Skip to main content

BCL11B Antibody (CL6426) - Azide and BSA Free

Novus Biologicals, part of Bio-Techne | Catalog # NBP3-44407

Novus Biologicals, part of Bio-Techne

Key Product Details

Validated by

Orthogonal Validation

Species Reactivity

Human, Mouse

Applications

Immunohistochemistry-Paraffin, Western Blot

Label

Unconjugated

Antibody Source

Monoclonal Mouse IgG1 Clone # CL6426

Format

Azide and BSA Free

Concentration

LYOPH mg/ml

Product Specifications

Immunogen

This antibody was generated using a synthetic peptide of Q9C0K0, with the exact immunogen sequence remaining proprietary.

Clonality

Monoclonal

Host

Mouse

Isotype

IgG1

Description

Novus Biologicals Mouse BCL11B Antibody (CL6426) - Azide and BSA Free (NBP2-76493) is a monoclonal antibody validated for use in IHC and WB. All Novus Biologicals antibodies are covered by our 100% guarantee.

Scientific Data Images for BCL11B Antibody (CL6426) - Azide and BSA Free

BCL11B Antibody (CL6426) - Azide and BSA Free Immunohistochemistry-Paraffin: BCL11B Antibody [NBP3-44407]

Immunohistochemistry-Paraffin: BCL11B Antibody [NBP3-44407]

Analysis in human tonsil and pancreas tissues using NBP3-44407 antibody. Corresponding BCL11B RNA-seq data are presented for the same tissues.
BCL11B Antibody (CL6426) - Azide and BSA Free Immunohistochemistry-Paraffin: BCL11B Antibody [NBP3-44407]

Immunohistochemistry-Paraffin: BCL11B Antibody [NBP3-44407]

Staining of human skin shows moderate to strong nuclear positivity in dermal cells.
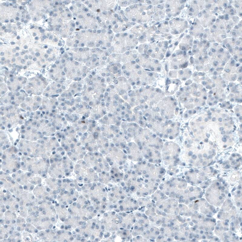
BCL11B Antibody (CL6426) - Azide and BSA Free Immunohistochemistry-Paraffin: BCL11B Antibody [NBP3-44407]

Immunohistochemistry-Paraffin: BCL11B Antibody [NBP3-44407]

Staining of human pancreas shows no positivity in exocrine glandular cells as expected.

Applications for BCL11B Antibody (CL6426) - Azide and BSA Free

Application
Recommended Usage

Immunohistochemistry-Paraffin

1:500 - 1:1000

Western Blot

1 ug/ml
Application Notes
For IHC-Paraffin, HIER pH 6 retrieval is recommended.

Formulation, Preparation, and Storage

Purification

Protein A purified

Reconstitution

Centrifuge the vial of lyophilized antibody at 12,000 x g for 20 seconds. Reconstitute by adding sterile, distilled water to achieve a final antibody concentration of 1mg/ml.

Formulation

Lyophilized from a 0.2 um filtered solution in PBS with Trehalose

Format

Azide and BSA Free

Preservative

No Preservative

Concentration

LYOPH mg/ml

Shipping

The product is shipped at ambient temperature. Upon receipt, store it immediately at the temperature recommended below.

Stability & Storage

Store at 4C short term. Aliquot and store at -20C long term. Avoid freeze-thaw cycles.

Background: BCL11B

The BCL11B gene encodes a C2H2-type zinc finger protein and is closely related to BCL11A, a gene whose translocation may be associated with B-cell malignancies. The specific function of this gene has not yet been determined. Two alternatively spliced transcript

Alternate Names

B-cell CLL/lymphoma 11B, B-cell CLL/lymphoma 11B (zinc finger protein), B-cell CLL/lymphoma 11B/T-cell receptor delta constant region fusion protein, B-cell lymphoma/leukaemia 11B, B-cell lymphoma/leukemia 11B, BCL-11B, BCL11B/TRDC fusion, COUP-TF-interacting protein 2, CTIP-2, CTIP2ZNF856B, hRit1, hRIT1-alpha, Radiation-induced tumor suppressor gene 1 protein, RIT1, zinc finger protein hRit1 alpha

Gene Symbol

BCL11B

Additional BCL11B Products

Product Documents for BCL11B Antibody (CL6426) - Azide and BSA Free

Certificate of Analysis

To download a Certificate of Analysis, please enter a lot number in the search box below.

Product Specific Notices for BCL11B Antibody (CL6426) - Azide and BSA Free

This product is for research use only and is not approved for use in humans or in clinical diagnosis. Primary Antibodies are guaranteed for 1 year from date of receipt.

Loading...
Loading...
Loading...
Loading...
Loading...