Skip to main content

ATP5J Antibody (HL2934)

Novus Biologicals, part of Bio-Techne | Catalog # NBP3-48753

Recombinant Monoclonal Antibody
Novus Biologicals, part of Bio-Techne
Catalog #
Availability
Size / Price
Qty
Loading...
NBP3-48753

Key Product Details

Species Reactivity

Human, Mouse, Rat

Applications

Immunohistochemistry, Immunohistochemistry-Paraffin, Western Blot

Label

Unconjugated

Antibody Source

Recombinant Monoclonal Rabbit IgG Clone # HL2934

Concentration

Concentrations vary lot to lot. See vial label for concentration. If unlisted please contact technical services.

Product Specifications

Immunogen

Full length human ATP5J recombinant protein.

Clonality

Monoclonal

Host

Rabbit

Isotype

IgG

Description

Novus Biologicals Rabbit ATP5J Antibody (HL2934) (NBP3-48753) is a recombinant monoclonal antibody validated for use in IHC and WB. All Novus Biologicals antibodies are covered by our 100% guarantee.

Scientific Data Images for ATP5J Antibody (HL2934)

ATP5J Antibody (HL2934)

Western Blot: ATP5J Antibody (HL2934) [NBP3-48753] -

Various tissue extracts (50 ug) were separated by 15% SDS-PAGE, and the membrane was blotted with ATP5J antibody [HL2934] (NBP3-48753) diluted at 1:1000. The HRP-conjugated anti-rabbit IgG antibody was used to detect the primary antibody.
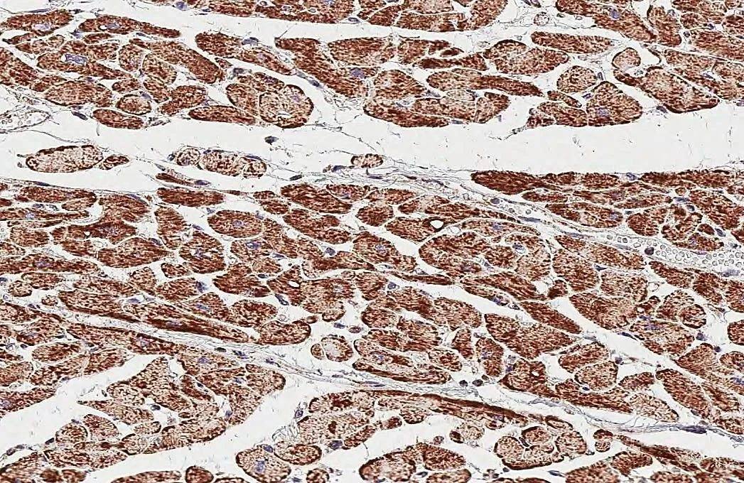
ATP5J Antibody (HL2934)

Immunohistochemistry-Paraffin: ATP5J Antibody (HL2934) [NBP3-48753] -

ATP5J antibody [HL2934] detects ATP5J protein by immunohistochemical analysis.Sample: Paraffin-embedded human heart.ATP5J stained by ATP5J antibody [HL2934] (NBP3-48753) diluted at 1:200.Antigen Retrieval: Tris-EDTA-Citrate buffer, pH 7.8, 15 min
ATP5J Antibody (HL2934)

Immunohistochemistry-Paraffin: ATP5J Antibody (HL2934) [NBP3-48753] -

ATP5J antibody [HL2934] detects ATP5J protein by immunohistochemical analysis.Sample: Paraffin-embedded human glioblastoma.ATP5J stained by ATP5J antibody [HL2934] (NBP3-48753) diluted at 1:100.Antigen Retrieval: Citrate buffer, pH 6.0, 15 min

Applications for ATP5J Antibody (HL2934)

Application
Recommended Usage

Western Blot

1:500-1:3000

Formulation, Preparation, and Storage

Purification

Protein A purified

Formulation

PBS

Preservative

No Preservative

Concentration

Concentrations vary lot to lot. See vial label for concentration. If unlisted please contact technical services.

Shipping

The product is shipped with polar packs. Upon receipt, store it immediately at the temperature recommended below.

Stability & Storage

Store at 4C short term. Aliquot and store at -20C long term. Avoid freeze-thaw cycles.

Background: ATP5J

Mitochondrial ATP synthase catalyzes ATP synthesis, utilizing an electrochemical gradient of protons across the inner membrane during oxidative phosphorylation. It is composed of two linked multi-subunit complexes: the soluble catalytic core, F1, and the membrane-spanning component, F0, which comprises the proton channel. The F1 complex consists of 5 different subunits (alpha, beta, gamma, delta, and epsilon) assembled in a ratio of 3 alpha, 3 beta, and a single representative of the other 3. The F0 seems to have nine subunits (a, b, c, d, e, f, g, F6 and 8). This gene encodes the F6 subunit of the F0 complex, required for F1 and F0 interactions. Alternatively spliced transcript variants encoding different isoforms have been identified for this gene.

Alternate Names

ATP synthase, H+ transporting, mitochondrial F0 complex, subunit F6, ATP synthase, H+ transporting, mitochondrial Fo complex, subunit F6, ATP5, ATP5A, ATPase subunit F6, ATPM, coupling factor 6, F6, mitochondrial, mitochondrial ATP synthase, coupling factor 6, mitochondrial ATP synthase, subunit F6, mitochondrial ATPase coupling factor 6, proliferation-inducing protein 36

Gene Symbol

ATP5J

Additional ATP5J Products

Product Documents for ATP5J Antibody (HL2934)

Certificate of Analysis

To download a Certificate of Analysis, please enter a lot number in the search box below.

Product Specific Notices for ATP5J Antibody (HL2934)

This product is for research use only and is not approved for use in humans or in clinical diagnosis. Primary Antibodies are guaranteed for 1 year from date of receipt.

Loading...
Loading...
Loading...
Loading...