Skip to main content

BAP1 Antibody (BAP1/9795R) - Azide and BSA Free

Novus Biologicals, part of Bio-Techne | Catalog # NBP3-45084

Recombinant Monoclonal Antibody
Novus Biologicals, part of Bio-Techne
Catalog #
Availability
Size / Price
Qty
Loading...
NBP3-45084

Key Product Details

Species Reactivity

Human

Applications

Immunohistochemistry

Label

Unconjugated

Antibody Source

Recombinant Monoclonal Rabbit IgG Kappa Clone # BAP1/9795R

Format

Azide and BSA Free

Concentration

1 mg/ml

Product Specifications

Immunogen

Recombinant fragment (around aa400-729) of human BAP1 protein (Uniprot: Q92560). Exact sequence is proprietary.

Localization

Cytoplasm, Nucleus

Clonality

Monoclonal

Host

Rabbit

Isotype

IgG Kappa

Theoretical MW

91 kDa.
Disclaimer note: The observed molecular weight of the protein may vary from the listed predicted molecular weight due to post translational modifications, post translation cleavages, relative charges, and other experimental factors.

Description

1.0 mg/ml of Ab produced in HEK293 cell mammalian-based expression system. Prepared in 10 mM PBS WITHOUT BSA & azide. Also available at 200 ug/ml WITH BSA & azide (NBP3-44624).

Antibody with azide - store at 2 to 8C. Antibody without azide - store at -20 to -80C. Non-hazardous. No MSDS required.

Scientific Data Images for BAP1 Antibody (BAP1/9795R) - Azide and BSA Free

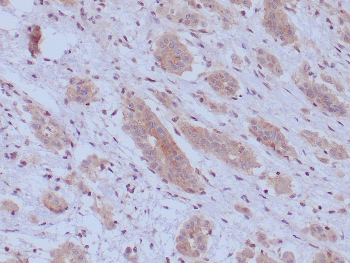
BAP1 Antibody (BAP1/9795R) - Azide and BSA Free

Immunohistochemistry-Paraffin: BAP1 Antibody (BAP1/9795R) - Azide and BSA Free [NBP3-45084] -

Formalin-fixed, paraffin-embedded malignant mesothelioma stained with BAP1 Antibody (BAP1/9795R) - Azide and BSA Free. HIER: Tris/EDTA, pH9.0, 45min. 2 : HRP-polymer, 30min. DAB, 5min.

Applications for BAP1 Antibody (BAP1/9795R) - Azide and BSA Free

Application
Recommended Usage

Immunohistochemistry

: 1-2ug/ml
Application Notes
Immunohistochemistry: 30 min at RT. Staining of formalin-fixed tissues requires heating tissue sections in 10mM Tris with 1mM EDTA, pH 9.0, for 45 min at 95C followed by cooling at RT for 20 minutes.

Formulation, Preparation, and Storage

Purification

Protein A or G purified

Formulation

10 mM PBS

Format

Azide and BSA Free

Preservative

No Preservative

Concentration

1 mg/ml

Shipping

The product is shipped with polar packs. Upon receipt, store it immediately at the temperature recommended below.

Stability & Storage

Store at -20 to -80C. Avoid freeze-thaw cycles.

Background: BAP1

BRCA1-associated protein 1 (BAP1) is a ubiquitin hydrolase that acts as a BRCA1 growth control pathway tumor suppressor. Specifically, BAP-1 localizes to the nucleus where it interferes with the BRCA1/BARD1 heterodimer activity and mediates deubiquitination of histone H2A and HCFC1. BAP 1 is highly expressed in testis, placenta, breast and ovary.

Long Name

BRCA1-associated protein 1

Alternate Names

Cerebral Protein-6, UCHL2

Gene Symbol

BAP1

Additional BAP1 Products

Product Documents for BAP1 Antibody (BAP1/9795R) - Azide and BSA Free

Certificate of Analysis

To download a Certificate of Analysis, please enter a lot number in the search box below.

Product Specific Notices for BAP1 Antibody (BAP1/9795R) - Azide and BSA Free

This product is for research use only and is not approved for use in humans or in clinical diagnosis. Primary Antibodies are guaranteed for 1 year from date of receipt.

Loading...
Loading...
Loading...
Loading...