; GAPDH, glyceraldehyde 3-phosphate dehydrogenase. Image collected & cropped by CiteAb from the following publication (https://pubmed.ncbi.nlm.nih.gov/35647080), licensed under a CC-BY license. Not internally tested by Novus Biologicals.
Beclin 1 in HepG2 Human Cell Line.
Beclin 1 was detected in immersion fixed HepG2 human hepatocellular carcinoma cell line using Rabbit anti-Beclin 1 Affinity Purified Polyclonal Antibody conjugated to FITC (Catalog # NB500-249F) (green) at 10 µg/mL overnight at 4C. Cells were counterstained with DAPI (dark blue). Cells were imaged using a 100X objective and digitally deconvolved.