Skip to main content

B-Raf Antibody (OTI5A9)

Novus Biologicals, part of Bio-Techne | Catalog # NBP1-47668

Novus Biologicals, part of Bio-Techne

Key Product Details

Species Reactivity

Validated:

Human, Mouse, Rat, Monkey

Cited:

Human

Applications

Validated:

Immunohistochemistry, Immunohistochemistry-Paraffin, Western Blot, Flow Cytometry, Immunocytochemistry/ Immunofluorescence, Immunoprecipitation

Cited:

Western Blot

Label

Unconjugated

Antibody Source

Monoclonal Mouse IgG1 Clone # OTI5A9

Concentration

1 mg/ml

Product Specifications

Immunogen

Full length human recombinant protein of human BRAF (NP_004324) produced in HEK293T cell.

Reactivity Notes

Please note that this antibody is reactive to Mouse and derived from the same host, Mouse. Mouse-On-Mouse blocking reagent may be needed for IHC and ICC experiments to reduce high background signal. You can find these reagents under catalog numbers PK-2200-NB and MP-2400-NB. Please contact Technical Support if you have any questions.

Specificity

This antibody is specific for Homo sapiens v-raf murine sarcoma viral oncogene homolog B1 (BRAF).

Clonality

Monoclonal

Host

Mouse

Isotype

IgG1

Theoretical MW

84.4 kDa.
Disclaimer note: The observed molecular weight of the protein may vary from the listed predicted molecular weight due to post translational modifications, post translation cleavages, relative charges, and other experimental factors.

Description

Novus Biologicals Mouse B-Raf Antibody (OTI5A9) (NBP1-47668) is a monoclonal antibody validated for use in IHC, WB, Flow, ICC/IF and IP. Anti-B-Raf Antibody: Cited in 1 publication. All Novus Biologicals antibodies are covered by our 100% guarantee.

Scientific Data Images for B-Raf Antibody (OTI5A9)

Western Blot: B-Raf Antibody (OTI5A9) [NBP1-47668]

Western Blot: B-Raf Antibody (OTI5A9) [NBP1-47668]

Western Blot: B-Raf Antibody (OTI5A9) [NBP1-47668] - Analysis of extracts (35ug) from 9 different cell lines by using anti-B Raf monoclonal antibody.
Immunocytochemistry/ Immunofluorescence: B-Raf Antibody (OTI5A9) [NBP1-47668]

Immunocytochemistry/ Immunofluorescence: B-Raf Antibody (OTI5A9) [NBP1-47668]

Immunocytochemistry/Immunofluorescence: B-Raf Antibody (OTI5A9) [NBP1-47668] - Staining of COS7 cells transiently transfected by pCMV6-ENTRY B Raf.
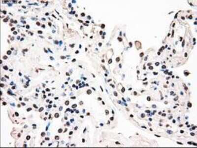
Immunohistochemistry-Paraffin: B-Raf Antibody (OTI5A9) [NBP1-47668]

Immunohistochemistry-Paraffin: B-Raf Antibody (OTI5A9) [NBP1-47668]

Immunohistochemistry-Paraffin: B-Raf Antibody (OTI5A9) [NBP1-47668] - Staining of paraffin-embedded Human pancreas tissue using anti-B Raf mouse monoclonal antibody.

Applications for B-Raf Antibody (OTI5A9)

Application
Recommended Usage

Flow Cytometry

1:100

Immunocytochemistry/ Immunofluorescence

1:100

Immunohistochemistry

1:50

Immunohistochemistry-Paraffin

1:50

Western Blot

1:1000-2000

Formulation, Preparation, and Storage

Purification

Immunogen affinity purified

Formulation

PBS (pH 7.3), 1.0% BSA and 50% Glycerol

Preservative

0.02% Sodium Azide

Concentration

1 mg/ml

Shipping

The product is shipped with polar packs. Upon receipt, store it immediately at the temperature recommended below.

Stability & Storage

Store at -20C. Avoid freeze-thaw cycles.

Background: B-Raf

This gene encodes a protein belonging to the raf/mil family of serine/threonine protein kinases.This protein plays a role in regulating the MAP kinase/ERKs signaling pathway, which affects cell division, differentiation,and secretion. Mutations in this ge

Long Name

v-Raf Murine Sarcoma Viral Oncogene Homolog B1

Alternate Names

BRaf, BRAF1, RAFB1

Entrez Gene IDs

673 (Human)

Gene Symbol

BRAF

Additional B-Raf Products

Product Documents for B-Raf Antibody (OTI5A9)

Certificate of Analysis

To download a Certificate of Analysis, please enter a lot number in the search box below.

Product Specific Notices for B-Raf Antibody (OTI5A9)

This product is for research use only and is not approved for use in humans or in clinical diagnosis. Primary Antibodies are guaranteed for 1 year from date of receipt.

Loading...
Loading...
Loading...
Loading...
Loading...