Skip to main content

BAF57 Antibody (1G10) - BSA Free

Novus Biologicals, part of Bio-Techne | Catalog # NBP3-43036

Novus Biologicals, part of Bio-Techne
Catalog #
Availability
Size / Price
Qty
Loading...
NBP3-43036

Key Product Details

Species Reactivity

Human

Applications

ELISA, Immunocytochemistry/ Immunofluorescence, Immunohistochemistry, Western Blot

Label

Unconjugated

Antibody Source

Monoclonal Mouse IgG1 Clone # 1G10

Format

BSA Free

Concentration

Please see the vial label for concentration. If unlisted please contact technical services.

Product Specifications

Immunogen

SWI/SNF related, matrix associated, actin dependent regulator of chromatin, subfamily e, member 1 - (Uniprot# Q969G3)

Clonality

Monoclonal

Host

Mouse

Isotype

IgG1

Theoretical MW

53 kDa.
Disclaimer note: The observed molecular weight of the protein may vary from the listed predicted molecular weight due to post translational modifications, post translation cleavages, relative charges, and other experimental factors.

Description

Novus Biologicals Mouse BAF57 Antibody (1G10) - BSA Free (NBP3-43036) is a monoclonal antibody validated for use in IHC, WB, ELISA and ICC/IF. All Novus Biologicals antibodies are covered by our 100% guarantee.

Scientific Data Images for BAF57 Antibody (1G10) - BSA Free

BAF57 Antibody (1G10)

Western Blot: BAF57 Antibody (1G10) [NBP3-43036] -

Western Blot: BAF57 Antibody (1G10) [NBP3-43036] - Jurkat cells were subjected to SDS PAGE followed by western blot with (BAF57 Antibody) at dilution of 1:1000
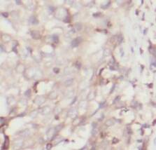
BAF57 Antibody (1G10)

Immunohistochemistry: BAF57 Antibody (1G10) [NBP3-43036] -

Immunohistochemistry: BAF57 Antibody (1G10) [NBP3-43036] - Immunohistochemistry of paraffin-embedded human breast cancer tissue slide using (BAF57 Antibody) at dilution of 1:100

Applications for BAF57 Antibody (1G10) - BSA Free

Application
Recommended Usage

Immunocytochemistry/ Immunofluorescence

1:20 - 1:200

Immunohistochemistry

1:20 - 1:200

Western Blot

1:500 - 1:2000

Formulation, Preparation, and Storage

Purification

Protein A or G purified

Formulation

PBS (pH 7.3), 50% glycerol

Format

BSA Free

Preservative

0.02% Sodium Azide

Concentration

Please see the vial label for concentration. If unlisted please contact technical services.

Shipping

The product is shipped with polar packs. Upon receipt, store it immediately at the temperature recommended below.

Stability & Storage

Store at -20C. Avoid freeze-thaw cycles.

Background: BAF57

BAF57 is encoded by this gene is part of the large ATP-dependent chromatin remodeling complex SWI/SNF, which is required for transcriptional activation of genes normally repressed by chromatin. The encoded protein, either alone or when in the SWI/SNF complex, can bind to 4-way junction DNA, which is thought to mimic the topology of DNA as it enters or exits the nucleosome. The protein contains a DNA-binding HMG domain, but disruption of this domain does not abolish the DNA-binding or nucleosome-displacement activities of the SWI/SNF complex. Unlike most of the SWI/SNF complex proteins, this protein has no yeast counterpart.

Alternate Names

BAF57BRG1-associated factor 57, chromatin remodeling complex BRG1-associated factor 57, subfamily e, member 1, SWI/SNF related, matrix associated, actin dependent regulator of chromatin, SWI/SNF-related matrix-associated actin-dependent regulator of chromatin e1, SWI/SNF-related matrix-associated actin-dependent regulator of chromatinsubfamily E member 1

Gene Symbol

SMARCE1

Additional BAF57 Products

Product Documents for BAF57 Antibody (1G10) - BSA Free

Certificate of Analysis

To download a Certificate of Analysis, please enter a lot number in the search box below.

Product Specific Notices for BAF57 Antibody (1G10) - BSA Free

This product is for research use only and is not approved for use in humans or in clinical diagnosis. Primary Antibodies are guaranteed for 1 year from date of receipt.

Loading...
Loading...
Loading...
Loading...