Skip to main content

ATP12A Antibody - BSA Free

Novus Biologicals, part of Bio-Techne | Catalog # NBP3-06153

Novus Biologicals, part of Bio-Techne

Key Product Details

Species Reactivity

Human

Applications

Immunohistochemistry, Immunohistochemistry-Paraffin, Western Blot

Label

Unconjugated

Antibody Source

Polyclonal Rabbit IgG

Format

BSA Free

Concentration

Please see the vial label for concentration. If unlisted please contact technical services.

Product Specifications

Immunogen

Produced in rabbits immunized with a synthetic peptide corresponding to the center region of the Human ATP12A.

Clonality

Polyclonal

Host

Rabbit

Isotype

IgG

Description

This antibody can be stored at 2C-8C for one month without detectable loss of activity. Antibody products are stable for twelve months from date of receipt when stored at -20C to -80C. Avoid repeated freeze-thaw cycles.

Scientific Data Images for ATP12A Antibody - BSA Free

Western Blot: ATP12A Antibody [NBP3-06153]

Western Blot: ATP12A Antibody [NBP3-06153]

Western Blot: ATP12A Antibody [NBP3-06153] - Anti-ATP12A rabbit polyclonal antibody at 1:500 dilution Lane A: K562 Whole Cell Lysate Lysates/proteins at 30 ug per lane. Secondary Goat Anti-Rabbit IgG (H+L) HRP at 110000 dilution. Developed using the ECL technique. Performed under reducing conditions. Predicted band size:116 kDa Observed band size:116 kDa
ATP12A Antibody - BSA Free

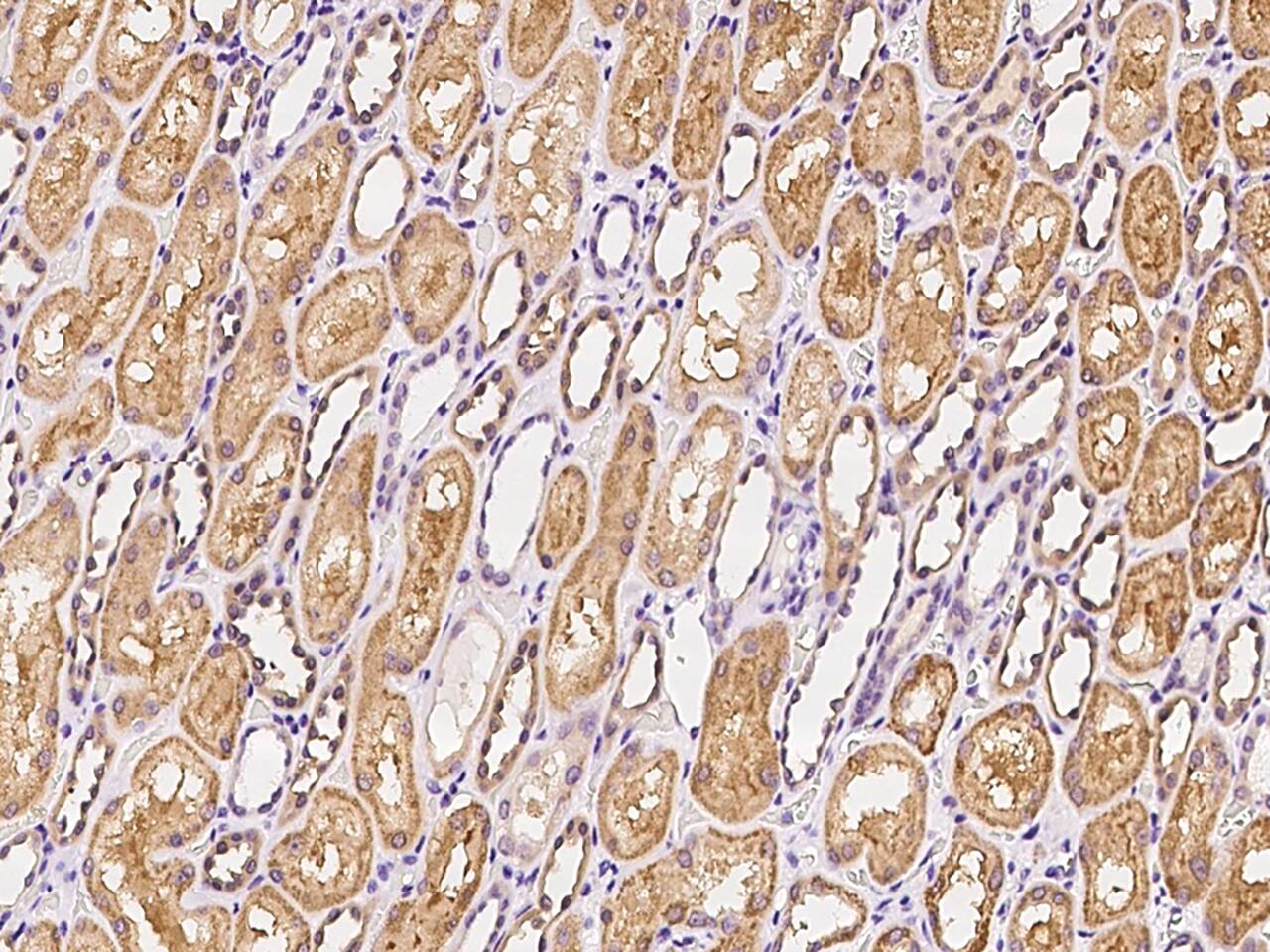
Immunohistochemistry-Paraffin: ATP12A Antibody - BSA Free [NBP3-06153] -

