Skip to main content

BDH1 Antibody - BSA Free

Novus Biologicals, part of Bio-Techne | Catalog # NBP3-41272

Novus Biologicals, part of Bio-Techne
Catalog #
Availability
Size / Price
Qty
Loading...
NBP3-41272

Key Product Details

Species Reactivity

Human, Mouse, Rat, Porcine

Applications

Immunohistochemistry, Western Blot

Label

Unconjugated

Antibody Source

Polyclonal Rabbit

Format

BSA Free

Concentration

0.5 mg/ml

Product Specifications

Immunogen

Immunized with recombinant Human BDH1 (Uniprot#: Q02338; Met1-Arg343 (Uniprot#: Q02338)

Clonality

Polyclonal

Host

Rabbit

Description

Novus Biologicals Rabbit BDH1 Antibody - BSA Free (NBP3-41272) is a polyclonal antibody validated for use in IHC and WB. All Novus Biologicals antibodies are covered by our 100% guarantee.

Scientific Data Images for BDH1 Antibody - BSA Free

BDH1 Antibody

Western Blot: BDH1 Antibody [NBP3-41272] -

Western Blot: BDH1 Antibody [NBP3-41272] - Sample: Porcine Heart lysate; Primary Ab: 2ug/ml NBP3-41272; Second Ab: 0.2ug/mL HRP-Linked Caprine Anti-Rabbit IgG Polyclonal Antibody
BDH1 Antibody

Western Blot: BDH1 Antibody [NBP3-41272] -

Western Blot: BDH1 Antibody [NBP3-41272] - Sample: Recombinant protein.
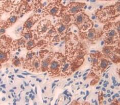
BDH1 Antibody

Immunohistochemistry-Paraffin: BDH1 Antibody [NBP3-41272] -

Immunohistochemistry-Paraffin: BDH1 Antibody [NBP3-41272] - Used in DAB staining on fromalin fixed paraffin- embedded liver tissue

Applications for BDH1 Antibody - BSA Free

Application
Recommended Usage

Immunohistochemistry

5-20ug/mL

Western Blot

0.2-2ug/mL

Formulation, Preparation, and Storage

Purification

Antigen and protein A Affinity-purified

Formulation

PBS, pH7.4, 50% glycerol

Format

BSA Free

Preservative

0.02% Sodium Azide

Concentration

0.5 mg/ml

Shipping

The product is shipped with polar packs. Upon receipt, store it immediately at the temperature recommended below.

Stability & Storage

Store at 4C short term. Aliquot and store at -20C long term. Avoid freeze-thaw cycles.

Background: BDH1

BDH1 encodes a member of the short-chain dehydrogenase/reductase gene family. The encoded protein forms a homotetrameric lipid-requiring enzyme of the mitochondrial membrane and has a specific requirement for phosphatidylcholine for optimal enzymatic activity. The encoded protein catalyzes the interconversion of acetoacetate and (R)-3-hydroxybutyrate, the two major ketone bodies produced during fatty acid catabolism. Alternatively spliced transcript variants encoding the same protein have been described. [provided by RefSeq]

Alternate Names

(R)-3-hydroxybutyrate dehydrogenase, 3-hydroxybutyrate dehydrogenase, 3-hydroxybutyrate dehydrogenase, type 1, EC 1.1.1, MGC2723, MGC4347, MGC9788, mitochondrial, mitochondrial), short chain dehydrogenase/reductase family 9C, member 1

Gene Symbol

BDH1

Additional BDH1 Products

Product Documents for BDH1 Antibody - BSA Free

Certificate of Analysis

To download a Certificate of Analysis, please enter a lot number in the search box below.

Product Specific Notices for BDH1 Antibody - BSA Free

This product is for research use only and is not approved for use in humans or in clinical diagnosis. Primary Antibodies are guaranteed for 1 year from date of receipt.

Loading...
Loading...
Loading...
Loading...