Skip to main content

ATP6V1B2 Antibody - BSA Free

Novus Biologicals, part of Bio-Techne | Catalog # NBP2-97188

Novus Biologicals, part of Bio-Techne

Key Product Details

Species Reactivity

Human

Applications

Immunocytochemistry/ Immunofluorescence, Immunohistochemistry-Paraffin

Label

Unconjugated

Antibody Source

Polyclonal Rabbit IgG

Format

BSA Free

Concentration

Please see the vial label for concentration. If unlisted please contact technical services.

Product Specifications

Immunogen

Produced in rabbits immunized with E. coli-derived Human ATP6V1B2 fragment.

Clonality

Polyclonal

Host

Rabbit

Isotype

IgG

Description

This antibody can be stored at 2C to 8C for one month without detectable loss of activity. Antibody products are stable for twelve months from date of receipt when stored at -20C to -80C. Avoid repeated freeze-thaw cycles.

Scientific Data Images for ATP6V1B2 Antibody - BSA Free

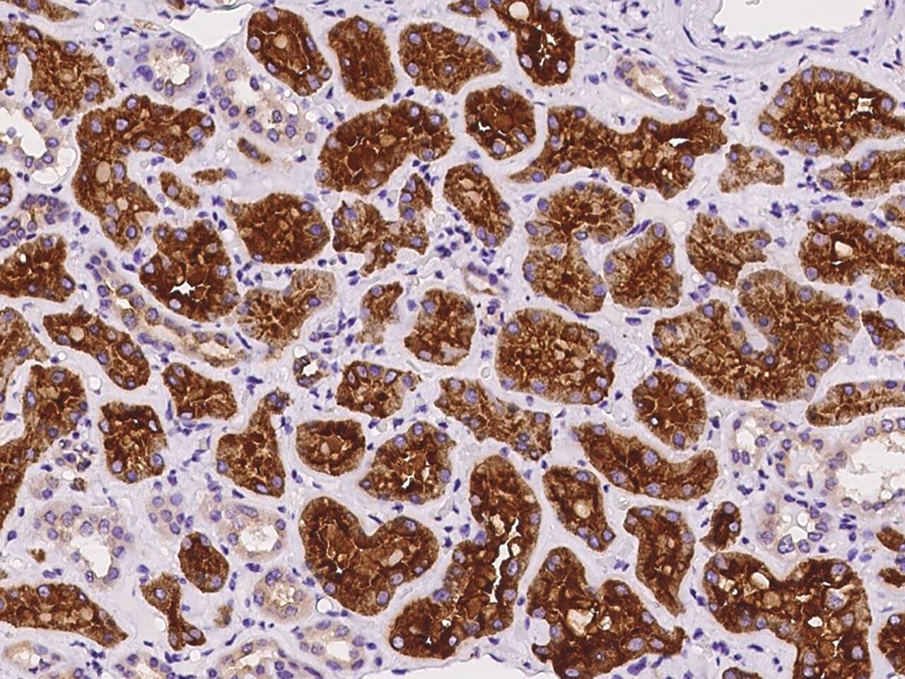
Immunohistochemistry-Paraffin: ATP6V1B2 Antibody [NBP2-97188]

Immunohistochemistry-Paraffin: ATP6V1B2 Antibody [NBP2-97188]

Immunohistochemistry-Paraffin: ATP6V1B2 Antibody [NBP2-97188] - Immunochemical staining of human ATP6V1B2 in human kidney with rabbit polyclonal antibody at 1:100 dilution, formalin-fixed paraffin embedded sections.
ATP6V1B2 Antibody - BSA Free

Immunocytochemistry/Immunofluorescence: ATP6V1B2 Antibody [NBP2-97188] -

Immunocytochemistry/Immunofluorescence: ATP6V1B2 Antibody [NBP2-97188] - Immunofluorescence staining of ATP6V1B2 in U2OS cells. Cells were fixed with 4% PFA, permeabilzed with 0.1% Triton X-100 in PBS, blocked with 10% serum, and incubated with NBP2-97188 antibody (dilution ratio 1:100) at 4C overnight. Then cells were stained with the Alexa Fluor(R)488-conjugated Goat Anti-rabbit IgG secondary antibody (green) and counterstained with DAPI (blue).Positive staining was localized to Cytoplasm.
ATP6V1B2 Antibody - BSA Free

Immunohistochemistry-Paraffin: ATP6V1B2 Antibody - BSA Free [NBP2-97188] -

Immunohistochemistry-Paraffin: ATP6V1B2 Antibody - BSA Free [NBP2-97188] - Immunochemical staining of human ATP6V1B2 in human kidney with NBP2-97188 at 1:100 dilution, formalin-fixed paraffin embedded sections.

Applications for ATP6V1B2 Antibody - BSA Free

Application
Recommended Usage

Immunocytochemistry/ Immunofluorescence

1:50-1:200

Immunohistochemistry-Paraffin

1:50-1:200

Formulation, Preparation, and Storage

Purification

Antigen and protein A Affinity-purified

Formulation

PBS

Format

BSA Free

Preservative

0.03% Proclin 300

Concentration

Please see the vial label for concentration. If unlisted please contact technical services.

Shipping

The product is shipped with polar packs. Upon receipt, store it immediately at the temperature recommended below.

Stability & Storage

Store at 4C short term. Aliquot and store at -20C long term. Avoid freeze-thaw cycles.

Background: ATP6V1B2

The ATP6V1B2 gene encodes a component of vacuolar ATPase (V-ATPase), a multisubunit enzyme that mediates acidification ofeukaryotic intracellular organelles. V-ATPase dependent organelle acidification is necessary for such intracellularprocesses as protein sortin

Alternate Names

000 subunit, 56/58kD, isoform 2, ATP6B2ATPase, H+ transporting, lysosomal (vacuolar proton pump), beta polypeptide, ATPase, H+ transporting, lysosomal 56/58kDa, V1 subunit B2, Endomembrane proton pump 58 kDa subunit, H+ transporting two-sector ATPase, HO57ATP6B1B2, vacuolar H+-ATPase 56, Vacuolar proton pump subunit B 2, VATB, V-ATPase B2 subunit, V-ATPase subunit B 2, Vma2, VPP3ATPase, H+ transporting, lysosomal 56/58kDa, V1 subunit B, isoform 2, V-type proton ATPase subunit B, brain isoform

Gene Symbol

ATP6V1B2

Additional ATP6V1B2 Products

Product Documents for ATP6V1B2 Antibody - BSA Free

Certificate of Analysis

To download a Certificate of Analysis, please enter a lot number in the search box below.

Product Specific Notices for ATP6V1B2 Antibody - BSA Free

This product is for research use only and is not approved for use in humans or in clinical diagnosis. Primary Antibodies are guaranteed for 1 year from date of receipt.

Loading...
Loading...
Loading...
Loading...