Skip to main content

AVEN Antibody - BSA Free

Novus Biologicals, part of Bio-Techne | Catalog # NBP1-76771

Novus Biologicals, part of Bio-Techne
Catalog #
Availability
Size / Price
Qty
Loading...
NBP1-76771
NBP1-76771-0.025mg

Key Product Details

Species Reactivity

Human, Mouse, Rat

Applications

ELISA, Immunocytochemistry/ Immunofluorescence, Immunohistochemistry, Immunohistochemistry-Paraffin, Simple Western, Western Blot

Label

Unconjugated

Antibody Source

Polyclonal Rabbit IgG

Format

BSA Free

Concentration

1 mg/ml

Product Specifications

Immunogen

Antibody was raised against a 14 amino acid synthetic peptide from near the carboxy terminus of human Aven. The immunogen is located within the last 50 amino acids of Aven. Amino Acid Squence: KNVTEEELEDWLDSMIS

Clonality

Polyclonal

Host

Rabbit

Isotype

IgG

Description

Novus Biologicals Rabbit AVEN Antibody - BSA Free (NBP1-76771) is a polyclonal antibody validated for use in IHC, WB, ELISA, ICC/IF and Simple Western. All Novus Biologicals antibodies are covered by our 100% guarantee.

Scientific Data Images for AVEN Antibody - BSA Free

Western Blot: AVEN AntibodyBSA Free [NBP1-76771]

Western Blot: AVEN AntibodyBSA Free [NBP1-76771]

Western Blot: AVEN Antibody [NBP1-76771] - Raji cell lysate with Aven antibody at 1 ug/ml in (A) the presence and (B) the absence of blocking peptide.
AVEN Antibody - BSA Free

Immunocytochemistry/ Immunofluorescence: AVEN Antibody - BSA Free [NBP1-76771] -

Immunocytochemistry/ Immunofluorescence: AVEN Antibody - BSA Free [NBP1-76771] - Immunofluorescence of AVEN in Human Spleen cells with AVEN antibody at 20 u/mL.
AVEN Antibody - BSA Free

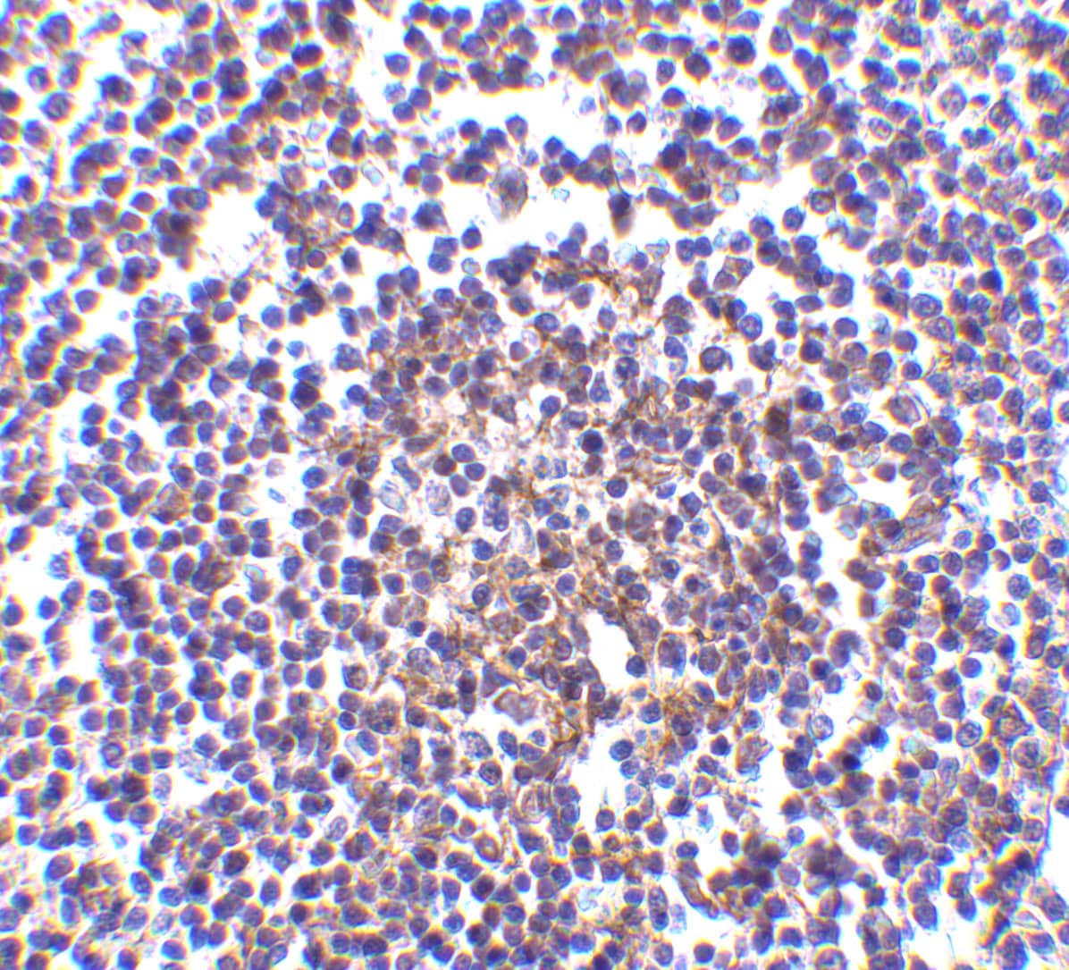
Immunohistochemistry: AVEN Antibody - BSA Free [NBP1-76771] -

