Skip to main content

ATP5O Antibody (OTI2E9)

Novus Biologicals, part of Bio-Techne | Catalog # NBP2-46555

Novus Biologicals, part of Bio-Techne

Key Product Details

Species Reactivity

Human

Applications

Immunohistochemistry, Immunohistochemistry-Paraffin, Western Blot

Label

Unconjugated

Antibody Source

Monoclonal Mouse IgG1 Clone # OTI2E9

Concentration

1 mg/ml

Product Specifications

Immunogen

Human recombinant protein fragment corresponding to amino acids 24-213 of human ATP5O (NP_001688) produced in E.coli.

Clonality

Monoclonal

Host

Mouse

Isotype

IgG1

Theoretical MW

20.8 kDa.
Disclaimer note: The observed molecular weight of the protein may vary from the listed predicted molecular weight due to post translational modifications, post translation cleavages, relative charges, and other experimental factors.

Description

Novus Biologicals Mouse ATP5O Antibody (OTI2E9) (NBP2-46555) is a monoclonal antibody validated for use in IHC and WB. All Novus Biologicals antibodies are covered by our 100% guarantee.

Scientific Data Images for ATP5O Antibody (OTI2E9)

Western Blot: ATP5O Antibody (OTI2E9) [NBP2-46555]

Western Blot: ATP5O Antibody (OTI2E9) [NBP2-46555]

Western Blot: ATP5O Antibody (2E9) [NBP2-46555] - Analysis of HEK293T cells were transfected with the pCMV6-ENTRY control (Left lane) or pCMV6-ENTRY ATP5O.
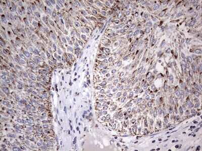
Immunohistochemistry: ATP5O Antibody (OTI2E9) [NBP2-46555]

Immunohistochemistry: ATP5O Antibody (OTI2E9) [NBP2-46555]

Immunohistochemistry: ATP5O Antibody (2E9) [NBP2-46555] - Analysis of Carcinoma of Human bladder tissue. (Heat-induced epitope retrieval by 1 mM EDTA in 10mM Tris, pH8.5, 120C for 3min)
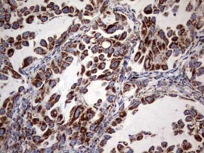
Immunohistochemistry: ATP5O Antibody (OTI2E9) [NBP2-46555]

Immunohistochemistry: ATP5O Antibody (OTI2E9) [NBP2-46555]

Immunohistochemistry: ATP5O Antibody (2E9) [NBP2-46555] - Analysis of Human liver tissue. (Heat-induced epitope retrieval by 1 mM EDTA in 10mM Tris, pH8.5, 120C for 3min)

Applications for ATP5O Antibody (OTI2E9)

Application
Recommended Usage

Immunohistochemistry

1:150

Western Blot

1:2000

Formulation, Preparation, and Storage

Purification

Immunogen affinity purified

Formulation

PBS (pH 7.3), 1.0% BSA and 50% Glycerol

Preservative

0.02% Sodium Azide

Concentration

1 mg/ml

Shipping

The product is shipped with polar packs. Upon receipt, store it immediately at the temperature recommended below.

Stability & Storage

Store at -20C. Avoid freeze-thaw cycles.

Background: ATP5O

ATP5O is a 213 amino acid F-type ATPase protein that is involved in producing ATP from ADP in the mitochondrial membrane when a proton gradient has been established across the membrane through the movement of charges across an electron transport complex in the respiratory chain. Current research is being performed on several diseases and disorders including graves disease, hashimotos thyroiditis, hypothyroidism, autoimmunity, goiter, diabetes mellitus, Huntington's disease, stomach cancer, osteoporosis, Parkinsons, twinning, osteosarcoma, hepatitis, and malaria. This protein has also been shown to have interactions with ATP5A1, ATP5B, ATP5D, IKBKG, and MPG in pathways such as the oxidative phosphorylation, metabolic, citric acid cycle (TCA), and Alzheimer's pathways.

Alternate Names

ATP synthase, H+ transporting, mitochondrial F1 complex, O subunit, human ATP synthase OSCP subunit, oligomycin sensitivity conferring protein10ATPOATP synthase subunit O, mitochondrial, Oligomycin sensitivity conferral protein, oligomycin sensitivity conferring protein, OSCPhuman ATP synthase OSCP subunit

Gene Symbol

ATP5PO

Additional ATP5O Products

Product Documents for ATP5O Antibody (OTI2E9)

Certificate of Analysis

To download a Certificate of Analysis, please enter a lot number in the search box below.

Product Specific Notices for ATP5O Antibody (OTI2E9)

This product is for research use only and is not approved for use in humans or in clinical diagnosis. Primary Antibodies are guaranteed for 1 year from date of receipt.

Loading...
Loading...
Loading...
Loading...