Skip to main content

Bag-1 Antibody (JE63-22)

Novus Biologicals, part of Bio-Techne | Catalog # NBP3-32068

Recombinant Monoclonal Antibody
Novus Biologicals, part of Bio-Techne
Catalog #
Availability
Size / Price
Qty
Loading...
NBP3-32068

Key Product Details

Species Reactivity

Human, Mouse, Rat

Applications

Immunohistochemistry, Immunohistochemistry-Paraffin, Western Blot, Flow Cytometry, Immunocytochemistry/ Immunofluorescence

Label

Unconjugated

Antibody Source

Recombinant Monoclonal Rabbit IgG Clone # JE63-22 expressed in HEK293

Concentration

1 mg/ml

Product Specifications

Immunogen

Synthetic peptide within Human Bag-1 aa 111-160 / 345. (Uniprot: Q99933)

Localization

Nucleus, Cytoplasm.

Clonality

Monoclonal

Host

Rabbit

Isotype

IgG

Theoretical MW

38 kDa.
Disclaimer note: The observed molecular weight of the protein may vary from the listed predicted molecular weight due to post translational modifications, post translation cleavages, relative charges, and other experimental factors.

Description

Novus Biologicals Rabbit Bag-1 Antibody (JE63-22) (NBP3-32068) is a recombinant monoclonal antibody validated for use in IHC, WB, Flow and ICC/IF. All Novus Biologicals antibodies are covered by our 100% guarantee.

Scientific Data Images for Bag-1 Antibody (JE63-22)

Bag-1 Antibody (JE63-22)

Western Blot: Bag-1 Antibody (JE63-22) [NBP3-32068]

Western Blot: Bag-1 Antibody (JE63-22) [NBP3-32068] - Western blot analysis of Bag-1 on different lysates with Rabbit anti-Bag-1 antibody (NBP3-32068) at 1/1,000 dilution.

Lane 1: HeLa cell lysate (20 ug/Lane)
Lane 2: Jurkat cell lysate (20 ug/Lane)
Lane 3: HEK-293 cell lysate (20 ug/Lane)
Lane 4: MCF7 cell lysate (20 ug/Lane)
Lane 5: RAW264.7 cell lysate (20 ug/Lane)
Lane 6: Rat testis tissue lysate (40 ug/Lane)
Lane 7: Mouse testis tissue lysate (40 ug/Lane)

Predicted band size: 38 kDa
Observed band size: 35/46/52 kDa

Exposure time: 3 minutes;

4-20% SDS-PAGE gel.

Proteins were transferred to a PVDF membrane and blocked with 5% NFDM/TBST for 1 hour at room temperature. The primary antibody (NBP3-32068) at 1/1,000 dilution was used in 5% NFDM/TBST at 4C overnight. Goat Anti-Rabbit IgG - HRP Secondary Antibody at 1/50,000 dilution was used for 1 hour at room temperature.
Bag-1 Antibody (JE63-22)

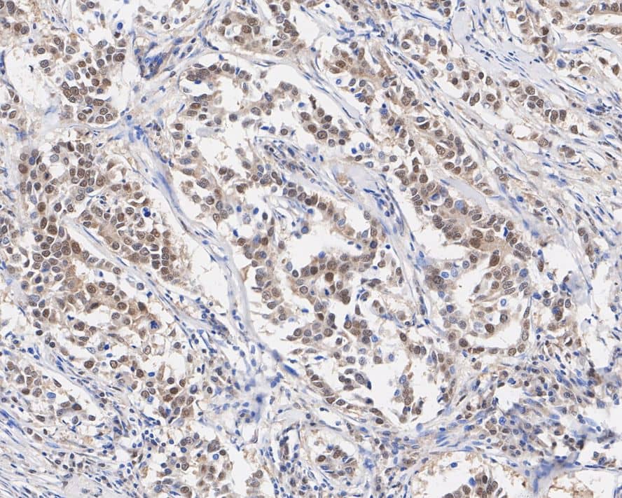
Immunohistochemistry: Bag-1 Antibody (JE63-22) [NBP3-32068]

Immunohistochemistry: Bag-1 Antibody (JE63-22) [NBP3-32068] - Immunohistochemical analysis of paraffin-embedded human breast cancer tissue with Rabbit anti-Bag-1 antibody (NBP3-32068) at 1/500 dilution.

The section was pre-treated using heat mediated antigen retrieval with sodium citrate buffer (pH 6.0) for 2 minutes. The tissues were blocked in 1% BSA for 20 minutes at room temperature, washed with ddH2O and PBS, and then probed with the primary antibody (NBP3-32068) at 1/500 dilution for 1 hour at room temperature. The detection was performed using an HRP conjugated compact polymer system. DAB was used as the chromogen. Tissues were counterstained with hematoxylin and mounted with DPX.
Bag-1 Antibody (JE63-22)

Immunocytochemistry/ Immunofluorescence: Bag-1 Antibody (JE63-22) [NBP3-32068]

Immunocytochemistry/ Immunofluorescence: Bag-1 Antibody (JE63-22) [NBP3-32068] - Immunocytochemistry analysis of HeLa cells labeling Bag-1 with Rabbit anti-Bag-1 antibody (NBP3-32068) at 1/100 dilution.

Cells were fixed in 4% paraformaldehyde for 20 minutes at room temperature, permeabilized with 0.1% Triton X-100 in PBS for 5 minutes at room temperature, then blocked with 1% BSA in 10% negative goat serum for 1 hour at room temperature. Cells were then incubated with Rabbit anti-Bag-1 antibody (NBP3-32068) at 1/100 dilution in 1% BSA in PBST overnight at 4 ℃. Goat Anti-Rabbit IgG H&L (iFluor™ 488) was used as the secondary antibody at 1/1,000 dilution. PBS instead of the primary antibody was used as the secondary antibody only control. Nuclear DNA was labelled in blue with DAPI.

Applications for Bag-1 Antibody (JE63-22)

Application
Recommended Usage

Flow Cytometry

1:1000

Immunocytochemistry/ Immunofluorescence

1:100

Immunohistochemistry-Paraffin

1:500

Western Blot

1:1000

Formulation, Preparation, and Storage

Purification

Protein A purified

Formulation

1*TBS (pH7.4), 0.05% BSA and 40% Glycerol

Preservative

0.05% Sodium Azide

Concentration

1 mg/ml

Shipping

The product is shipped with polar packs. Upon receipt, store it immediately at the temperature recommended below.

Stability & Storage

Store at 4C short term. Aliquot and store at -20C long term. Avoid freeze-thaw cycles.

Background: Bag-1

The oncogene BCL2 is a membrane protein that blocks a step in a pathway leading to apoptosis or programmed cell death. The protein encoded by this gene binds to BCL2 and is referred to as BCL2-associated athanogene. It enhances the anti-apoptotic effects of BCL2 and represents a link between growth factor receptors and anti-apoptotic mechanisms. At least three protein isoforms are encoded by this mRNA through the use of a non-AUG (CUG) start site, and alternative, downstream, AUG translation initiation sites.

Long Name

Bcl-2-associated Anthanogene-1

Alternate Names

Bag1

Gene Symbol

BAG1

Additional Bag-1 Products

Product Documents for Bag-1 Antibody (JE63-22)

Certificate of Analysis

To download a Certificate of Analysis, please enter a lot number in the search box below.

Product Specific Notices for Bag-1 Antibody (JE63-22)

This product is for research use only and is not approved for use in humans or in clinical diagnosis. Primary Antibodies are guaranteed for 1 year from date of receipt.

Loading...
Loading...
Loading...
Loading...
Loading...