Immunohistochemistry: AVEN Antibody - BSA Free [NBP1-76771] - Immunohistochemistry of AVEN in human spleen tissue with AVEN antibody at 5 ug/mL.

Applications for AVEN Antibody - BSA Free

Application
Recommended Usage

ELISA

1:100-1:2000

Immunocytochemistry/ Immunofluorescence

20 ug/ml

Immunohistochemistry

5 ug/ml

Immunohistochemistry-Paraffin

5 ug/ml

Western Blot

1 ug/ml
Application Notes
Despite its predicted molecular weight, Aven often migrates at 55 kDa in SDS-PAGE.

Formulation, Preparation, and Storage

Purification

Peptide affinity purified

Formulation

PBS

Format

BSA Free

Preservative

0.02% Sodium Azide

Concentration

1 mg/ml

Shipping

The product is shipped with polar packs. Upon receipt, store it immediately at the temperature recommended below.

Stability & Storage

Store at 4C short term. Aliquot and store at -20C long term. Avoid freeze-thaw cycles.

Background: AVEN

Apoptosis plays a major role in normal organism development, tissue homeostasis, and removal of damaged cells. Disruption of this process has been implicated in a variety of diseases such as cancer. Aven is a recently discovered protein that blocks apoptosis induced by Apaf-1 and caspase-9. It is thought that Aven functions by binding to Bcl-xL, an antiapoptotic member of the Bcl-2 family, and to Apaf-1, possibly interfering with the ability of Apaf-1 to self-associate, suggesting that Aven impedes Apaf-1-mediated caspase activation. Higher levels of Aven mRNA are seen in patients with acute leukemia than in control patients, suggesting that Aven may be useful as a prognostic indicator in leukemia patients. Despite its predicted molecular weight, Aven often migrates at 55 kDa in SDS-PAGE.

Alternate Names

apoptosis, caspase activation inhibitor, cell death regulator Aven, PDCD12, programmed cell death 12

Gene Symbol

AVEN

Additional AVEN Products

Product Documents for AVEN Antibody - BSA Free

Certificate of Analysis

To download a Certificate of Analysis, please enter a lot number in the search box below.

Product Specific Notices for AVEN Antibody - BSA Free

This product is for research use only and is not approved for use in humans or in clinical diagnosis. Primary Antibodies are guaranteed for 1 year from date of receipt.

Loading...
Loading...
Loading...
Loading...