Skip to main content

BANP Antibody - BSA Free

Novus Biologicals, part of Bio-Techne | Catalog # NBP1-76295

Novus Biologicals, part of Bio-Techne

Key Product Details

Species Reactivity

Validated:

Human, Mouse, Rat

Predicted:

Bovine (100%). Backed by our 100% Guarantee.

Applications

Immunohistochemistry, Immunohistochemistry-Paraffin, Western Blot, ELISA, Immunocytochemistry/ Immunofluorescence

Label

Unconjugated

Antibody Source

Polyclonal Rabbit IgG

Format

BSA Free

Concentration

1 mg/ml

Product Specifications

Immunogen

Antibody was raised against a 14 amino acid synthetic peptide near the center of human BANP. The immunogen is located within amino acids 300 - 350 of BANP. Amino Acid Squence: RTAWRRKQRGQSL

Clonality

Polyclonal

Host

Rabbit

Isotype

IgG

Description

Novus Biologicals Rabbit BANP Antibody - BSA Free (NBP1-76295) is a polyclonal antibody validated for use in IHC, WB, ELISA and ICC/IF. All Novus Biologicals antibodies are covered by our 100% guarantee.

Scientific Data Images for BANP Antibody - BSA Free

Western Blot: BANP AntibodyBSA Free [NBP1-76295]

Western Blot: BANP AntibodyBSA Free [NBP1-76295]

Western Blot: BANP Antibody [NBP1-76295] - mouse kidney tissue lysate with BANP antibody at (A) 1 and (B) 2 ug/mL.
BANP Antibody - BSA Free

Immunocytochemistry/ Immunofluorescence: BANP Antibody - BSA Free [NBP1-76295] -

Immunocytochemistry/ Immunofluorescence: BANP Antibody - BSA Free [NBP1-76295] - Immunofluorescence of BANP in human kidney tissue with BANP antibody at 20 u/mL.
BANP Antibody - BSA Free

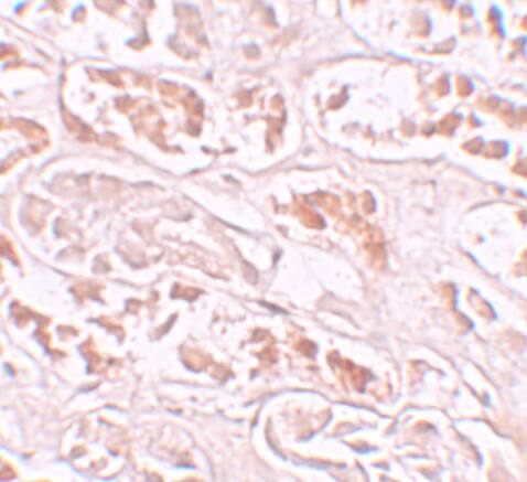
Immunohistochemistry: BANP Antibody - BSA Free [NBP1-76295] -

Immunohistochemistry: BANP Antibody - BSA Free [NBP1-76295] - Immunohistochemistry of BANP in human kidney tissue with BANP antibody at 10 u/mL.

Applications for BANP Antibody - BSA Free

Application
Recommended Usage

ELISA

1:100-1:2000

Immunocytochemistry/ Immunofluorescence

20 ug/ml

Immunohistochemistry

10 ug/ml

Immunohistochemistry-Paraffin

10 ug/ml

Western Blot

1-2 ug/ml

Formulation, Preparation, and Storage

Purification

Peptide affinity purified

Formulation

PBS

Format

BSA Free

Preservative

0.02% Sodium Azide

Concentration

1 mg/ml

Shipping

The product is shipped with polar packs. Upon receipt, store it immediately at the temperature recommended below.

Stability & Storage

Store at 4C short term. Aliquot and store at -20C long term. Avoid freeze-thaw cycles.

Background: BANP

BANP was initially identified as a binding protein to BTG3 in a yeast two-hybrid screen. BANP acts as a tumor suppressor by stabilizing p53 expression and leading to cell cycle arrest. p53 in turn binds to upstream elements of the BANP promoter, thereby forming a feedback loop. BANP is down-regulated in advanced stages of human breast cancer, and its overexpression in breast cancer cell lines inhibits their ability to metastasize by modulating TGF-beta signaling. Furthermore, BANP can modulate NF-kappaB transactivation and can inhibit tumorigenesis by regulating NF-kappaB target genes. Recent experiments have shown that BANP can also repress HIV-1 LTR mediated transcription by tethering the LTR matrix attachment region to nuclear matrix.

Alternate Names

BEN domain containing 1, BEND1BEN domain-containing protein 1, BTG3 associated nuclear protein, Btg3-associated nuclear protein, DKFZp761H172, FLJ10177, FLJ20538, protein BANP, SMAR1Scaffold/matrix-associated region-1-binding protein, SMARBP1

Gene Symbol

BANP

Additional BANP Products

Product Documents for BANP Antibody - BSA Free

Certificate of Analysis

To download a Certificate of Analysis, please enter a lot number in the search box below.

Product Specific Notices for BANP Antibody - BSA Free

This product is for research use only and is not approved for use in humans or in clinical diagnosis. Primary Antibodies are guaranteed for 1 year from date of receipt.

Loading...
Loading...
Loading...
Loading...