Skip to main content

ATP6V1C2 Antibody (OTI8H4)

Novus Biologicals, part of Bio-Techne | Catalog # NBP2-46556

Novus Biologicals, part of Bio-Techne
Catalog #
Availability
Size / Price
Qty
Loading...
NBP2-46556
Conjugate
Catalog #

Key Product Details

Species Reactivity

Human, Mouse, Rat

Applications

Immunohistochemistry, Immunohistochemistry-Paraffin, Western Blot

Label

Unconjugated

Antibody Source

Monoclonal Mouse IgG1 Clone # OTI8H4

Concentration

1 mg/ml

Product Specifications

Immunogen

Full length human recombinant protein of human ATP6V1C2(NP_653184) produced in E.coli.

Reactivity Notes

Please note that this antibody is reactive to Mouse and derived from the same host, Mouse. Mouse-On-Mouse blocking reagent may be needed for IHC and ICC experiments to reduce high background signal. You can find these reagents under catalog numbers PK-2200-NB and MP-2400-NB. Please contact Technical Support if you have any questions.

Clonality

Monoclonal

Host

Mouse

Isotype

IgG1

Theoretical MW

43.7 kDa.
Disclaimer note: The observed molecular weight of the protein may vary from the listed predicted molecular weight due to post translational modifications, post translation cleavages, relative charges, and other experimental factors.

Scientific Data Images for ATP6V1C2 Antibody (OTI8H4)

Western Blot: ATP6V1C2 Antibody (OTI8H4) [NBP2-46556]

Western Blot: ATP6V1C2 Antibody (OTI8H4) [NBP2-46556]

Western Blot: ATP6V1C2 Antibody (8H4) [NBP2-46556] - Analysis of HEK293T cells were transfected with the pCMV6-ENTRY control (Left lane) or pCMV6-ENTRY ATP6V1C2.
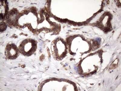
Immunohistochemistry: ATP6V1C2 Antibody (OTI8H4) [NBP2-46556]

Immunohistochemistry: ATP6V1C2 Antibody (OTI8H4) [NBP2-46556]

Immunohistochemistry: ATP6V1C2 Antibody (8H4) [NBP2-46556] - Analysis of Adenocarcinoma of Human endometrium tissue. (Heat-induced epitope retrieval by 1mM EDTA in 10mM Tris buffer (pH8.5) at 120C for 3 min)
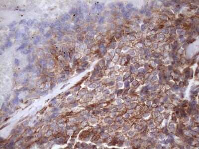
Immunohistochemistry: ATP6V1C2 Antibody (OTI8H4) [NBP2-46556]

Immunohistochemistry: ATP6V1C2 Antibody (OTI8H4) [NBP2-46556]

Immunohistochemistry: ATP6V1C2 Antibody (8H4) [NBP2-46556] - Analysis of Human breast tissue. (Heat-induced epitope retrieval by 1mM EDTA in 10mM Tris buffer (pH8.5) at 120C for 3 min)

Applications for ATP6V1C2 Antibody (OTI8H4)

Application
Recommended Usage

Immunohistochemistry

1:150

Immunohistochemistry-Paraffin

1:150

Western Blot

1:2000

Formulation, Preparation, and Storage

Purification

Immunogen affinity purified

Formulation

PBS (pH 7.3), 1.0% BSA and 50% Glycerol

Preservative

0.02% Sodium Azide

Concentration

1 mg/ml

Shipping

The product is shipped with polar packs. Upon receipt, store it immediately at the temperature recommended below.

Stability & Storage

Store at -20C. Avoid freeze-thaw cycles.

Background: ATP6V1C2

ATP6V1C2 encodes a component of vacuolar ATPase (V-ATPase), a multisubunit enzyme that mediates acidification of eukaryotic intracellular organelles. V-ATPase dependent organelle acidification is necessary for such intracellular processes as protein sorting, zymogen activation, receptor-mediated endocytosis, and synaptic vesicle proton gradient generation. V-ATPase is composed of a cytosolic V1 domain and a transmembrane V0 domain. The V1 domain consists of three A,three B, and two G subunits, as well as a C, D, E, F, and H subunit. The V1 domain contains the ATP catalytic site. This gene encodes alternate transcriptional splice variants, encoding different V1 domain C subunit isoforms.

Alternate Names

ATP6C2, ATPase, H+ transporting, lysosomal 42kD, V1 subunit C isoform 2, ATPase, H+ transporting, lysosomal 42kDa, V1 subunit C isoform 2, ATPase, H+ transporting, lysosomal 42kDa, V1 subunit C2, Vacuolar proton pump subunit C 2, V-ATPase C2 subunit, V-ATPase subunit C 2, VMA5, V-type proton ATPase subunit C 2

Gene Symbol

ATP6V1C2

Additional ATP6V1C2 Products

Product Documents for ATP6V1C2 Antibody (OTI8H4)

Certificate of Analysis

To download a Certificate of Analysis, please enter a lot number in the search box below.

Product Specific Notices for ATP6V1C2 Antibody (OTI8H4)

This product is for research use only and is not approved for use in humans or in clinical diagnosis. Primary Antibodies are guaranteed for 1 year from date of receipt.

Loading...
Loading...
Loading...
Loading...