Skip to main content

AUTS2 Antibody - BSA Free

Novus Biologicals, part of Bio-Techne | Catalog # NBP3-47905

Novus Biologicals, part of Bio-Techne
Catalog #
Availability
Size / Price
Qty
Loading...
NBP3-47905

Key Product Details

Species Reactivity

Human, Mouse, Rat

Applications

Immunohistochemistry, Western Blot, ELISA

Label

Unconjugated

Antibody Source

Polyclonal Rabbit IgG

Format

BSA Free

Concentration

Please see the vial label for concentration. If unlisted please contact technical services.

Product Specifications

Immunogen

autism susceptibility candidate 2. (Uniprot# Q8WXX7)

Clonality

Polyclonal

Host

Rabbit

Isotype

IgG

Theoretical MW

70 kDa.
Disclaimer note: The observed molecular weight of the protein may vary from the listed predicted molecular weight due to post translational modifications, post translation cleavages, relative charges, and other experimental factors.

Description

Novus Biologicals Rabbit AUTS2 Antibody - BSA Free (NBP3-47905) is a polyclonal antibody validated for use in IHC, WB and ELISA. All Novus Biologicals antibodies are covered by our 100% guarantee.

Scientific Data Images for AUTS2 Antibody - BSA Free

AUTS2 Antibody - BSA Free

Western Blot: AUTS2 Antibody - BSA Free [NBP3-47905] -

Western Blot: AUTS2 Antibody - BSA Free [NBP3-47905] - C6 cells were subjected to SDS PAGE followed by western blot with (AUTS2 Antibody) at dilution of 1:600
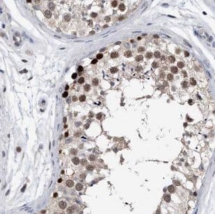
AUTS2 Antibody - BSA Free

Immunohistochemistry: AUTS2 Antibody - BSA Free [NBP3-47905] -

Immunohistochemistry: AUTS2 Antibody - BSA Free [NBP3-47905] - Immunohistochemistry of paraffin-embedded human testis tissue slide using (AUTS2 Antibody) at dilution of 1:50

Applications for AUTS2 Antibody - BSA Free

Application
Recommended Usage

Immunohistochemistry

1:20-1:200

Western Blot

1:500-1:2000

Formulation, Preparation, and Storage

Purification

Immunogen affinity purified

Formulation

PBS, 50% Glycerol, pH (7.3)

Format

BSA Free

Preservative

0.02% Sodium Azide

Concentration

Please see the vial label for concentration. If unlisted please contact technical services.

Shipping

The product is shipped with polar packs. Upon receipt, store it immediately at the temperature recommended below.

Stability & Storage

Store at -20C. Avoid freeze-thaw cycles.

Background: AUTS2

AUTS2 - autism susceptibility candidate 2

Alternate Names

autism susceptibility candidate 2, autism susceptibility gene 2 protein, autism-related protein 1, KIAA0442FBRSL2, MGC13140

Gene Symbol

AUTS2

Additional AUTS2 Products

Product Documents for AUTS2 Antibody - BSA Free

Certificate of Analysis

To download a Certificate of Analysis, please enter a lot number in the search box below.

Product Specific Notices for AUTS2 Antibody - BSA Free

This product is for research use only and is not approved for use in humans or in clinical diagnosis. Primary Antibodies are guaranteed for 1 year from date of receipt.

Loading...
Loading...
Loading...
Loading...