Skip to main content

ATRIP Antibody (OTI5E7)

Novus Biologicals, part of Bio-Techne | Catalog # NBP2-02004

Novus Biologicals, part of Bio-Techne
Catalog #
Availability
Size / Price
Qty
Loading...
NBP2-02004

Key Product Details

Species Reactivity

Human, Canine

Applications

Flow Cytometry, Immunocytochemistry/ Immunofluorescence, Immunohistochemistry, Immunohistochemistry-Paraffin, Western Blot

Label

Unconjugated

Antibody Source

Monoclonal Mouse IgG2A Clone # OTI5E7

Concentration

1.13 mg/ml

Product Specifications

Immunogen

Human recombinant protein fragment corresponding to amino acids 42-309 of human ATRIP(NP_569055) produced in E.coli.

Clonality

Monoclonal

Host

Mouse

Isotype

IgG2A

Theoretical MW

85.7 kDa.
Disclaimer note: The observed molecular weight of the protein may vary from the listed predicted molecular weight due to post translational modifications, post translation cleavages, relative charges, and other experimental factors.

Description

Novus Biologicals Mouse ATRIP Antibody (OTI5E7) (NBP2-02004) is a monoclonal antibody validated for use in IHC, WB, Flow and ICC/IF. All Novus Biologicals antibodies are covered by our 100% guarantee.

Scientific Data Images for ATRIP Antibody (OTI5E7)

Western Blot: ATRIP Antibody (OTI5E7) [NBP2-02004]

Western Blot: ATRIP Antibody (OTI5E7) [NBP2-02004]

Western Blot: ATRIP Antibody (OTI5E7) [NBP2-02004] - Analysis of extracts (35ug) from 9 different cell lines by usin g anti-ATRIP monoclonal antibody (HepG2: human; HeLa: human; SVT2: mouse; A549: human; COS7: monkey; Jurkat: human; MDCK: canine; PC12: rat; MCF7: human).
Immunocytochemistry/ Immunofluorescence: ATRIP Antibody (OTI5E7) [NBP2-02004]

Immunocytochemistry/ Immunofluorescence: ATRIP Antibody (OTI5E7) [NBP2-02004]

Immunocytochemistry/Immunofluorescence: ATRIP Antibody (OTI5E7) [NBP2-02004] - Staining of COS7 cells transiently transfected by pCMV6-ENTRY ATRIP.
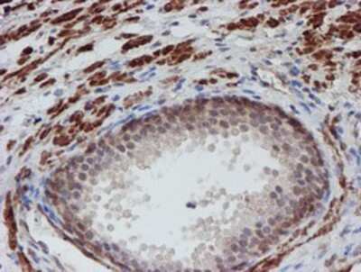
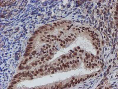
Immunohistochemistry-Paraffin: ATRIP Antibody (OTI5E7) [NBP2-02004]

Immunohistochemistry-Paraffin: ATRIP Antibody (OTI5E7) [NBP2-02004]

Immunohistochemistry-Paraffin: ATRIP Antibody (OTI5E7) [NBP2-02004] - Staining of paraffin-embedded Human tonsil using anti-ATRIP mouse monoclonal antibody.

Applications for ATRIP Antibody (OTI5E7)

Application
Recommended Usage

Flow Cytometry

1:100

Immunocytochemistry/ Immunofluorescence

1:100

Immunohistochemistry

1:150

Immunohistochemistry-Paraffin

1:150

Western Blot

1:500-2000

Formulation, Preparation, and Storage

Purification

Immunogen affinity purified

Formulation

PBS (pH 7.3), 1.0% BSA and 50% Glycerol

Preservative

0.02% Sodium Azide

Concentration

1.13 mg/ml

Shipping

The product is shipped with polar packs. Upon receipt, store it immediately at the temperature recommended below.

Stability & Storage

Store at -20C. Avoid freeze-thaw cycles.

Background: ATRIP

The product of this gene is an essential component of the DNA damage checkpoint, and binds to single-stranded DNA coated with replication protein A that accumulates at sites of DNA damage. The encoded protein interacts with the ataxia telangiectasia and Rad3 related protein, a checkpoint kinase, resulting in accumulation of the kinase at intranuclear foci induced by DNA damage. Multiple transcript variants encoding different isoforms have been found for this gene. [provided by RefSeq].

Long Name

Ataxia Telangiectasia and Rad 3-related Interacting Protein

Alternate Names

TREX1

Entrez Gene IDs

84126 (Human)

Gene Symbol

ATRIP

Additional ATRIP Products

Product Documents for ATRIP Antibody (OTI5E7)

Certificate of Analysis

To download a Certificate of Analysis, please enter a lot number in the search box below.

Product Specific Notices for ATRIP Antibody (OTI5E7)

This product is for research use only and is not approved for use in humans or in clinical diagnosis. Primary Antibodies are guaranteed for 1 year from date of receipt.

Loading...
Loading...
Loading...
Loading...
Loading...