Skip to main content

BCL2L10 Antibody - BSA Free

Novus Biologicals, part of Bio-Techne | Catalog # NBP2-15557

Novus Biologicals, part of Bio-Techne
Catalog #
Availability
Size / Price
Qty
Loading...
NBP2-15557

Key Product Details

Species Reactivity

Human

Applications

Immunohistochemistry, Immunohistochemistry-Paraffin, Western Blot, Immunocytochemistry/ Immunofluorescence

Label

Unconjugated

Antibody Source

Polyclonal Rabbit IgG

Format

BSA Free

Concentration

Concentrations vary lot to lot. See vial label for concentration. If unlisted please contact technical services.

Product Specifications

Immunogen

Recombinant protein encompassing a sequence within the center region of human BCL2L10. The exact sequence is proprietary.

Clonality

Polyclonal

Host

Rabbit

Isotype

IgG

Theoretical MW

22 kDa.
Disclaimer note: The observed molecular weight of the protein may vary from the listed predicted molecular weight due to post translational modifications, post translation cleavages, relative charges, and other experimental factors.

Description

Novus Biologicals Rabbit BCL2L10 Antibody - BSA Free (NBP2-15557) is a polyclonal antibody validated for use in IHC, WB and ICC/IF. All Novus Biologicals antibodies are covered by our 100% guarantee.

Scientific Data Images for BCL2L10 Antibody - BSA Free

Western Blot: BCL2L10 Antibody [NBP2-15557]

Western Blot: BCL2L10 Antibody [NBP2-15557]

Western Blot: BCL2L10 Antibody [NBP2-15557] - Sample (30 ug of whole cell lysate) A: A431 B: Hep G2 12% SDS PAGE gel, diluted at 1:1000.
Immunocytochemistry/ Immunofluorescence: BCL2L10 Antibody [NBP2-15557]

Immunocytochemistry/ Immunofluorescence: BCL2L10 Antibody [NBP2-15557]

Immunocytochemistry/Immunofluorescence: BCL2L10 Antibody [NBP2-15557] - Immunofluorescence analysis of methanol-fixed HeLa, using antibody at 1:200 dilution.
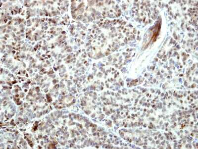
Immunohistochemistry-Paraffin: BCL2L10 Antibody [NBP2-15557]

Immunohistochemistry-Paraffin: BCL2L10 Antibody [NBP2-15557]

Immunohistochemistry-Paraffin: BCL2L10 Antibody [NBP2-15557] - Immunohistochemical analysis of paraffin-embedded AGS xenograft, using antibody at 1:500 dilution.

Applications for BCL2L10 Antibody - BSA Free

Application
Recommended Usage

Immunocytochemistry/ Immunofluorescence

1:100-1:1000

Immunohistochemistry

10 - 1:500

Immunohistochemistry-Paraffin

1:100-1:1000

Western Blot

1:500-1:3000

Formulation, Preparation, and Storage

Purification

Antigen Affinity-purified

Formulation

0.1M Tris, 0.1M Glycine, 20% Glycerol

Format

BSA Free

Preservative

0.01% Thimerosal

Concentration

Concentrations vary lot to lot. See vial label for concentration. If unlisted please contact technical services.

Shipping

The product is shipped with polar packs. Upon receipt, store it immediately at the temperature recommended below.

Stability & Storage

Aliquot and store at -20C or -80C. Avoid freeze-thaw cycles.

Background: BCL2L10

The protein encoded by this gene belongs to the BCL-2 protein family. BCL-2 family members form hetero- or homodimers and act as anti- or pro-apoptotic regulators that are involved in a wide variety of cellular activities. The protein encoded by this gene contains conserved BH4, BH1 and BH2 domains. This protein can interact with other members of BCL-2 protein family including BCL2, BCL2L1/BCL-X(L), and BAX. Overexpression of this gene has been shown to suppress cell apoptosis possibly through the prevention of cytochrome C release from the mitochondria, and thus activating caspase-3 activation. The mouse counterpart of this protein is found to interact with Apaf1 and forms a protein complex with Caspase 9, which suggests the involvement of this protein in APAF1 and CASPASE 9 related apoptotic pathway. [provided by RefSeq]

Long Name

Bcl-2-like protein 10

Alternate Names

BCL-B, Bcl2-L-10, BCLB, BOO, DIVA

Gene Symbol

BCL2L10

UniProt

Additional BCL2L10 Products

Product Documents for BCL2L10 Antibody - BSA Free

Certificate of Analysis

To download a Certificate of Analysis, please enter a lot number in the search box below.

Product Specific Notices for BCL2L10 Antibody - BSA Free

This product is for research use only and is not approved for use in humans or in clinical diagnosis. Primary Antibodies are guaranteed for 1 year from date of receipt.

Loading...
Loading...
Loading...
Loading...

⚠ WARNING: This product can expose you to chemicals including mercury, which is known to the State of California to cause reproductive toxicity with developmental effects.  For more information go to www.P65Warnings.ca.gov.