Skip to main content

BCAT1 Antibody - BSA Free

Novus Biologicals, part of Bio-Techne | Catalog # NBP3-47874

Novus Biologicals, part of Bio-Techne
Catalog #
Availability
Size / Price
Qty
Loading...
NBP3-47874

Key Product Details

Species Reactivity

Human, Mouse, Rat

Applications

Immunohistochemistry, Western Blot, ELISA

Label

Unconjugated

Antibody Source

Polyclonal Rabbit IgG

Format

BSA Free

Concentration

Please see the vial label for concentration. If unlisted please contact technical services.

Product Specifications

Immunogen

branched chain aminotransferase 1, cytosolic. (Uniprot# P54687)

Clonality

Polyclonal

Host

Rabbit

Isotype

IgG

Description

Novus Biologicals Rabbit BCAT1 Antibody - BSA Free (NBP3-47874) is a polyclonal antibody validated for use in IHC, WB and ELISA. All Novus Biologicals antibodies are covered by our 100% guarantee.

Scientific Data Images for BCAT1 Antibody - BSA Free

BCAT1 Antibody - BSA Free

Western Blot: BCAT1 Antibody - BSA Free [NBP3-47874] -

Western Blot: BCAT1 Antibody - BSA Free [NBP3-47874] - Human kidney tissue were subjected to SDS PAGE followed by western blot with (BCAT1 antibody) at dilution of 1:300
BCAT1 Antibody - BSA Free

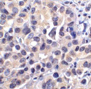
Immunohistochemistry: BCAT1 Antibody - BSA Free [NBP3-47874] -

Immunohistochemistry: BCAT1 Antibody - BSA Free [NBP3-47874] - Immunohistochemistry of paraffin-embedded human lymphoma tissue slide using (BCAT1 Antibody) at dilution of 1:50

Applications for BCAT1 Antibody - BSA Free

Application
Recommended Usage

Immunohistochemistry

1:20-1:200

Western Blot

1:500-1:2000
Application Notes
Theoretical Molecular Weight is 43-45 kDa

Formulation, Preparation, and Storage

Purification

Immunogen affinity purified

Formulation

PBS, 50% Glycerol, pH (7.3)

Format

BSA Free

Preservative

0.02% Sodium Azide

Concentration

Please see the vial label for concentration. If unlisted please contact technical services.

Shipping

The product is shipped with polar packs. Upon receipt, store it immediately at the temperature recommended below.

Stability & Storage

Store at -20C. Avoid freeze-thaw cycles.

Background: BCAT1

BCAT1 (Branched Chain Amino-Acid Transaminase 1, Cytosolic) is involved in catalyzing branched chain amino acids. BCAT1 is also thought to have a role in nasopharyngeal carcinoma development as well as glutamate production. BCAT1 is known to have interactions with SMAD5, HSPD1, UBC, PIN1 and AADAT. Disease and disorder research has been conducted in relation to BCAT1 and hyperleucine-isoleucinemia, hypervalinemia or hyperleucine-isoleucinemia, and hyperleucinemia-isoleucinemia or hypervalinemia.

Long Name

Branched Chain Amino Acid Transaminase 1

Alternate Names

BCAT-1, BCATC, BCT1, EC 2.6.1.42, ECA39, PNAS121, PP18

Gene Symbol

BCAT1

Additional BCAT1 Products

Product Documents for BCAT1 Antibody - BSA Free

Certificate of Analysis

To download a Certificate of Analysis, please enter a lot number in the search box below.

Product Specific Notices for BCAT1 Antibody - BSA Free

This product is for research use only and is not approved for use in humans or in clinical diagnosis. Primary Antibodies are guaranteed for 1 year from date of receipt.

Loading...
Loading...
Loading...
Loading...