Skip to main content

BAG2 Antibody (6D6Z0)

Novus Biologicals, part of Bio-Techne | Catalog # NBP3-16699

Recombinant Monoclonal Antibody
Novus Biologicals, part of Bio-Techne
Catalog #
Availability
Size / Price
Qty
Loading...
NBP3-16699-100ul
NBP3-16699-20ul

Key Product Details

Species Reactivity

Human, Mouse, Rat

Applications

Immunohistochemistry, Immunohistochemistry-Paraffin, Western Blot

Label

Unconjugated

Antibody Source

Recombinant Monoclonal Rabbit IgG Clone # 6D6Z0 expressed in HEK293

Concentration

Please see the vial label for concentration. If unlisted please contact technical services.

Product Specifications

Immunogen

A synthetic peptide corresponding to a sequence within amino acids 1-100 of human BAG2 (O95816). MAQAKINAKANEGRFCRSSSMADRSSRLLESLDQLELRVEALREAATAVEQEKEILLEMIHSIQNSQDMRQISDGEREELNLTANRLMGRTLTVEVSVET

Clonality

Monoclonal

Host

Rabbit

Isotype

IgG

Description

Novus Biologicals Rabbit BAG2 Antibody (6D6Z0) (NBP3-16699) is a recombinant monoclonal antibody validated for use in IHC and WB. All Novus Biologicals antibodies are covered by our 100% guarantee.

Scientific Data Images for BAG2 Antibody (6D6Z0)

Western Blot: BAG2 Antibody (6D6Z0) [NBP3-16699]

Western Blot: BAG2 Antibody (6D6Z0) [NBP3-16699]

Western Blot: BAG2 Antibody (6D6Z0) [NBP3-16699] - Western blot analysis of extracts of various cell lines, using BAG2 antibody (NBP3-16699) at 1:1000 dilution. Secondary antibody: HRP Goat Anti-Rabbit IgG (H+L) at 1:10000 dilution. Lysates/proteins: 25ug per lane. Blocking buffer: 3% nonfat dry milk in TBST. Detection: ECL Basic Kit. Exposure time: 180s.
Immunohistochemistry-Paraffin: BAG2 Antibody (6D6Z0) [NBP3-16699]

Immunohistochemistry-Paraffin: BAG2 Antibody (6D6Z0) [NBP3-16699]

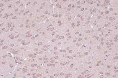
Immunohistochemistry-Paraffin: BAG2 Antibody (6D6Z0) [NBP3-16699] - Immunohistochemistry of paraffin-embedded mouse brain using BAG2 Rabbit mAb (NBP3-16699) at dilution of 1:100 (40x lens).Perform microwave antigen retrieval with 10 mM Tris/EDTA buffer pH 9.0 before commencing with IHC staining protocol.
Immunohistochemistry-Paraffin: BAG2 Antibody (6D6Z0) [NBP3-16699]

Immunohistochemistry-Paraffin: BAG2 Antibody (6D6Z0) [NBP3-16699]

Immunohistochemistry-Paraffin: BAG2 Antibody (6D6Z0) [NBP3-16699] - Immunohistochemistry of paraffin-embedded rat brain using BAG2 Rabbit mAb (NBP3-16699) at dilution of 1:100 (40x lens).Perform microwave antigen retrieval with 10 mM Tris/EDTA buffer pH 9.0 before commencing with IHC staining protocol.

Applications for BAG2 Antibody (6D6Z0)

Application
Recommended Usage

Immunohistochemistry

1:50 - 1:200

Western Blot

1:500 - 1:1000

Formulation, Preparation, and Storage

Purification

Affinity purified

Formulation

PBS (pH 7.3), 50% glycerol, 0.05% BSA

Preservative

0.02% Sodium Azide

Concentration

Please see the vial label for concentration. If unlisted please contact technical services.

Shipping

The product is shipped with polar packs. Upon receipt, store it immediately at the temperature recommended below.

Stability & Storage

Store at -20C. Avoid freeze-thaw cycles.

Background: BAG2

The BAG (Bcl-2-associated anthanogene) proteins are a family of chaperone regulators that modulate a number of diverse processes including proliferation, survival, stress responses, tumorigenesis, neuronal differentiation, growth arrest and apoptosis (reviewed Takayama and Reed, 2001; Doong et al, 2002, and Doukhanina et al. 2006). BAG proteins have been characterized as co-chaperones and interact with the chaperone heat shock proteins 70, both constitutive Hsc70 and inducible Hsp70. BAG proteins bind through their BAG domain to the ATPase domain of Hsc70/Hsp70, and can modulate either positively or negatively the functions of the Hsc70/Hsp70 chaperone proteins. The BAG domain has been shown to contribute to the anti-apoptotic activity of BAG-family proteins. The anti-apoptotic activities of BAG-family proteins may be dependent on their interactions with Hsc70/Asp70 and/or binding to Bcl-2. In addition to the conserved BAG domain, BAG-family proteins also contain additional domains which enable them to interact with specific target proteins or to target them to specific locations within cells. The BAG family contains at least six family members, including BAG-1 and its various isoforms [including BAG-1S , BAG-1M (RAP46/HAP46), and BAG-1L, BAG2, BAG3 (CAIR-1; Bis,), BAG4 (SODD), BAG5 and BAG6 (Scythe, BAT3). The following amino acids (aa) lengths and molecular weights (kDa) have been described for human BAG proteins (reviewed in Takayama et al, 2001 and Doong et al, 2002): BAG-1 (230 aa., 34 kDa), BAG-1S (219 aa, 29 kDa), BAG-1M (274 aa, 46 kDa), BAG-1L (345 aa, 52 kDa), BAG-2 [212 aa; 24 kDa (Arndt et al. 2005)], BAG-3 (575 aa, 74 kDa), BAG-4 (456 aa; 60 kDa), BAG-5 ([442 aa; 51 kDa (Kalia et al. 2004)], and BAG-6 (1129 aa; 150 kDa). Recognizes BAG-2; human BAG-2 migrates at 24-28 kDa on SDS-PAGE.

Alternate Names

BAG family molecular chaperone regulator 2, BAG-2, BAG-family molecular chaperone regulator-2, Bcl-2-associated athanogene 2, BCL2-associated athanogene 2, dJ417I1.2, dJ417I1.2 (BAG-family molecular chaperone regulator 2), KIAA0576, MGC149462

Gene Symbol

BAG2

Additional BAG2 Products

Product Documents for BAG2 Antibody (6D6Z0)

Certificate of Analysis

To download a Certificate of Analysis, please enter a lot number in the search box below.

Product Specific Notices for BAG2 Antibody (6D6Z0)

This product is for research use only and is not approved for use in humans or in clinical diagnosis. Primary Antibodies are guaranteed for 1 year from date of receipt.

Loading...
Loading...
Loading...
Loading...