Immunohistochemistry-Paraffin: ATP12A Antibody - BSA Free [NBP3-06153] - Immunochemical staining of human ATP12A in human kidney with NBP3-06153 at 1:200 dilution, formalin-fixed paraffin embedded sections.

Applications for ATP12A Antibody - BSA Free

Application
Recommended Usage

Immunohistochemistry-Paraffin

1:100-1:400

Western Blot

1:500-1:2000

Formulation, Preparation, and Storage

Purification

Antigen and protein A Affinity-purified

Formulation

PBS

Format

BSA Free

Preservative

0.03% Proclin 300

Concentration

Please see the vial label for concentration. If unlisted please contact technical services.

Shipping

The product is shipped with polar packs. Upon receipt, store it immediately at the temperature recommended below.

Stability & Storage

Store at 4C short term. Aliquot and store at -20C long term. Avoid freeze-thaw cycles.

Background: ATP12A

ATP12A is encoded by this gene belongs to the family of P-type cation transport ATPases. This gene encodes a catalytic subunit of the ouabain-sensitive H+/K+ -ATPase that catalyzes the hydrolysis of ATP coupled with the exchange of H(+) and K(+) ions across the plasma membrane. It is also responsible for potassium absorption in various tissues. [provided by RefSeq]

Alternate Names

ATP1AL1non-gastric H(+)/K(+) ATPase alpha subunit, ATPase, H+/K+ transporting, nongastric, alpha polypeptide, ATPase, Na+/K+ transporting, alpha polypeptide-like 1, EC 3.6.3, EC 3.6.3.10, Non-gastric H(+)/K(+) ATPase subunit alpha, potassium-transporting ATPase alpha chain 2, Proton pump

Gene Symbol

ATP12A

Additional ATP12A Products

Product Documents for ATP12A Antibody - BSA Free

Certificate of Analysis

To download a Certificate of Analysis, please enter a lot number in the search box below.

Product Specific Notices for ATP12A Antibody - BSA Free

This product is for research use only and is not approved for use in humans or in clinical diagnosis. Primary Antibodies are guaranteed for 1 year from date of receipt.

Loading...
Loading...
Loading...
Loading...