Skip to main content

BAP1 Antibody (BAP1/8959R) - Azide and BSA Free

Novus Biologicals, part of Bio-Techne | Catalog # NBP3-49545

Recombinant Monoclonal Antibody
Novus Biologicals, part of Bio-Techne
Catalog #
Availability
Size / Price
Qty
Loading...
NBP3-49545

Key Product Details

Species Reactivity

Human

Applications

Immunohistochemistry

Label

Unconjugated

Antibody Source

Recombinant Monoclonal Rabbit IgG Kappa Clone # BAP1/8959R

Format

Azide and BSA Free

Concentration

Please see the vial label for concentration. If unlisted please contact technical services.

Product Specifications

Immunogen

Recombinant fragment (around aa630-729) of human BAP1 protein (exact sequence is proprietary) (Uniprot: Q92560)

Localization

Nucleus, Cytoplasm

Clonality

Monoclonal

Host

Rabbit

Isotype

IgG Kappa

Theoretical MW

91 kDa.
Disclaimer note: The observed molecular weight of the protein may vary from the listed predicted molecular weight due to post translational modifications, post translation cleavages, relative charges, and other experimental factors.

Description

Prepared in 10mM PBS WITHOUT BSA & azide at 1.0mg/ml. Also available with 0.05% BSA & 0.05% azide.

Antibody with azide - store at 2 to 8 C. Antibody without azide - store at -20 to -80 C. Antibody is stable for 24 months. Non-hazardous.

Scientific Data Images for BAP1 Antibody (BAP1/8959R) - Azide and BSA Free

BAP1 Antibody (BAP1/8959R) - Azide and BSA Free

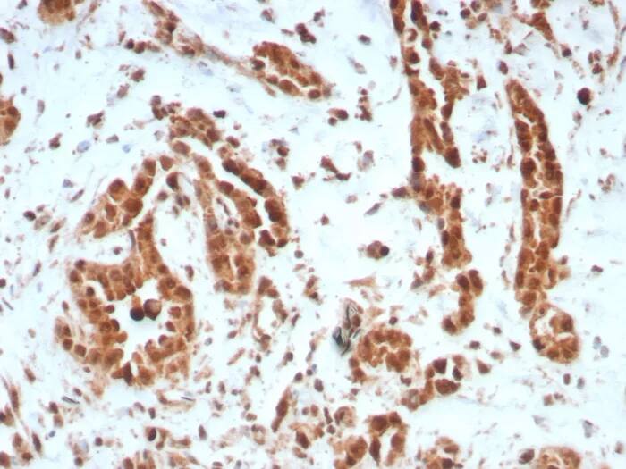
Immunohistochemistry-Paraffin: BAP1 Antibody (BAP1/8959R) - Azide and BSA Free [NBP3-49545] -

Formalin-fixed, paraffin-embedded human breast carcinoma stained with BAP1 Antibody (BAP1/8959R) - Azide and BSA Free. HIER: Tris/EDTA, pH9.0, 45min. 2�C: HRP-polymer, 30min. DAB, 5min.
BAP1 Antibody (BAP1/8959R) - Azide and BSA Free

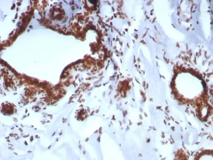
Immunohistochemistry-Paraffin: BAP1 Antibody (BAP1/8959R) - Azide and BSA Free [NBP3-49545] -

Formalin-fixed, paraffin-embedded human breast carcinoma stained with BAP1 Antibody (BAP1/8959R) - Azide and BSA Free. HIER: Tris/EDTA, pH9.0, 45min. 2�C: HRP-polymer, 30min. DAB, 5min.

Applications for BAP1 Antibody (BAP1/8959R) - Azide and BSA Free

Application
Recommended Usage

Immunohistochemistry

Optimal dilutions of this antibody should be experimentally determined.

Formulation, Preparation, and Storage

Purification

Protein A or G purified

Formulation

10 mM PBS

Format

Azide and BSA Free

Preservative

No Preservative

Concentration

Please see the vial label for concentration. If unlisted please contact technical services.

Shipping

The product is shipped with polar packs. Upon receipt, store it immediately at the temperature recommended below.

Stability & Storage

Store at -20 to -80C. Avoid freeze-thaw cycles.

Background: BAP1

BRCA1-associated protein 1 (BAP1) is a ubiquitin hydrolase that acts as a BRCA1 growth control pathway tumor suppressor. Specifically, BAP-1 localizes to the nucleus where it interferes with the BRCA1/BARD1 heterodimer activity and mediates deubiquitination of histone H2A and HCFC1. BAP 1 is highly expressed in testis, placenta, breast and ovary.

Long Name

BRCA1-associated protein 1

Alternate Names

Cerebral Protein-6, UCHL2

Gene Symbol

BAP1

Additional BAP1 Products

Product Documents for BAP1 Antibody (BAP1/8959R) - Azide and BSA Free

Certificate of Analysis

To download a Certificate of Analysis, please enter a lot number in the search box below.

Product Specific Notices for BAP1 Antibody (BAP1/8959R) - Azide and BSA Free

This product is for research use only and is not approved for use in humans or in clinical diagnosis. Primary Antibodies are guaranteed for 1 year from date of receipt.

Loading...
Loading...
Loading...
Loading...